Nazim_NV86 Опубликовано 21 декабря, 2018 Поделиться Опубликовано 21 декабря, 2018 (изменено) Контрольные снимки после тоннеля покажете? Хоть вот с такой небольшой аугментацией как на этом фото. Изменено 21 декабря, 2018 пользователем Nazim_NV86 Ссылка на комментарий
Kostoprav Опубликовано 21 декабря, 2018 Поделиться Опубликовано 21 декабря, 2018 Поделитесь опытом. Какой был графт,какой доступ,условия? На каком этапе заметили неудачу? С чем связываете? Какой срок наблюдения?графт остеобиол+ i prf . доступ аналогичный как у автора темы, использовал данную методику в боковых отделах нижней и верхней челюстях. из 6 пациентов только у двоих я получил прирост и то в одном случае результат был на троечку.неудачу замечал на этапе компьютерной томографии через 6 мес- отсутствие прироста кости либо графт просто "не прирастал" к кости ,а инкапсулировался в слизистой ( кт прилагается ). неудачи связываю с нестабильностью графта и возможно были повреждения периоста при его отслойке как следствие прорастание мягких тканей в графт. Ссылка на комментарий
колесников Опубликовано 22 декабря, 2018 Автор Поделиться Опубликовано 22 декабря, 2018 Я бы не назвал это неудачей,аугментат довольно плотно контактирует с кортикалкой. Мне кажется вы слишком низко отслоились,должна получится округлая сосиска. Я отслаиваю коронально,затем моделирую нужной формы. 1 Ссылка на комментарий
колесников Опубликовано 22 декабря, 2018 Автор Поделиться Опубликовано 22 декабря, 2018 Контроль просили. 1 пациент. Снимок майский,на тот момент 6-7 мес после вмешательства. Графтинг в обл имплантов и в промежутках ,3,4ый сектор 1 Ссылка на комментарий
Kostoprav Опубликовано 22 декабря, 2018 Поделиться Опубликовано 22 декабря, 2018 Я бы не назвал это неудачей,аугментат довольно плотно контактирует с кортикалкой. Мне кажется вы слишком низко отслоились,должна получится округлая сосиска. Я отслаиваю коронально,затем моделирую нужной формы.на этапе раскрытия весь графт находился в слизистой.сколько вы сделали тоннельных графтингов и какой у вас процент неудач? По началу я возлагал большие надежды на данную методику ввиду ее простоты и атравматичности, но после моих неудач я очень засомневался. возможно я не так что то делал. Ссылка на комментарий
егорджан Опубликовано 22 декабря, 2018 Поделиться Опубликовано 22 декабря, 2018 возможно я не так что то делал. может все же надо было аллографт?! Ссылка на комментарий
колесников Опубликовано 22 декабря, 2018 Автор Поделиться Опубликовано 22 декабря, 2018 (изменено) Может ошибка в отслаивании,графт попал в расщеплённый лоскут? Сделал полноценных тоннелей на сегмент не более 20,локальных (для 1 импланта),без счёта. У меня 2,5 неудачи. 1-графт нагноился (есть подозрение что пациент употреблял спиртное), 2-швы разошлись графт вымылся (сам виноват,полез доделывать через 5 дней ), 3- через 3 месяца на снимке осталась 1/3 от оставленного( не знаю в чем дело,возможно тоже вымывание,но пациент не признался). Изменено 22 декабря, 2018 пользователем колесников 1 1 Ссылка на комментарий
Snow Doc Опубликовано 7 января, 2019 Поделиться Опубликовано 7 января, 2019 Не совсем понял, тут расщепление вестибулярной слизистой от надкостницы происходило, или графт под слизисто-надкостничным лежит? Ссылка на комментарий
колесников Опубликовано 16 февраля, 2019 Автор Поделиться Опубликовано 16 февраля, 2019 Спрашивали кт . Вид через 3-4 мес 1 Ссылка на комментарий
Nazim_NV86 Опубликовано 16 февраля, 2019 Поделиться Опубликовано 16 февраля, 2019 Спрашивали кт . Вид через 3-4 месКто-нибудь проводит нормальную учёбу по тоннелям ? Хотим пригласить. Ссылка на комментарий
колесников Опубликовано 16 февраля, 2019 Автор Поделиться Опубликовано 16 февраля, 2019 Курсов нет и не будет,я уверен на 100%. Кто спонсоры курсов? Производители мембран,ксерографтов,сеток,пинов,винтов,отверток,чудо пинцетов и прочего бесполезного оборудования. Все это ,в данной методе , не нужно. Я даже подозреваю,что будет антиреклама,типа все это пи..ец как опасно,антинаучно и вообще смешно. На самом деле(в этом я так же уверен) некоторые известные в узких кругах хирурги по тихому работают,аккумулируют результаты. Будет запотентован какой-нибудь хитрый отслаиватель,вот тут подключатся спонсоры и будут курсы. 1 Ссылка на комментарий
Dman Опубликовано 18 февраля, 2019 Поделиться Опубликовано 18 февраля, 2019 Курсов нет и не будет,я уверен на 100%. Кто спонсоры курсов? Производители мембран,ксерографтов,сеток,пинов,винтов,отверток,чудо пинцетов и прочего бесполезного оборудования. Все это ,в данной методе , не нужно. Я даже подозреваю,что будет антиреклама,типа все это пи..ец как опасно,антинаучно и вообще смешно. На самом деле(в этом я так же уверен) некоторые известные в узких кругах хирурги по тихому работают,аккумулируют результаты. Будет запотентован какой-нибудь хитрый отслаиватель,вот тут подключатся спонсоры и будут курсы.ну это же методика штайгмана, нет? Ссылка на комментарий
колесников Опубликовано 18 февраля, 2019 Автор Поделиться Опубликовано 18 февраля, 2019 Не имею понятия Ссылка на комментарий
Smileee Опубликовано 22 февраля, 2019 Поделиться Опубликовано 22 февраля, 2019 Не имею понятияРассматриваю вариант пластики в области верхней двойки. Подскажите, где лучше создать доступ для создания кармана и внесения графта? Ссылка на комментарий
колесников Опубликовано 22 февраля, 2019 Автор Поделиться Опубликовано 22 февраля, 2019 Уздечка. Спасибо Ядоху за наводку Ссылка на комментарий
Smileee Опубликовано 22 февраля, 2019 Поделиться Опубликовано 22 февраля, 2019 Уздечка. Спасибо Ядоху за наводкуРядом с уздечкой или саму уздечку рассекать по центру? Ссылка на комментарий
колесников Опубликовано 22 февраля, 2019 Автор Поделиться Опубликовано 22 февраля, 2019 По центру Ссылка на комментарий
колесников Опубликовано 26 февраля, 2019 Автор Поделиться Опубликовано 26 февраля, 2019 Про курсы по теме спрашивали. Можете съездить в Вроцлав. Ссылка на комментарий
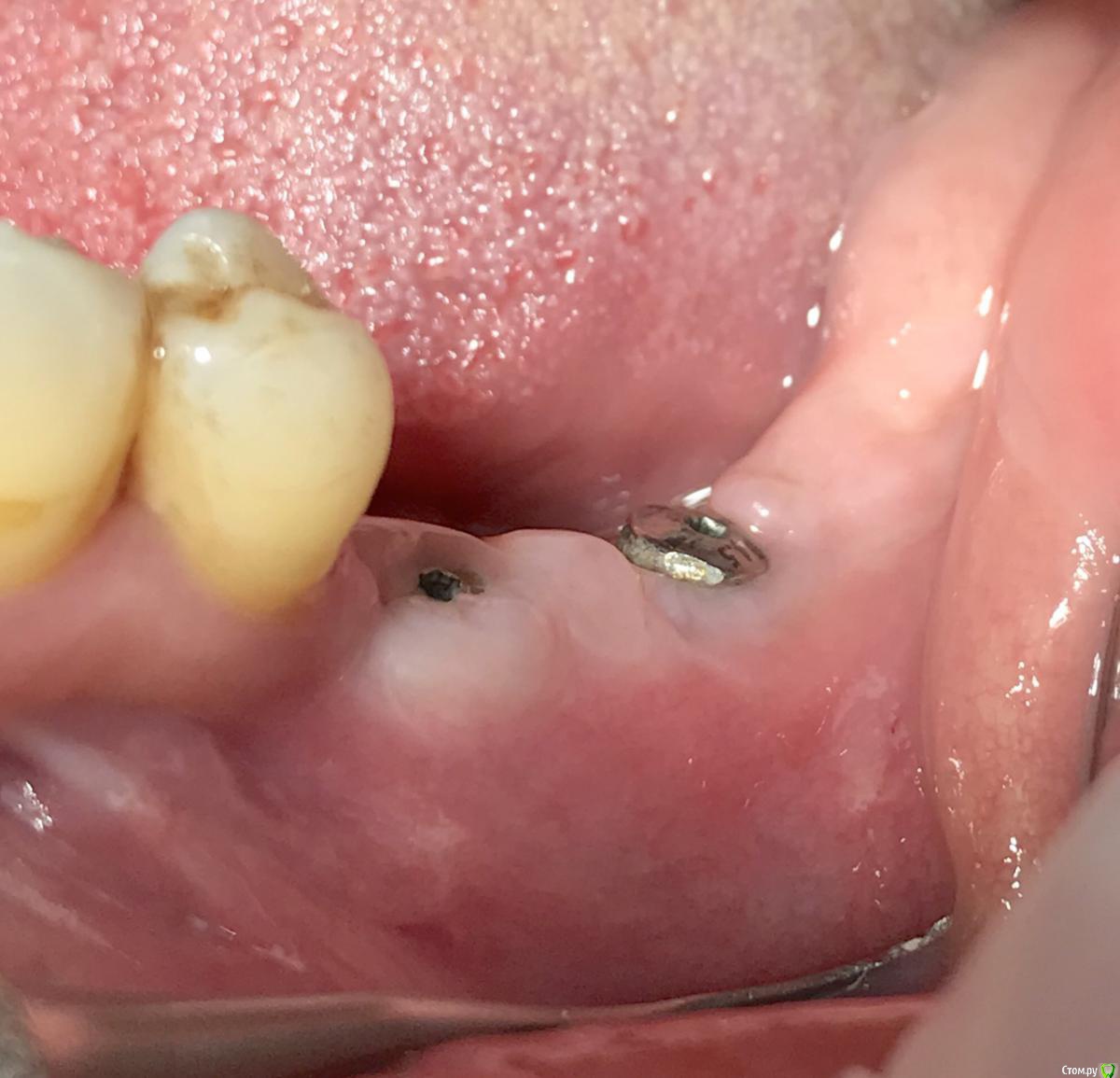
колесников Опубликовано 6 марта, 2019 Автор Поделиться Опубликовано 6 марта, 2019 Продолжение. За прошедшее время произведён асл,замена формирователей на 6ки. Периотест (-6) Ссылка на комментарий
колесников Опубликовано 13 марта, 2019 Автор Поделиться Опубликовано 13 марта, 2019 Ну чтож, прошло 3 месяца,самое время посмотреть что там на кт. 1 Ссылка на комментарий
kladoffka Опубликовано 14 марта, 2019 Поделиться Опубликовано 14 марта, 2019 Вопрос в том, стало ли это костью? Делал как то сосидж, через 6 месяцев на кт все отлично, а при и раскрытии материал так и лежал поверх кости и поднялся вместе с периостом Ссылка на комментарий
колесников Опубликовано 14 марта, 2019 Автор Поделиться Опубликовано 14 марта, 2019 (изменено) Это аллографт,не ксено. Если он интегрирован -он есть,если не интегрирован,не имеет контакта с нативной костью-он лизируется. Это ксерографт может инкапсулироваться и оставаться рентгеноконтрастным. Изменено 14 марта, 2019 пользователем колесников 1 Ссылка на комментарий
Дмитрий Л. Опубликовано 14 марта, 2019 Поделиться Опубликовано 14 марта, 2019 Вот бы трепан биопсию посмотреть!) Расставит точки над і. Ссылка на комментарий
колесников Опубликовано 15 марта, 2019 Автор Поделиться Опубликовано 15 марта, 2019 Легко! Вам понадобиться :пациент,графт,трепан и 3 месяца ожидания. Потом отпишитесь 3 Ссылка на комментарий
Дмитрий Л. Опубликовано 15 марта, 2019 Поделиться Опубликовано 15 марта, 2019 Легко! Вам понадобиться :пациент,графт,трепан и 3 месяца ожидания. Потом отпишитесьЛишних нету. Ссылка на комментарий
Рекомендуемые сообщения
Для публикации сообщений создайте учётную запись или авторизуйтесь
Вы должны быть пользователем, чтобы оставить комментарий
Создать аккаунт
Зарегистрируйте новый аккаунт в нашем сообществе. Это очень просто!
Регистрация нового пользователяВойти
Уже есть аккаунт? Войти в систему.
Войти