Перейти к содержанию
Стоматология для всех

Коронка и вкладка на переднем зубе - проблемы


ElenaMa

Рекомендуемые сообщения

Добрый день!

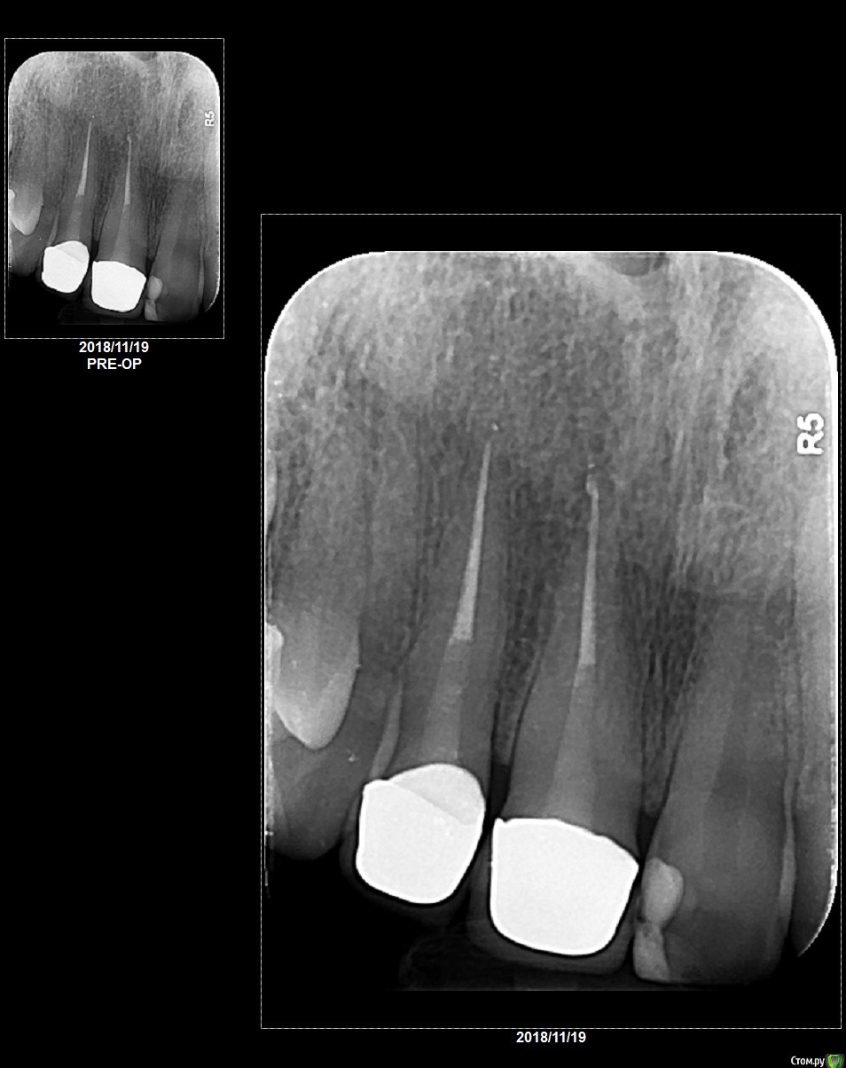
9 октября мне на два передних зуба (без нервов 12 лет) установили коронки емакс, под них - цельнокерамические вкладки (цирконий). Причина установки - эстетическая, зубы потемнели, пломбы выделялись, сами зубы не беспокоили.

16 ноября центральный резец под коронкой начал беспокоить (я начала его чувствовать, как будто он мне мешает - ощущение нельзя назвать болью, скорее, чувство тяжести с чем-то вроде распирания). Зуб под второй коронкой такой реакции не давал вообще. Но также начали беспокоить десны над обеими коронками - они немного посинели и воспалились, ныли, но не было ни запаха, ни крови. Зубы не шатаются. Проблема в том, что вкладки и коронки мне ставили в родном городе в России, а постоянно проживаю я на другом континенте (куда вернулась 3 ноября). Так что с врачом, который мне делал вкладки о коронки, я смогла связать только по интернету, предоставив свежий снимок. Он меня заверил, что все в порядке, каналы на снимке идеальны (их перепломбировали под коронки), снимок хорошего качества, просто чем-то натерла десну. Я совершенно точно не ела ничего жесткого ( в октябре мне удалили два жевательных зуба, так что я до сих пор ничего твердого есть не решаюсь). По совету врача, я мазала десну солкосерилом и метрогилом, но спустя неделю ситуация не улучшилась, и я побежала к местному специалисту (страна, в которой я сейчас живу, не первый мир, именно этим был обусловлен выбор российского специалиста из рекомендованной многими клиники). 

Местный врач по снимку подтвердил, что нет ни воспаления корня, ни проблем с каналами, но его осмотр показал, что зубы препарированы под коронки слишком глубоко и нарушена биологическая ширина. Таким образом, коронки давят, отсюда и страдания. И мол, это вопрос решаемый, но нужно снимать коронки, делать небольшую операцию на деснах. Коронки позавчера сняли, поставили временные, после этого я весь день так же чувствовала центральный резец, соседний зуб из под коронки так же не беспокоил. На второй и третий день неприятные ощущения, присутствовавшие почти 2 недели, прошли. Но легкую тяжесть централнього резца по сравнению с соседним зубом я чувствую (возможно, я себя накручиваю, возможно вес коронки, а возможно и нет). Кусать не пробовала, т.к. коронки временные.

Я прочитала, что цельнокерамические вкладки из диоксида циркония - верный путь к трещине корня, и теперь у меня паранойя. Вдруг мои ощущения обусловлены какой-то трещиной, которую не видно на снимке? И если я сейчас заменю коронки, то через пару месяцев меня ждет то же самом или что-то похуже - воспаление с невозможностью имплантации. Приходят мысли, не проще ли сразу поставить имплант и не мучиться, но поскольку это дело дорогостоящее и долгое, плюс все-таки зуб в зоне улыбки решение принять сложно(. Российский врач утверждает, что вкладки сделаны идеально, но он так же и утверждает, что ничего мне глубоко не препарировал и вообще всё дело в том, что я что-то сильно укусила (это, повторюсь, исключено, врать совершенно не в моих интересах, в моих интересах решить проблему).

В общем, подскажите, пожалуйста, как мне быть с моими опасениями, сколько можно ходить с временными коронками и наблюдать за ситуацией, может ли быть трещина из-за вкладки, есть ли способы выяснить это? 

Снимок прилагаю.post-56516-0-93511100-1543699303_thumb.jpg

Ссылка на комментарий

на вашем снимке трещин не видно, возможно более информативно было бы КТ, но ваши предположения верны,  я бы тоже рекомендовал не переживать раньше времени и  походить с временными коронками.

Ссылка на комментарий

Для публикации сообщений создайте учётную запись или авторизуйтесь

Вы должны быть пользователем, чтобы оставить комментарий

Создать аккаунт

Зарегистрируйте новый аккаунт в нашем сообществе. Это очень просто!

Регистрация нового пользователя

Войти

Уже есть аккаунт? Войти в систему.

Войти
×
×
  • Создать...
Вверх