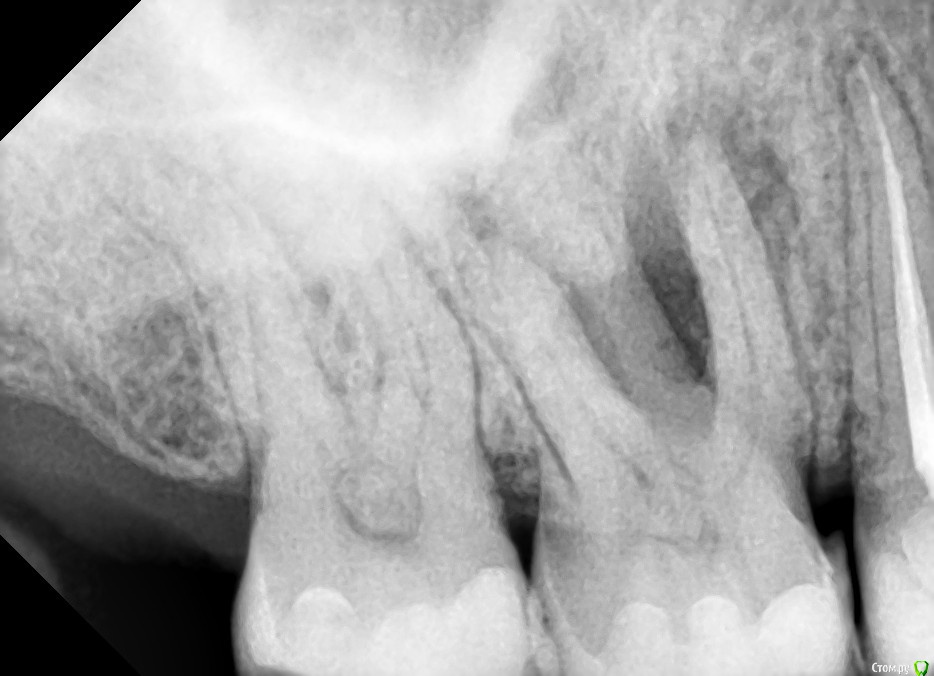
Елизавета С Опубликовано 19 декабря, 2018 Поделиться Опубликовано 19 декабря, 2018 (изменено) Подскажите,пожалуйста,дорогие специалисты,ваше мнение.. Вехний зуб,6, со свищем гноем, каналы не пломбированы в этом зубе. Часть специалистов однозначно за удаление говорят,потому что верхние зубы почему-то не поддаются терапии и гайморова мазуха в нее может попасть гной из десны..и это опасно и бесполезно проводить лечение и начнется гайморит, и все равно потом удалять.А другая часть говорит,что вполне можно пробовать лечить и с успехом 50 на 50... Совершенно запуталась..нужно стороннее мнение спасибо! Изменено 19 декабря, 2018 пользователем Елизавета С 1 Ссылка на комментарий
DmitrySH Опубликовано 19 декабря, 2018 Поделиться Опубликовано 19 декабря, 2018 Если у очага нет сообщения с полостью рта, то вполне можно заниматься лечением. Зуб достаточно целый, есть за что побороться. Ссылка на комментарий
brg Опубликовано 20 декабря, 2018 Поделиться Опубликовано 20 декабря, 2018 Если у очага нет сообщения с полостью рта как такое может быть? если оно уже есть. Вехний зуб,6, со свищем гноем Ссылка на комментарий
dentikl Опубликовано 20 декабря, 2018 Поделиться Опубликовано 20 декабря, 2018 (изменено) я за -пробовать лечить Изменено 20 декабря, 2018 пользователем dentikl Ссылка на комментарий
Neilrus Опубликовано 20 декабря, 2018 Поделиться Опубликовано 20 декабря, 2018 смирнова 16.jpg Подскажите,пожалуйста,дорогие специалисты,ваше мнение.. Вехний зуб,6, со свищем гноем, каналы не пломбированы в этом зубе. Часть специалистов однозначно за удаление говорят,потому что верхние зубы почему-то не поддаются терапии и гайморова мазуха в нее может попасть гной из десны..и это опасно и бесполезно проводить лечение и начнется гайморит, и все равно потом удалять.А другая часть говорит,что вполне можно пробовать лечить и с успехом 50 на 50... Совершенно запуталась..нужно стороннее мнение спасибо!я за лечение если готовы к финансовыми рисками (в случае неудачи - удаление) Ссылка на комментарий
red_butler Опубликовано 20 декабря, 2018 Поделиться Опубликовано 20 декабря, 2018 +1 лечить Ссылка на комментарий
DmitrySH Опубликовано 20 декабря, 2018 Поделиться Опубликовано 20 декабря, 2018 как такое может быть? если оно уже есть. Я про сочетанное паро- перио поражение.Свищевой ход не принципиален 2 Ссылка на комментарий
Рекомендуемые сообщения
Для публикации сообщений создайте учётную запись или авторизуйтесь
Вы должны быть пользователем, чтобы оставить комментарий
Создать аккаунт
Зарегистрируйте новый аккаунт в нашем сообществе. Это очень просто!
Регистрация нового пользователяВойти
Уже есть аккаунт? Войти в систему.
Войти