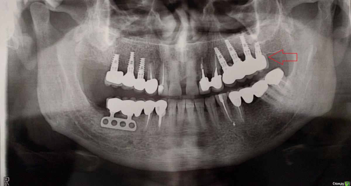
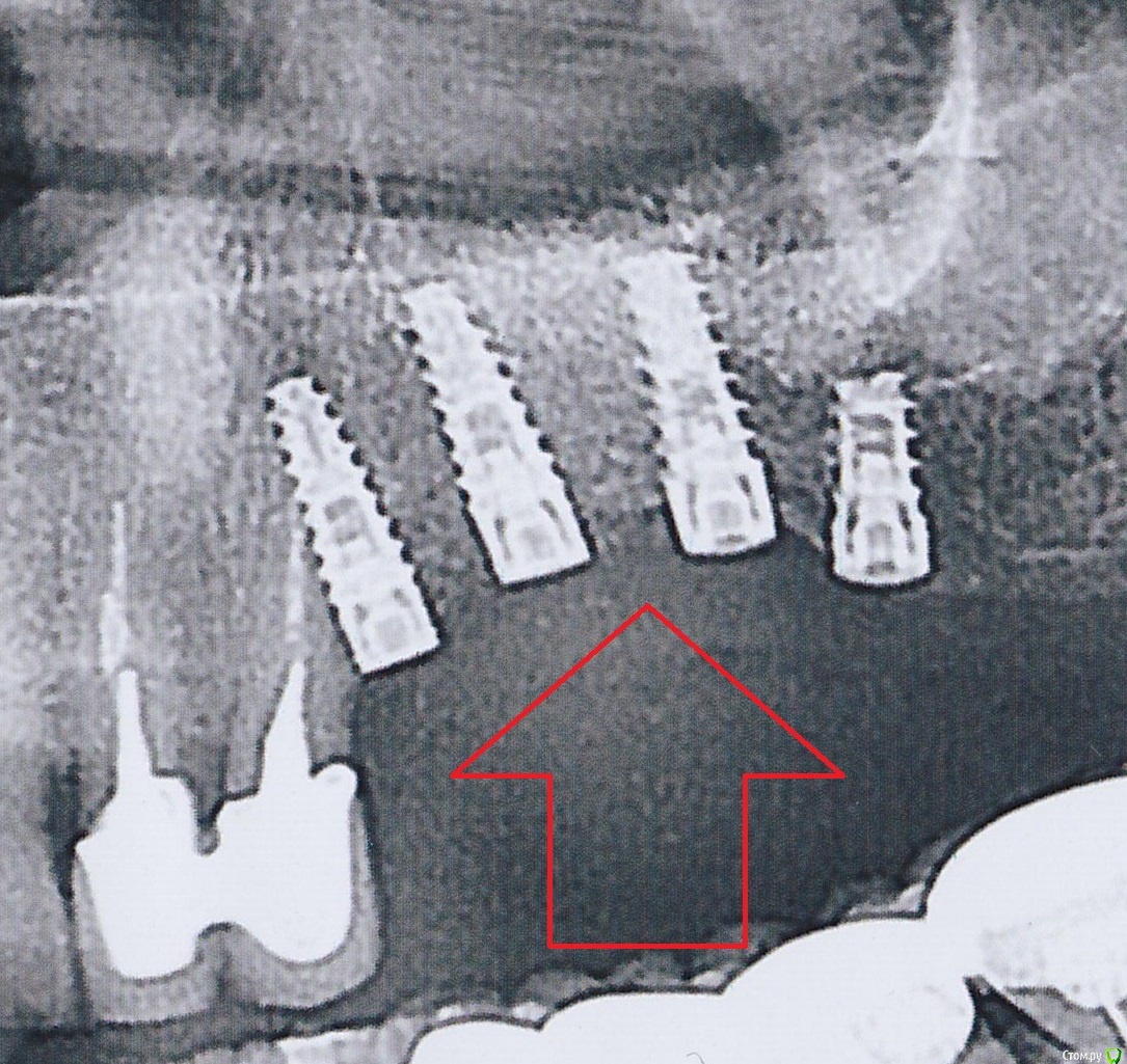
pistons777 Опубликовано 17 ноября, 2018 Поделиться Опубликовано 17 ноября, 2018 Здравствуйте, 3 года назад были установлены в верхнюю челюсть 4 импланта с наращиванием кости.Через 6-7 месяцев был установлен мост.2 месяца назад (мост начал слегка шататься (дышать, почвакивать…)Обратился к доктору, сделали снимок который показал, что импланты в порядке и скорее всего отклеился мост, попытались снять мост, но безуспешно.После чего было принято решение ждать, чтоб больше расшатался мост.Спустя месяц, мост стал намного больше шататься, но снять не получилось т.к. при попытке вытащить, его как будто клинит.Теперь стоит вопрос распилить мост и разбираться, что произшло.Если проблема с абатментом или абатментами нужно знать производителя, а он неизвестен т.к. устанавливались одним доктором, а другой доктор сейчас решает эту проблему. Так сложилась ситуация, географически. Спасибо, за вашу помощь! Ссылка на комментарий
Nazim_NV86 Опубликовано 18 ноября, 2018 Поделиться Опубликовано 18 ноября, 2018 Здравствуйте. Систем имплантации сейчас сотни. Журнал операций должен быть, с датой и наклейками от имплантов. По звонку узнать не пробовали? (Похожи на альфа био spi) 1 Ссылка на комментарий
Bier Опубликовано 19 ноября, 2018 Поделиться Опубликовано 19 ноября, 2018 имплантаты похожи на израильские. Там почти у всех систем стандартно все. Alpha-Bio как вариант. Ссылка на комментарий
pistons777 Опубликовано 19 ноября, 2018 Автор Поделиться Опубликовано 19 ноября, 2018 Спасибо! Ссылка на комментарий
Рекомендуемые сообщения
Для публикации сообщений создайте учётную запись или авторизуйтесь
Вы должны быть пользователем, чтобы оставить комментарий
Создать аккаунт
Зарегистрируйте новый аккаунт в нашем сообществе. Это очень просто!
Регистрация нового пользователяВойти
Уже есть аккаунт? Войти в систему.
Войти