Alcort Опубликовано 6 декабря, 2018 Поделиться Опубликовано 6 декабря, 2018 (изменено) Здравствуйте. В начале этого года у меня образовался правосторонний концевой дефект на верхней челюсти. Хирург в одной стоматологии сказал что синус-лифтинг не нужен, придется делать наращивание кости, так как образовалась ямка. В другой стоматологии сказали что можно ставить имплантаты, проблем нет. В первой стоматологии Гнатолог -ортопед-хирург-имплантолог (делает все сам), в другой стоматологии вроде тоже хирург матерый. И вот я не знаю кому верить, может сходить еще в одну стоматологию? Хотелось бы услышать Ваше мнение. Здесь iso образ диска 3D томографии который можно смонтировать даймонт тулсом например, всего 300 мегабайт.https://yadi.sk/d/uE1Lyitu0a-QkA Изменено 6 декабря, 2018 пользователем Alcort Ссылка на комментарий
Борис80 Опубликовано 6 декабря, 2018 Поделиться Опубликовано 6 декабря, 2018 лучше заархивировать и выложить файл на файлообменник, с образом диска лишние действия, увеличивающее время для просмотра... Ссылка на комментарий
Alcort Опубликовано 6 декабря, 2018 Автор Поделиться Опубликовано 6 декабря, 2018 Хорошо, сейчас выложу. Ссылка на комментарий
Alcort Опубликовано 6 декабря, 2018 Автор Поделиться Опубликовано 6 декабря, 2018 (изменено) https://yadi.sk/d/R54z8DLVWu5XJg Концевой дефект возник после удаления мостика с опорой на 6 зуб за место пятерки был искуственный зуб, семерку удалил года 4 назад, спустя год пришлось удалить и пятерку, в итоге поставил мост (Г-образный что ли) с опорой на одну шестерку, который простоял до января этого года по причине свища. С отекшей десной проходил пол года, сильную боль подавил антибиотиками по рецепту ортопеда, на протяжении 4-6 месяцев боль возникала при жевании твердой пищи, после чего обратился в государственную стоматологию и мне его удалили. Изменено 6 декабря, 2018 пользователем Alcort Ссылка на комментарий
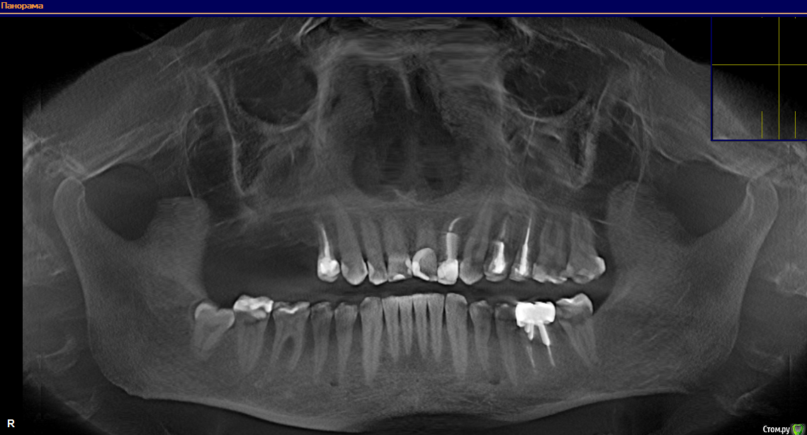
Борис80 Опубликовано 7 декабря, 2018 Поделиться Опубликовано 7 декабря, 2018 по мне достаточно костной ткани в области и 16 и 17 отсутствующих зубов, наличие и достаточность мягких тканей можно оценить только при очном осмотре Ссылка на комментарий
Alcort Опубликовано 7 декабря, 2018 Автор Поделиться Опубликовано 7 декабря, 2018 по мне достаточно костной ткани в области и 16 и 17 отсутствующих зубов, наличие и достаточность мягких тканей можно оценить только при очном осмотреДобрый вечер. Предложили нарастить кость на месте зуба №15 так как на месте 17 не достаточно высоты из-за того что нижние зубы выдвинулись. Ссылка на комментарий
Борис80 Опубликовано 7 декабря, 2018 Поделиться Опубликовано 7 декабря, 2018 по прежнему на основании снимков не вижу ничего критичного Ссылка на комментарий
Alcort Опубликовано 7 декабря, 2018 Автор Поделиться Опубликовано 7 декабря, 2018 Спасибо за ответ, мне очень важно Ваше мнение. Скажите, что вы думаете по поводу зуба №12 могу ошибаться в нумерации, это соседний с клыком премоляр в верху с левой стороны (не там где концевой дефект) Мне предложили его удалить из-за кариеса корня, зуб под коронкой. Ссылка на комментарий
Рекомендуемые сообщения
Для публикации сообщений создайте учётную запись или авторизуйтесь
Вы должны быть пользователем, чтобы оставить комментарий
Создать аккаунт
Зарегистрируйте новый аккаунт в нашем сообществе. Это очень просто!
Регистрация нового пользователяВойти
Уже есть аккаунт? Войти в систему.
Войти