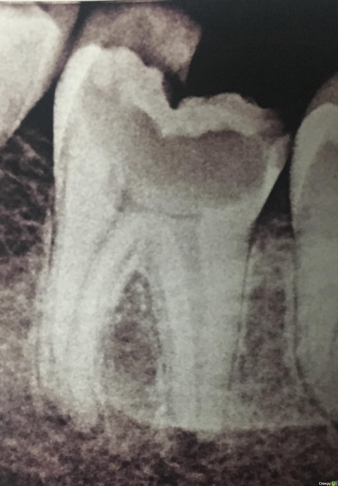
muemag Опубликовано 5 декабря, 2018 Поделиться Опубликовано 5 декабря, 2018 Около полугода назад откололась четверть 37 зуба, с недавнего времени начал беспокоить после еды.Вопрос в следующем, можно ли его спасти либо это "мертвому припарка"?Штифты коронки И так далее не интересуют, если и да то только полный имплант.И возможно ли стянуть вместе 8 и 6 ближе друг к другу если все таки удалят. Ссылка на комментарий
AndyAndy Опубликовано 5 декабря, 2018 Поделиться Опубликовано 5 декабря, 2018 Вы спрашиваете, можно ли его спасти, при этом вас не интересует штифт и коронка. А спасти его, думаю, возможно, но с помощью «штифта/вкладки и коронки». И только после оценки состояния твёрдых тканей (после препарирования кариеса)Судя по тому, что полгода вы уже ходите с такой полостью в зубе... наверное вы его спасать не намерены) 2 Ссылка на комментарий
Neilrus Опубликовано 5 декабря, 2018 Поделиться Опубликовано 5 декабря, 2018 зуб лучше чем имплантат, даже если на 5-8 лет. И да, надо снять все плохое и посмотреть сколько хорошего останется. Если не удаление зуба, то однозначно "лечение каналов" вас ждет...а там коронки, вкладки, штифты..как бог пошлет Ссылка на комментарий
Рекомендуемые сообщения
Для публикации сообщений создайте учётную запись или авторизуйтесь
Вы должны быть пользователем, чтобы оставить комментарий
Создать аккаунт
Зарегистрируйте новый аккаунт в нашем сообществе. Это очень просто!
Регистрация нового пользователяВойти
Уже есть аккаунт? Войти в систему.
Войти