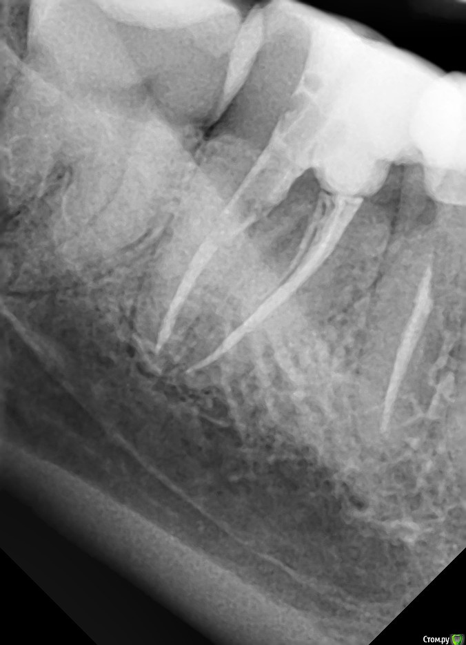
-Алексей- Опубликовано 22 декабря, 2018 Поделиться Опубликовано 22 декабря, 2018 Зуб депульпирован 3 месяца назад. На данный момент под ним периодически ноет и кровоточит десна (совсем чуть-чуть). Врач у которого лечил говорит что всё нормально. Другой врач сказал что возможно есть перелом и придётся удалять. Каковы шансы сохранить зуб? Ссылка на комментарий
St. Опубликовано 22 декабря, 2018 Поделиться Опубликовано 22 декабря, 2018 Добрый день. По снимку каналы заполнены хорошо, штифт на месте. Явного перелома не вижу, но они и не всегда видны, к сожалению. Понаблюдайте пока за зубом,пока покажитесь парадонтологу( доктор который занимается чистками и лечит десну) чтобы исключить проблемы с десной. Если все пройдет после лечения десны, все хорошо. Если же ничего не изменится, или со временем будет болеть сильнее и диагноз перелом корня подтвердиться, тогда только удаление. Ссылка на комментарий
-Алексей- Опубликовано 22 декабря, 2018 Автор Поделиться Опубликовано 22 декабря, 2018 Благодарю за ответ. Подскажите пожалуйста еще по такому вопросу: лечил кариес (седьмой моляр внизу слева) поставили композитную пломбу (неделю назад), после этого зуб крайне чувствителен на холодное и горячее (прям сильно ноет). Кариес неглубокий (со слов стоматолога), до лечения зуб вообще не болел. Можно ли с этим что-то сделать? Пройдёт ли со временем или нужно опять идти к врачу? Ссылка на комментарий
St. Опубликовано 22 декабря, 2018 Поделиться Опубликовано 22 декабря, 2018 Снимок есть после лечения? Неглубокий понятие относительное... Если беспокоит покажитесь своему доктору Ссылка на комментарий
-Алексей- Опубликовано 22 декабря, 2018 Автор Поделиться Опубликовано 22 декабря, 2018 Нет, снимка не делали (ни до лечения ни после). Мне было интересно узнать, допускаются ли подобные боли после установки композитной пломбы (нормально ли это вообще)? Ссылка на комментарий
St. Опубликовано 23 декабря, 2018 Поделиться Опубликовано 23 декабря, 2018 Мне было интересно узнать, допускаются ли подобные боли после установки композитной пломбы (нормально ли это вообще)? Секундная чувствительность может быть. Длительные ноющие боли не должны. Сходите к доктору на осмотр, в таком случае нужно смотреть на месте Ссылка на комментарий
Рекомендуемые сообщения
Для публикации сообщений создайте учётную запись или авторизуйтесь
Вы должны быть пользователем, чтобы оставить комментарий
Создать аккаунт
Зарегистрируйте новый аккаунт в нашем сообществе. Это очень просто!
Регистрация нового пользователяВойти
Уже есть аккаунт? Войти в систему.
Войти