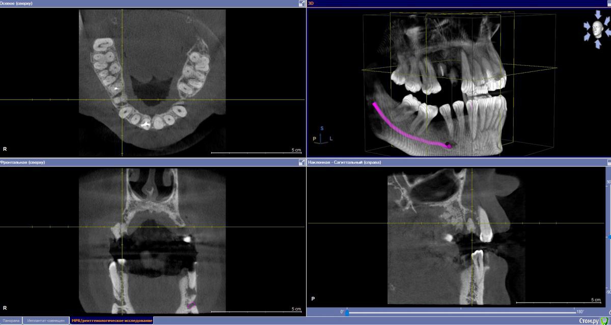
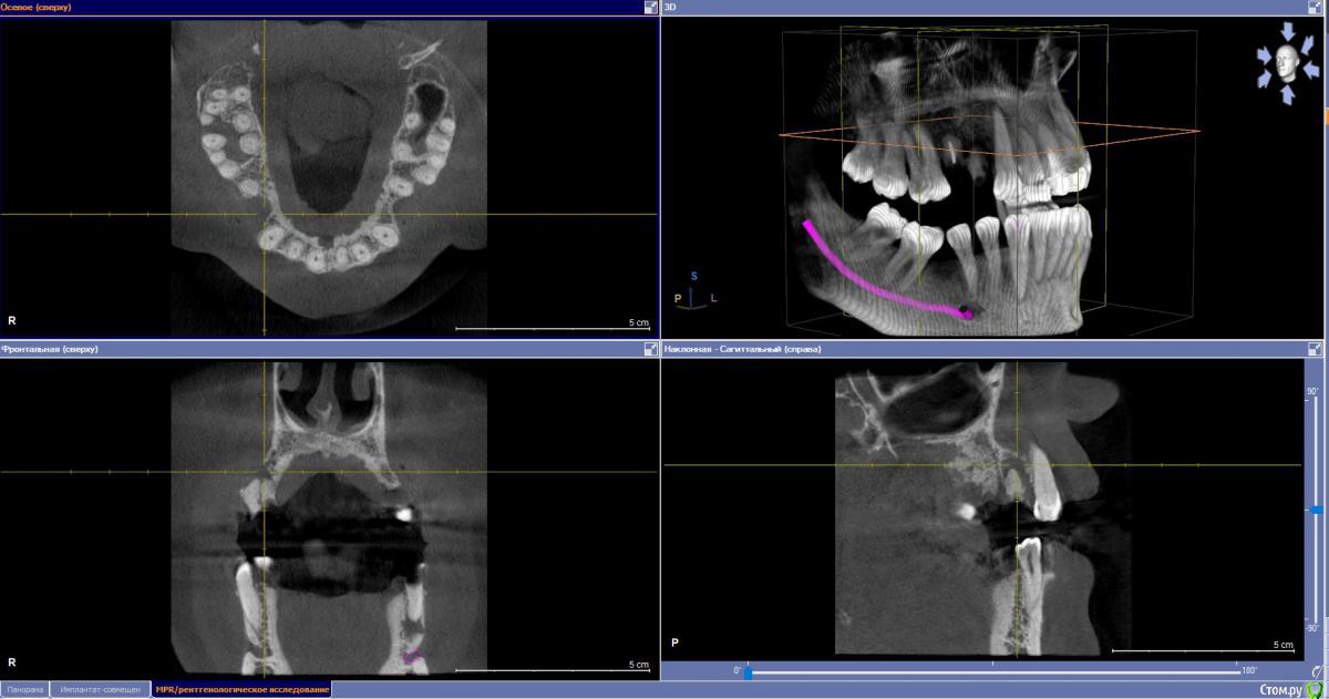
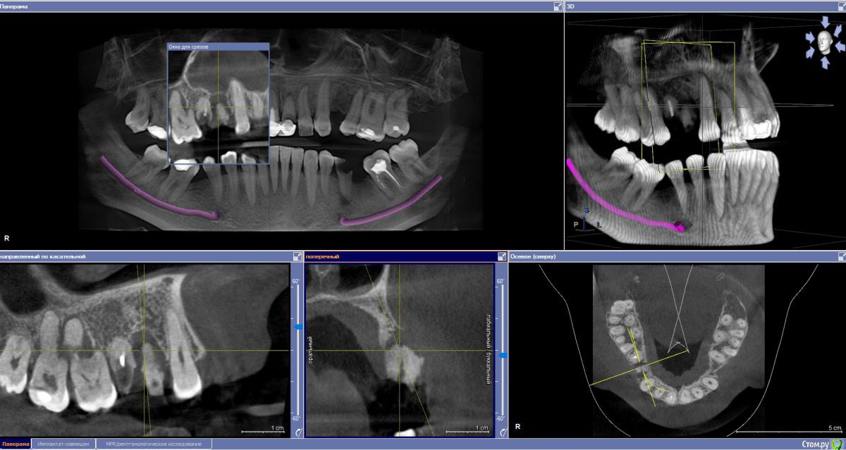
stomalolog Опубликовано 30 ноября, 2018 Поделиться Опубликовано 30 ноября, 2018 Добрый день. Пациенту назначили удаление корней 14,15. Вокруг 14 очаг резорбции, отсутствует вестибулярная стенка, на уровне шеек чуток кости.Собственно вопрос - что после удаления лучше сделать, для образования кости, сохранения десны ? Планируется мостовидный, но в любом случае уйдет десна, если ничего не сделать, не хочется получить яму. И пациент может созреть для имплантации.Какие варианты? A-prf и сверху сразу временные для формирования овоидов и поддержки, или графт-мембрана? Что лучше и может какие еще варианты ?Спасибо. Ссылка на комментарий
Irouil Опубликовано 30 ноября, 2018 Поделиться Опубликовано 30 ноября, 2018 A-prf и сверху сразу временные для формирования овоидов и поддержки+ Я бы трансплантаты сверху подшил Ссылка на комментарий
колесников Опубликовано 30 ноября, 2018 Поделиться Опубликовано 30 ноября, 2018 Графт,сст,пробка Ссылка на комментарий
Dman Опубликовано 4 декабря, 2018 Поделиться Опубликовано 4 декабря, 2018 апрф и губка + времяшки для овоида 1 Ссылка на комментарий
stomalolog Опубликовано 8 декабря, 2018 Автор Поделиться Опубликовано 8 декабря, 2018 Всем спасибо, все решилось довольно просто, финансовым путем. Поэтому апрф, времяшки и + Я бы трансплантаты сверху подшил Будем наблюдать. Ссылка на комментарий
Дмитрий М Опубликовано 9 декабря, 2018 Поделиться Опубликовано 9 декабря, 2018 Графт,сст,пробкапробка - это что? подробнее моно, пожалуйста. Ссылка на комментарий
zubovolok Опубликовано 9 декабря, 2018 Поделиться Опубликовано 9 декабря, 2018 пробка - это что? подробнее моно, пожалуйста. я так понимаю, что пробка это часть корня (типа щита +) Ссылка на комментарий
Дмитрий М Опубликовано 9 декабря, 2018 Поделиться Опубликовано 9 декабря, 2018 я так понимаю, что пробка это часть корня (типа щита +)сокет метода? так вроде называется тоже так предположил! но подожду ответа автора ))) Ссылка на комментарий
Irouil Опубликовано 9 декабря, 2018 Поделиться Опубликовано 9 декабря, 2018 сокет метода? так вроде называется тоже так предположил! но подожду ответа автора )))Авторский метод по Ноймаеру Ссылка на комментарий
колесников Опубликовано 10 декабря, 2018 Поделиться Опубликовано 10 декабря, 2018 Да,по Ноймаеру. Как работал до этого ? Теперь каждый раз как закрываю лунку,говорю про себя :дай Бог здоровья этому замечательному человеку. Ссылка на комментарий
Irouil Опубликовано 11 декабря, 2018 Поделиться Опубликовано 11 декабря, 2018 Всем спасибо, все решилось довольно просто, финансовым путем. Поэтому апрф, времяшки и Будем наблюдать.Тогда уж поделитесь последующим результатом? Ссылка на комментарий
Дмитрий М Опубликовано 11 декабря, 2018 Поделиться Опубликовано 11 декабря, 2018 Да,по Ноймаеру. Как работал до этого ? Теперь каждый раз как закрываю лунку,говорю про себя :дай Бог здоровья этому замечательному человеку.Спасибо. где проходили обучение? скиньте дополнительно о методе, где почитать, у кого посмотреть? Ссылка на комментарий
колесников Опубликовано 11 декабря, 2018 Поделиться Опубликовано 11 декабря, 2018 На форуме были темы. Автор предложил оставлять с последующей экструзией чтобы получить прирост мягких тканей. Увидел впервые на фб у Новиченко. Показалось слишком мудреным и долгим. Потом подумал,можно ведь и не тянуть,а использовать просто для закрытия лунки ,(герметичного закрытия )и сохранения десневого контура . И настолько отлично десна сохранялась и безболезненно и без инфицирования,что подумал,а почему бы не совместить с имплантацией,взять мелкий фдм,уложить на него фрагмент и швами подтянуть десну,используя его как опору,вот тебе и прирост. Модифицировал метод другими словами,учился у себя. Спасибо тов. Ноймаеру за наше счастливое настоящее! 3 Ссылка на комментарий
stomalolog Опубликовано 12 декабря, 2018 Автор Поделиться Опубликовано 12 декабря, 2018 Тогда уж поделитесь последующим результатом?Сфотографирую, выложу как придет Ссылка на комментарий
Irouil Опубликовано 12 декабря, 2018 Поделиться Опубликовано 12 декабря, 2018 Модифицировал метод другими словами,учился у себя. Спасибо тов. Ноймаеру за наше счастливое настоящее!А корни кладете связкой в лунку? И потом как-то обрабатываете? Эндо там или ещё чего Спасибо Ссылка на комментарий
колесников Опубликовано 12 декабря, 2018 Поделиться Опубликовано 12 декабря, 2018 Низ и периметр связки.верх композит. Все размягченное убирается и заливается. Ссылка на комментарий
Рекомендуемые сообщения
Для публикации сообщений создайте учётную запись или авторизуйтесь
Вы должны быть пользователем, чтобы оставить комментарий
Создать аккаунт
Зарегистрируйте новый аккаунт в нашем сообществе. Это очень просто!
Регистрация нового пользователяВойти
Уже есть аккаунт? Войти в систему.
Войти