Перейти к содержанию
Стоматология для всех

Недолеченные каналы? Бывает ли 5-канальный 26-й зуб?


Yegor

Рекомендуемые сообщения

Здравствуйте,

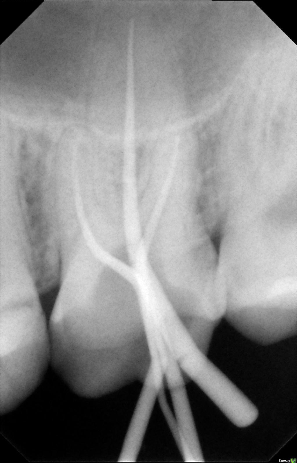
К сообщению прикреплены фотографии процесса лечения 26-го зуба.

 

После пломбировки каналов, я решил пойти ставить коронку в другую клинику, но там мне сказали, что не дают гарантию на этот зуб, поскольку каналы не долечены, и что я могу обратиться по гарантии в первую клинику. Но в первой клинике мне сказали, что все долечено. Хочу узнать мнение специалистов по этому поводу. Должен ли канал очищаться и пломбироваться до самой границы корня? Видно ли, что зуб не долечен по этим снимкам?

 

Так же в первой клинике в процессе лечения мне говорили, что у меня в зубе 5 каналов. Из-за этого цена лечения должна была быть еще дороже, но сказали, что мне оказали благосклонность и вылечили пятый канал бесплатно. В другой клинике мне сказали, что информация про 5-й канал - это ложь.

 

К сожалению, я не находил времени заняться этим зубом 10 месяцев после лечения и все это время ходил с временной пломбой. По словам врача из лечащей клиники нельзя так долго ходить со временной пломбой, якобы это нарушает герметичность пломбировки каналов ит.д. Насколько правомочны эти заявления врача?

 

Мне 27 лет.

Заранее благодарен за ответ.

post-56490-0-04160800-1543383335_thumb.jpg

post-56490-0-67320100-1543383340_thumb.jpg

post-56490-0-41499600-1543383348_thumb.jpg

post-56490-0-59344200-1543383354_thumb.jpg

post-56490-0-95593300-1543383359_thumb.jpg

Ссылка на комментарий

2 недели-максимальный срок для временной пломбы.Врачи говорят правду.По какой причине Вы своевременно не закончили лечение зуба?

Ссылка на комментарий

Спасибо за ответ.

Своевременно не закончил лечение зуба, потому что хотел ставить коронку в другой клинике, где цены несколько дешевле. Там мне сказали, что каналы не долечены и гарантии не дадут, но что со временной пломбой можно ходить хоть год. Я не хотел принимать никакого решения, думая, что есть отсрочка. В итоге, вижу, что совершил ошибку.

 

Что посоветуете мне делать делать с этим зубом сейчас: перелечивать или можно просто ставить коронку/постоянную пломбу/вкладку?

Ссылка на комментарий

 

 

Что посоветуете мне делать делать с этим зубом сейчас: перелечивать или можно просто ставить коронку/постоянную пломбу/вкладку?
 

 

Сложно дать однозначный ответ. т.к. мы не знаем насколько все было герметично. Временные пломбы бывают разные, когда герметично, то можно долго ходить.

Сделайте КТ данного зуба, все спокойно, то протезировать. Если есть признаки хронического воспаления, тогда лучше ревизию каналов делать. 

  • Поддерживаю 1
Ссылка на комментарий

 

 

Что посоветуете мне делать делать с этим зубом сейчас:

если денег реально нет-поставьте на 1-3 года штампованную коронку(цена-копеечная)затем сделаете кт и если не будет изменений-замените на эстетику.

  • Поддерживаю 1
Ссылка на комментарий

Для публикации сообщений создайте учётную запись или авторизуйтесь

Вы должны быть пользователем, чтобы оставить комментарий

Создать аккаунт

Зарегистрируйте новый аккаунт в нашем сообществе. Это очень просто!

Регистрация нового пользователя

Войти

Уже есть аккаунт? Войти в систему.

Войти
×
×
  • Создать...
Вверх