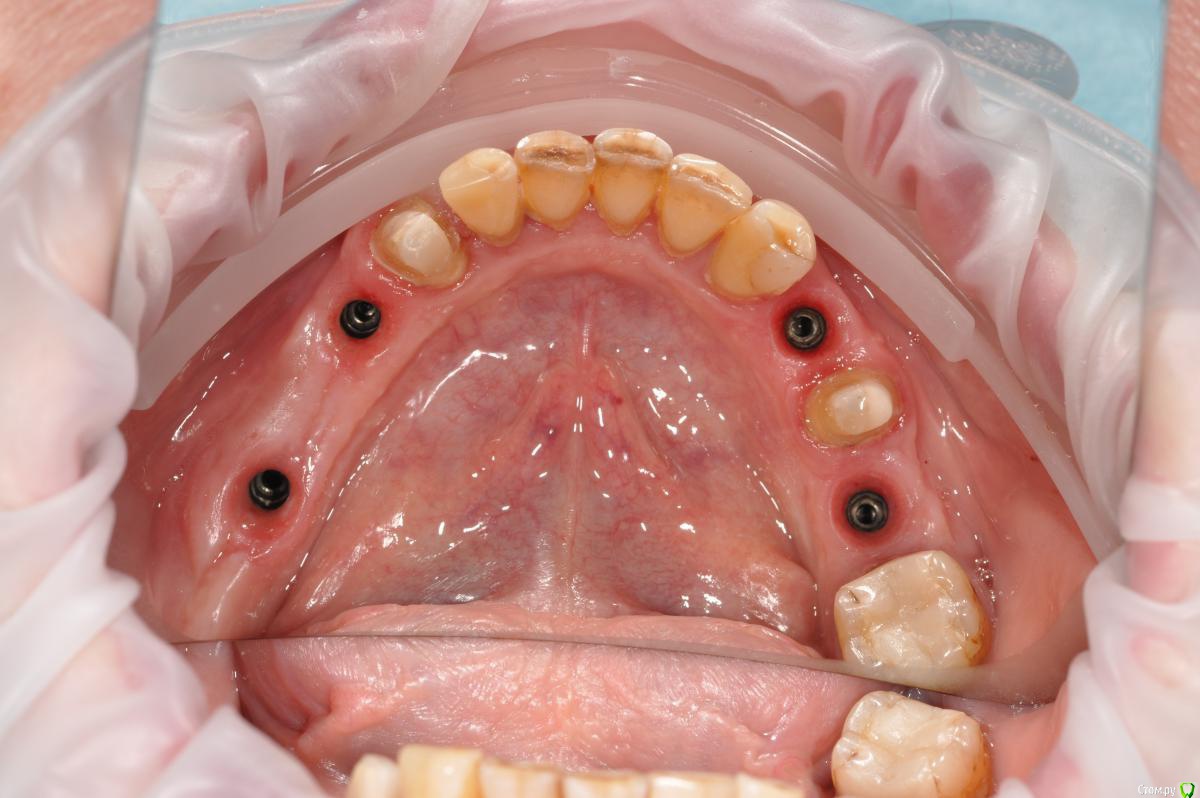
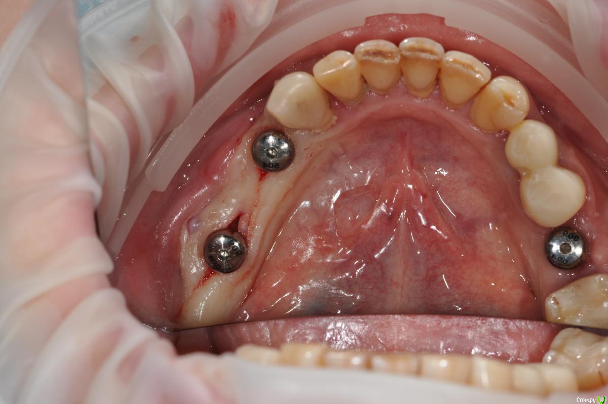
kamranchick Опубликовано 16 ноября, 2018 Поделиться Опубликовано 16 ноября, 2018 Господа, Как вы решаете вопрос с отсутствием зкпд в полном обьеме.у пациенки жалобы на то что" при поднятии языка, дна полости рта поднимается и нализиет на формирователь десны, соответственно на протезирование я пока не хочу передавать.в течении 3 недель у пациентки выросла шишка под языком в области 3 6 зуба...убрал формирователь и поставил заглушку.Видел у Ильгама как он делал зкпд, не скинете видео? не могу найтии что делать с этой шишкой и как вести пациента? спасибо 1 Ссылка на комментарий
Дмитрий Л. Опубликовано 16 ноября, 2018 Поделиться Опубликовано 16 ноября, 2018 (изменено) Чувствую, получу бан. Изменено 16 ноября, 2018 пользователем Дмитрий Л. 1 Ссылка на комментарий
krokomot Опубликовано 16 ноября, 2018 Поделиться Опубликовано 16 ноября, 2018 Что зкпд нигде нет рядом? Ссылка на комментарий
kamranchick Опубликовано 16 ноября, 2018 Автор Поделиться Опубликовано 16 ноября, 2018 Что зкпд нигде нет рядом?вообще нет, дно полости рта как то соединяется с переходной складкой как т) Ссылка на комментарий
krokomot Опубликовано 16 ноября, 2018 Поделиться Опубликовано 16 ноября, 2018 вообще нет, дно полости рта как то соединяется с переходной складкой как т)Я имею ввиду дальше или ближе по гребню. Ссылка на комментарий
kramer Опубликовано 16 ноября, 2018 Поделиться Опубликовано 16 ноября, 2018 Что есть шишка? Ссылка на комментарий
Nazim_NV86 Опубликовано 16 ноября, 2018 Поделиться Опубликовано 16 ноября, 2018 Какая толщина десны по формирователю ? Ссылка на комментарий
Nazim_NV86 Опубликовано 16 ноября, 2018 Поделиться Опубликовано 16 ноября, 2018 Отсеки слизистую и подшей ниже будто сдт собираешься подсадить. С подворотом. Из сом сделай гребень. Клеить и к фдм и к зубам рядом если есть. Надо фото найти... Ссылка на комментарий
Большой Зеленый Опубликовано 16 ноября, 2018 Поделиться Опубликовано 16 ноября, 2018 Протезирование помогает.Была пациентка .И чего я только ей не делал...После постановки короткого формирователя стало немного лучшеБыло решено запротезировать.Помогло 6 Ссылка на комментарий
Neilrus Опубликовано 16 ноября, 2018 Поделиться Опубликовано 16 ноября, 2018 Отсеки слизистую и подшей ниже будто сдт собираешься подсадить. С подворотом. Из сом сделай гребень. Клеить и к фдм и к зубам рядом если есть. Надо фото найти... Господа, Как вы решаете вопрос с отсутствием зкпд в полном обьеме.у пациенки жалобы на то что" при поднятии языка, дна полости рта поднимается и нализиет на формирователь десны, соответственно на протезирование я пока не хочу передавать.в течении 3 недель у пациентки выросла шишка под языком в области 3 6 зуба...убрал формирователь и поставил заглушку.Видел у Ильгама как он делал зкпд, не скинете видео? не могу найтии что делать с этой шишкой и как вести пациента? спасибодумаю до надкостницы расщепитесь со стороный переходной, подшейте как можно ниже, а к самой надкостнице полнослойный как можно плотнее пришейте, без фдм будет лучше, их потом, Каппу не забудьте на небо заранее, ибо кусочек будет нормальный.Почти похожий случай, фоткиприкрепил, не судите строго, выкладываюсь редко, прикрепленки было 1,5-2мм и то язычно 2 Ссылка на комментарий
Neilrus Опубликовано 16 ноября, 2018 Поделиться Опубликовано 16 ноября, 2018 (изменено) что-то они в обратно порядке залились..ваще опыта нет (конец вот такой: Изменено 16 ноября, 2018 пользователем Neilrus Ссылка на комментарий
kamranchick Опубликовано 17 ноября, 2018 Автор Поделиться Опубликовано 17 ноября, 2018 думаю до надкостницы расщепитесь со стороный переходной, подшейте как можно ниже, а к самой надкостнице полнослойный как можно плотнее пришейте, без фдм будет лучше, их потом, Каппу не забудьте на небо заранее, ибо кусочек будет нормальный.Почти похожий случай, фоткиприкрепил, не судите строго, выкладываюсь редко, прикрепленки было 1,5-2мм и то язычнону у вас ситуация понятная.... не такая тяжелая, а тут вообще ее нет, даже если бы была язычно 1.5 мм. было бы намного проще. она бы на месте оставалась бы при движении языком туда сюда, в моем случае, любое движение языком это катастрофа Ссылка на комментарий
kamranchick Опубликовано 17 ноября, 2018 Автор Поделиться Опубликовано 17 ноября, 2018 Какая толщина десны по формирователю ?стоит 4 мм формирователь, а реально десны мм 2-3 Ссылка на комментарий
kamranchick Опубликовано 17 ноября, 2018 Автор Поделиться Опубликовано 17 ноября, 2018 Я имею ввиду дальше или ближе по гребню.дальше нет, есть около 4-5 но там стоит имплант Ссылка на комментарий
kamranchick Опубликовано 17 ноября, 2018 Автор Поделиться Опубликовано 17 ноября, 2018 Протезирование помогает.Была пациентка .И чего я только ей не делал...После постановки короткого формирователя стало немного лучшеБыло решено запротезировать.Помогло у меня прям похожая картина, пациентка даже умудрилась ободрать язык об этот формирователь, из за этого пришлось заглушку ставить,плюс шишка какая то стала Ссылка на комментарий
Nazim_NV86 Опубликовано 17 ноября, 2018 Поделиться Опубликовано 17 ноября, 2018 стоит 4 мм формирователь, а реально десны мм 2-3Если добавить ССТ получишь 5мм. Вполне приемлемо. Потом расщепить и спустить слизистую. СОМ жидкотекучий использовать для того чтобы сделать преддверие. Ссылка на комментарий
Дмитрий Л. Опубликовано 17 ноября, 2018 Поделиться Опубликовано 17 ноября, 2018 (изменено) Большой Зеленый +1, надо протезировать. Проблема не в зкпд, а в подъязычном мясце, сст может и не помочь. Изменено 17 ноября, 2018 пользователем Дмитрий Л. Ссылка на комментарий
x4ex Опубликовано 17 ноября, 2018 Поделиться Опубликовано 17 ноября, 2018 СОМ жидкотекучийЭто что такое? Ссылка на комментарий
Nazim_NV86 Опубликовано 17 ноября, 2018 Поделиться Опубликовано 17 ноября, 2018 Светоотверждаемый материал. Композит . 2 Ссылка на комментарий
kamranchick Опубликовано 17 ноября, 2018 Автор Поделиться Опубликовано 17 ноября, 2018 Протезирование помогает.Была пациентка .И чего я только ей не делал...После постановки короткого формирователя стало немного лучшеБыло решено запротезировать.Помогло Андрей, а форма коронка с язычной стороны какая должна быть чтобы дно не поднималось, пологое ил выпуклое? у тебя на фотографии натерлась слизистая от формирователя или от коронок? Ссылка на комментарий
Neilrus Опубликовано 17 ноября, 2018 Поделиться Опубликовано 17 ноября, 2018 ну у вас ситуация понятная.... не такая тяжелая, а тут вообще ее нет, даже если бы была язычно 1.5 мм. было бы намного проще. она бы на месте оставалась бы при движении языком туда сюда, в моем случае, любое движение языком это катастрофаА есть фото? прямо дно переходит в щеку? Есть гребень хотя бы?Если так, то я бы сначала создал толщину с помощью сст, потом прикрепленку полнослойным...еще тут мотивация важна пациента, конечно, у меня даже после фоток не всегда пациенты на 100% понимают смысл повторных операций, для них-то все едино Ссылка на комментарий
Большой Зеленый Опубликовано 18 ноября, 2018 Поделиться Опубликовано 18 ноября, 2018 Андрей, а форма коронка с язычной стороны какая должна быть чтобы дно не поднималось, пологое ил выпуклое? у тебя на фотографии натерлась слизистая от формирователя или от коронок?Кругленькие надо))) . Моя натерла формирователем. Ссылка на комментарий
kamranchick Опубликовано 18 ноября, 2018 Автор Поделиться Опубликовано 18 ноября, 2018 А есть фото? прямо дно переходит в щеку? Есть гребень хотя бы?Если так, то я бы сначала создал толщину с помощью сст, потом прикрепленку полнослойным...еще тут мотивация важна пациента, конечно, у меня даже после фоток не всегда пациенты на 100% понимают смысл повторных операций, для них-то все единотолщину создать то не проблема, а прикреплению куда будете фиксировать? я рассматривали вариант прибить СДТшматок к кости, но после слов Большого Зеленого теперь думаю стоит ли туда лезть Ссылка на комментарий
kamranchick Опубликовано 18 ноября, 2018 Автор Поделиться Опубликовано 18 ноября, 2018 Кругленькие надо))) . Моя натерла формирователем. интересно, даже если от гладкого формирователя натерла, как коронка спасет Ссылка на комментарий
Amigo43 Опубликовано 21 ноября, 2018 Поделиться Опубликовано 21 ноября, 2018 (изменено) интересно, даже если от гладкого формирователя натерла, как коронка спасетя считаю она натерла именно ребром формирователя, у коронки в месте ребра формика будет гладкая язычная стенка. Изменено 21 ноября, 2018 пользователем Amigo43 2 Ссылка на комментарий
Рекомендуемые сообщения
Для публикации сообщений создайте учётную запись или авторизуйтесь
Вы должны быть пользователем, чтобы оставить комментарий
Создать аккаунт
Зарегистрируйте новый аккаунт в нашем сообществе. Это очень просто!
Регистрация нового пользователяВойти
Уже есть аккаунт? Войти в систему.
Войти