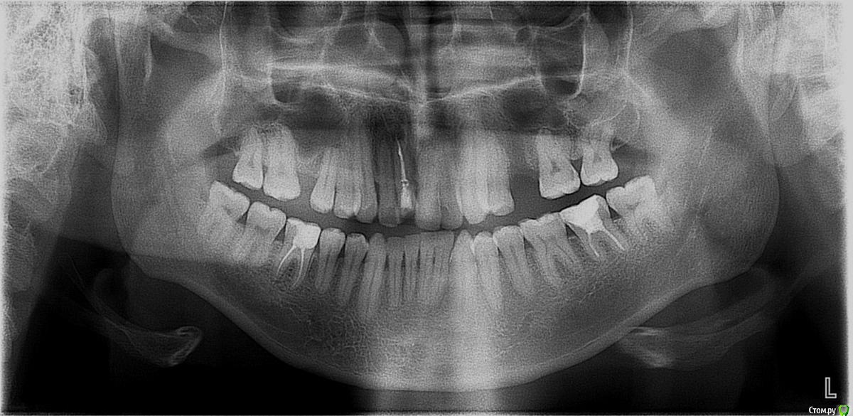
Nick-ev Опубликовано 26 ноября, 2018 Поделиться Опубликовано 26 ноября, 2018 Ношу брекеты уже больше 5ти лет!!!!!!! Очень сильно начали портится зубы, хочу срочно снимать.Вопрос только по правому резцу, он расположен выше левого (не симметрично) врач утверждает, что зуб сточен и опускать его нельзя. Но я то отлично помню, что он поднял его т.к. в него упирался нижний клык, клык давно ушел назад и ничего не мешает выровнять резец. За столько лет я уже не верю никому, но кариес под брекетами дело серьезное. Вопрос, стоит ли выравнивать резец и сколько времени это займет?Было в 13 годуСтало в 18 году Ссылка на комментарий
red_butler Опубликовано 5 декабря, 2018 Поделиться Опубликовано 5 декабря, 2018 http://forum.stom.ru/topic/4655-patcientam/ Ссылка на комментарий
Nick-ev Опубликовано 6 декабря, 2018 Автор Поделиться Опубликовано 6 декабря, 2018 red_butler, Вы во все мои темы шлете одно и тоже сообщение с правилами, думаете я их так и не прочитал? Лучше сразу темы удаляйте. Ссылка на комментарий
red_butler Опубликовано 6 декабря, 2018 Поделиться Опубликовано 6 декабря, 2018 red_butler, Вы во все мои темы шлете одно и тоже сообщение с правилами, думаете я их так и не прочитал? Лучше сразу темы удаляйте.это другое сообщение... Ссылка на комментарий
Рекомендуемые сообщения
Для публикации сообщений создайте учётную запись или авторизуйтесь
Вы должны быть пользователем, чтобы оставить комментарий
Создать аккаунт
Зарегистрируйте новый аккаунт в нашем сообществе. Это очень просто!
Регистрация нового пользователяВойти
Уже есть аккаунт? Войти в систему.
Войти