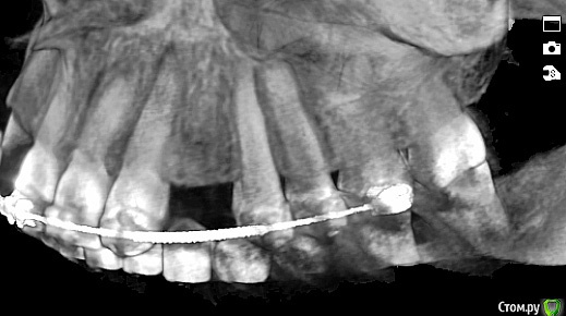
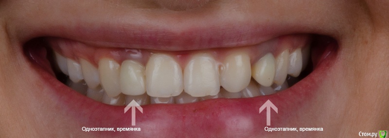
Romanson Опубликовано 13 ноября, 2018 Поделиться Опубликовано 13 ноября, 2018 Здравствуйте.Интересует мнение коллег.Брекеты сняли более года назад.Импланты стоят более года.Как обыграть фронт во втором сегменте? Ссылка на комментарий
Romanson Опубликовано 13 ноября, 2018 Автор Поделиться Опубликовано 13 ноября, 2018 Кроме как превратить клык в двойку и сделать мост 2.2 - 2.4 с клыком вариантов не вижу. Но какой прогноз у такой конструкции?Может кто-нибудь знает другие способы? Ссылка на комментарий
Борис80 Опубликовано 13 ноября, 2018 Поделиться Опубликовано 13 ноября, 2018 12 нессиметричен будет. идеального решения в такой ситуации нет, Буквально сегодня консультировал пациентку с практически такой же ситуацией... договорились что выберем вариант по ваксапу( 2 варианта, в первом случае клык "перетачиваем" в резец и в области 23 делаем клык, второй вариант 12 и клык слева не трогаем в области отсутствующего 23 моделируем премоляр с не выраженным небным бугром), но склоняемся к тому, что 12 и 23(который на месте 22) под виниры и в области 23 коронка в виде клыка Ссылка на комментарий
Дмитрий Л. Опубликовано 13 ноября, 2018 Поделиться Опубликовано 13 ноября, 2018 Отдайте технику на ваксап. Ссылка на комментарий
Romanson Опубликовано 13 ноября, 2018 Автор Поделиться Опубликовано 13 ноября, 2018 Отдайте технику на ваксап. И что по вашему техник мне наваксапит? Ссылка на комментарий
Паращук Роман Опубликовано 14 ноября, 2018 Поделиться Опубликовано 14 ноября, 2018 Работать от 13 по 23. Поднять зинит у 12. Увеличив дистальный валик 11 21,визуально уменьшить зубы в позициях 12,22. 13-винир,23 коронка,дистально возможно трема. Нужен воск от выше предложенного и смотреть. 2 Ссылка на комментарий
Romanson Опубликовано 14 ноября, 2018 Автор Поделиться Опубликовано 14 ноября, 2018 2.2 (на месте которого клык) превращать в двойку?Работать от 13 по 23. Поднять зинит у 12. Увеличив дистальный валик 11 21,визуально уменьшить зубы в позициях 12,22. 13-винир,23 коронка,дистально возможно трема. Нужен воск от выше предложенного и смотреть. Ссылка на комментарий
Игорь Пеликан Опубликовано 14 ноября, 2018 Поделиться Опубликовано 14 ноября, 2018 Тут ортодонию нужно доделать,нижний центр гуляет,нет нормальной оклюзии в боковой группе,в 23 редукция толщины корня субгингивально(под размеры двойки),и зениты 12,22 выровняются.Около импланта в позиции 23 зенит поднять симметрично к 13,чуть расширить трема должна уйти,можно ещё мезиально вытянуть,и за счёт 24 закрыть её. 1 Ссылка на комментарий
Romanson Опубликовано 15 ноября, 2018 Автор Поделиться Опубликовано 15 ноября, 2018 (изменено) Тут ортодонию нужно доделать,нижний центр гуляет,нет нормальной оклюзии в боковой группе,в 23 редукция толщины корня субгингивально(под размеры двойки),и зениты 12,22 выровняются.Около импланта в позиции 23 зенит поднять симметрично к 13,чуть расширить трема должна уйти,можно ещё мезиально вытянуть,и за счёт 24 закрыть её.Это сложная ортодонтическая ситуация?Как поняли, что низ гуляет? Изменено 15 ноября, 2018 пользователем Romanson Ссылка на комментарий
Игорь Пеликан Опубликовано 17 ноября, 2018 Поделиться Опубликовано 17 ноября, 2018 Это сложная ортодонтическая ситуация?Как поняли, что низ гуляет?Учитывая возраст,наверняка стертость жевательных поверхностей боковой группы зубов,состояние ВНЧС,адаптацию мышечного апарата под определенную технику пережёвывания пищевого комка этот клинический случай, возможно, не может быть излечен в полном объёме,только за счёт ортодонтии.Предположил на основании последнего фото Ссылка на комментарий
Рекомендуемые сообщения
Для публикации сообщений создайте учётную запись или авторизуйтесь
Вы должны быть пользователем, чтобы оставить комментарий
Создать аккаунт
Зарегистрируйте новый аккаунт в нашем сообществе. Это очень просто!
Регистрация нового пользователяВойти
Уже есть аккаунт? Войти в систему.
Войти