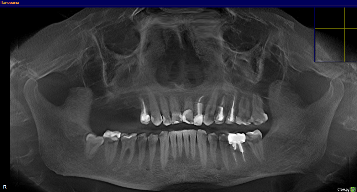
Alcort Опубликовано 6 декабря, 2018 Поделиться Опубликовано 6 декабря, 2018 (изменено) Добрый вечер. Врач уверяет меня в том что необходимо удалить зуб №12 но у меня там уже коронка стоит свежая совсем. Задал вопрос другому ортопеду, ответ еще суровее, под вопросом так же зубы №14 и 19 но они меня не беспокоят как и двенадцатый. Предлагают вкрутить имплантат за место зуба №12 Как же быть? Есть 3D томография обеих челюстей. Здесь iso образ диска который можно замонтировать даймонт тулсом например, всего 300 мегабайт.https://yadi.sk/d/uE1Lyitu0a-QkA Изменено 6 декабря, 2018 пользователем Alcort Ссылка на комментарий
dentikl Опубликовано 6 декабря, 2018 Поделиться Опубликовано 6 декабря, 2018 Вы их как нумеровали? Ссылка на комментарий
Alcort Опубликовано 6 декабря, 2018 Автор Поделиться Опубликовано 6 декабря, 2018 (изменено) Извиняюсь если ошибся, удалить предлагают четверку с верху с лева (премоляр рядом с клыком, он под коронкой Empress) сказали что там кариес корня судя по 3D снимку, а под вопросом левые шестерки верхняя и нижняя. Но не один из трех зубов меня не беспокоит. Изменено 6 декабря, 2018 пользователем Alcort Ссылка на комментарий
Alcort Опубликовано 6 декабря, 2018 Автор Поделиться Опубликовано 6 декабря, 2018 Здесь архив с 3D томографией. https://yadi.sk/d/R54z8DLVWu5XJg Ссылка на комментарий
Рекомендуемые сообщения
Для публикации сообщений создайте учётную запись или авторизуйтесь
Вы должны быть пользователем, чтобы оставить комментарий
Создать аккаунт
Зарегистрируйте новый аккаунт в нашем сообществе. Это очень просто!
Регистрация нового пользователяВойти
Уже есть аккаунт? Войти в систему.
Войти