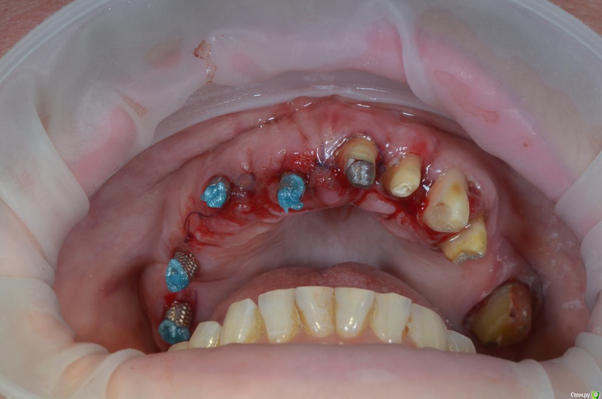
gangsta85 Опубликовано 22 декабря, 2018 Поделиться Опубликовано 22 декабря, 2018 Коллеги подскажите с тактикой протезирования?Есть проблема , хирург сильно укоротил зениты 21,22,23 .Работа с немедленной нагрузкой, торк 50н.Думаю сделать 2 фрезерованных моста с розовой десной, на зубы и имплантаты.благодарю) Ссылка на комментарий
колесников Опубликовано 23 декабря, 2018 Поделиться Опубликовано 23 декабря, 2018 13 переустановить пока не поздно. 3 Ссылка на комментарий
gangsta85 Опубликовано 23 декабря, 2018 Автор Поделиться Опубликовано 23 декабря, 2018 13 переустановить пока не поздно.Думаю установить на 13 мультиюнит. Ссылка на комментарий
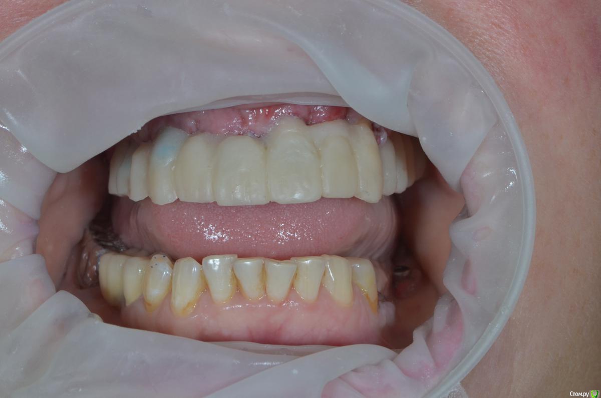
gangsta85 Опубликовано 23 декабря, 2018 Автор Поделиться Опубликовано 23 декабря, 2018 На второй день появился вот такой отек, пока наблюдаем, если станет хуже думаю снять времянки, подкорректировать профиль. Ссылка на комментарий
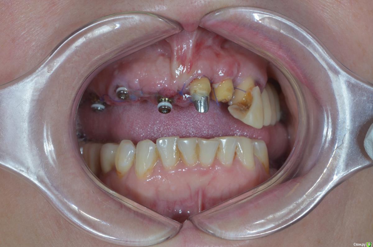
Борис80 Опубликовано 24 декабря, 2018 Поделиться Опубликовано 24 декабря, 2018 (изменено) учитывайте, что положение импланта слишком вестибулярно, и десны больше 4 -5 мм получить от уровня кости нельзя, следовательно переустановив имплант вы лишите себя огромного количества проблем в будущем пока же сделайте временные коронки или более гладкими в области воспаления или более плотными к десне Изменено 24 декабря, 2018 пользователем Борис80 Ссылка на комментарий
vadyasti Опубликовано 2 января, 2019 Поделиться Опубликовано 2 января, 2019 (изменено) На второй день появился вот такой отек, пока наблюдаем, если станет хуже думаю снять времянки, подкорректировать профиль.Центральный сосочек зажат!Да и уздечку подрезать было бы не плохо. Изменено 2 января, 2019 пользователем vadyasti Ссылка на комментарий
DoctorT Опубликовано 18 января, 2019 Поделиться Опубликовано 18 января, 2019 На второй день появился вот такой отек, пока наблюдаем, если станет хуже думаю снять времянки, подкорректировать профиль.слишком маленький срок, чтобы судить. Обычно на 3 день максимальный отек. На 10 можно уже делать выводы. Ссылка на комментарий
DoctorT Опубликовано 18 января, 2019 Поделиться Опубликовано 18 января, 2019 Кстати, как там с отеком, время то вышло) Ссылка на комментарий
Рекомендуемые сообщения
Для публикации сообщений создайте учётную запись или авторизуйтесь
Вы должны быть пользователем, чтобы оставить комментарий
Создать аккаунт
Зарегистрируйте новый аккаунт в нашем сообществе. Это очень просто!
Регистрация нового пользователяВойти
Уже есть аккаунт? Войти в систему.
Войти