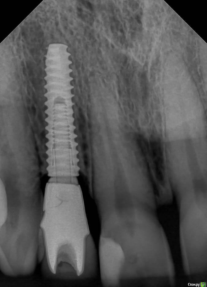
kamranchick Опубликовано 15 ноября, 2018 Поделиться Опубликовано 15 ноября, 2018 Без ССТ, Без Графта. торк 15, нагрузка в течении 8 часов.по последним моим наблюдениям, самое важно это 3д позиционирование имлпнатта, при правильном позиционировании, можно без всех штучек получить приемлимый долгосрочный результат. 5 Ссылка на комментарий
___49___ Опубликовано 15 ноября, 2018 Поделиться Опубликовано 15 ноября, 2018 (изменено) Без ССТ, Без Графта. торк 15, нагрузка в течении 8 часов.по последним моим наблюдениям, самое важно это 3д позиционирование имлпнатта, при правильном позиционировании, можно без всех штучек получить приемлимый долгосрочный результат.Красиво .опишите условия при имплантации - одномоментно сразу после удаления зуба , отсрочено, возраст пациента ...? Изменено 15 ноября, 2018 пользователем ___49___ Ссылка на комментарий
red_butler Опубликовано 15 ноября, 2018 Поделиться Опубликовано 15 ноября, 2018 Не понял названия темы Ссылка на комментарий
kamranchick Опубликовано 15 ноября, 2018 Автор Поделиться Опубликовано 15 ноября, 2018 Не понял названия темыНеоригинальные детали, микролюфт... Ссылка на комментарий
kamranchick Опубликовано 15 ноября, 2018 Автор Поделиться Опубликовано 15 ноября, 2018 Красиво .опишите условия при имплантации - одномоментно сразу после удаления зуба , отсрочено, возраст пациента ...?отлом зуба под десну, одномоментно сразу, женщина, 55 лет 1 Ссылка на комментарий
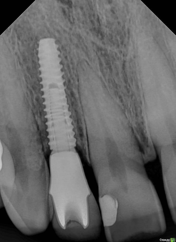
Smileee Опубликовано 15 ноября, 2018 Поделиться Опубликовано 15 ноября, 2018 (изменено) На втором снимке трещина абатмента? Изменено 15 ноября, 2018 пользователем Smileee Ссылка на комментарий
kamranchick Опубликовано 15 ноября, 2018 Автор Поделиться Опубликовано 15 ноября, 2018 На втором снимке трещина абатмента? как сказал ортопед, отклеился циркон от Ti-Base и он треснул Ссылка на комментарий
Тимур86 Опубликовано 15 ноября, 2018 Поделиться Опубликовано 15 ноября, 2018 немедленная нагруза с торком 15?из какого сплава тви яица, дружище? 4 Ссылка на комментарий
Irouil Опубликовано 15 ноября, 2018 Поделиться Опубликовано 15 ноября, 2018 немедленная нагруза с торком 15?из какого сплава тви яица, дружище? Я тоже так делал один раз) успешно И много раз не успешно. Бросил) Ссылка на комментарий
kamranchick Опубликовано 15 ноября, 2018 Автор Поделиться Опубликовано 15 ноября, 2018 Яйки как у всех)Пациентка мне очень импонировала если честно.Ну и преподаватель в вузе)Ну и двойка, не центральный резец))Тоже были фейлы, теперь минимум на 25 ставим временную коронку 3 Ссылка на комментарий
колесников Опубликовано 15 ноября, 2018 Поделиться Опубликовано 15 ноября, 2018 Вполне себе торк 15. Я и на 10 фиксировал. Главное- дополнительно шинировать. Ссылка на комментарий
johniola Опубликовано 15 ноября, 2018 Поделиться Опубликовано 15 ноября, 2018 Микролюфт чего? причём тут перелом?Не вижу связи Ссылка на комментарий
Smileee Опубликовано 15 ноября, 2018 Поделиться Опубликовано 15 ноября, 2018 как сказал ортопед, отклеился циркон от Ti-Base и он треснулКМК если б циркон отклеился, он бы вместе с коронкой выпал бы. Скорее всего просто абатмент треснул, без отклейки. 2 Ссылка на комментарий
Рекомендуемые сообщения
Для публикации сообщений создайте учётную запись или авторизуйтесь
Вы должны быть пользователем, чтобы оставить комментарий
Создать аккаунт
Зарегистрируйте новый аккаунт в нашем сообществе. Это очень просто!
Регистрация нового пользователяВойти
Уже есть аккаунт? Войти в систему.
Войти