anjeys Опубликовано 10 ноября, 2018 Поделиться Опубликовано 10 ноября, 2018 Добрый день! Вот с такой радостью (на нижней челюсти) воевал я лет 10 с переменным успехом. И лечил и корни обрезал и чистил....Но чудес не бывает и после очередного пробуждения в виде свища, я с этим объектом расстался. Хирурга предупредил, что рассчитываю на имплант, кисту он вычистил, лунку не зашил. Подскажите, какую стратегию выбрать, что... когда...в какой последовательности?Противопоказаний пока не было, 50 лет. Заранее всем спасибо. Ссылка на комментарий
dok1 Опубликовано 10 ноября, 2018 Поделиться Опубликовано 10 ноября, 2018 Заживает лунка. Делаете компьютерную томограмму и по ней ваш хирург планирует будущую имплантацию 1 Ссылка на комментарий
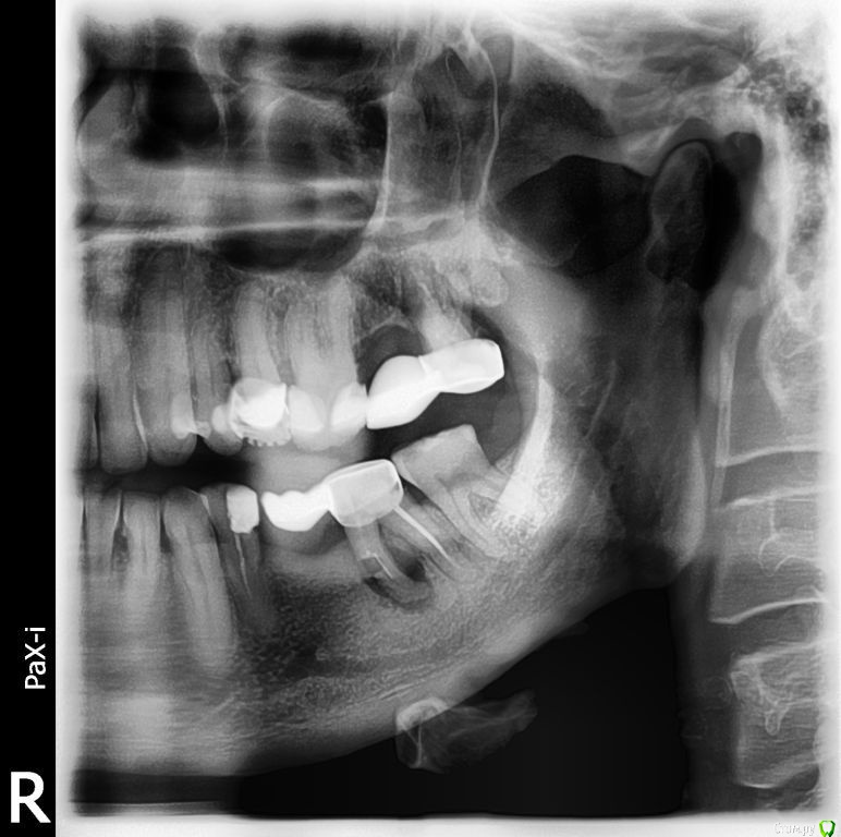
anjeys Опубликовано 11 ноября, 2018 Автор Поделиться Опубликовано 11 ноября, 2018 Какой прогноз по срокам? Сколько месяцев? Или лет? А лунка уже зажила)Разумеется, спрашиваю, как дилетант, не зная, можно ли что-то сказать по этому снимку. Ссылка на комментарий
Nazim_NV86 Опубликовано 11 ноября, 2018 Поделиться Опубликовано 11 ноября, 2018 Сколько прошло после удаления ? Через 4-5 месяцев КЛКТ. Ссылка на комментарий
anjeys Опубликовано 11 ноября, 2018 Автор Поделиться Опубликовано 11 ноября, 2018 10 дней Ссылка на комментарий
dok1 Опубликовано 11 ноября, 2018 Поделиться Опубликовано 11 ноября, 2018 Пару месяцев неглядя ждите. Далее на консультацию к имплантологу Ссылка на комментарий
anjeys Опубликовано 11 ноября, 2018 Автор Поделиться Опубликовано 11 ноября, 2018 Это уже конкретика. Спасибо. По костной ткани в зоне имплантации можно что-то сказать на сей момент? Мда...Наверное - глуповато вопрос звучит, но стирать не буду... Ссылка на комментарий
red_butler Опубликовано 12 ноября, 2018 Поделиться Опубликовано 12 ноября, 2018 Это уже конкретика. Спасибо. По костной ткани в зоне имплантации можно что-то сказать на сей момент? Мда...Наверное - глуповато вопрос звучит, но стирать не буду... По этому снимку можно судить только о высоте, с этим проблем нет. Ширину нужно смотреть очно и/или по Кт Ссылка на комментарий
колесников Опубликовано 12 ноября, 2018 Поделиться Опубликовано 12 ноября, 2018 У вас теперь дефект на 2 зуба. В области давней адентии явный дефицит тканей как по объёму ,так и по высоте,в области недавнего удаления -зависит от того как удаляли и как вели лунку. То что оставили открытой-не очень хорошо,будет большой дефицит тканей. Делайте клкт,далее зависит от тактики хирурга . Предположу что предложат подождать полгода ,а потом сделать костную пластику. 1 Ссылка на комментарий
anjeys Опубликовано 13 ноября, 2018 Автор Поделиться Опубликовано 13 ноября, 2018 Предположу что предложат подождать полгода ,а потом сделать костную пластику. Как понимаю, это будет предложение, на которое нет смысла отказывать? Ссылка на комментарий
колесников Опубликовано 13 ноября, 2018 Поделиться Опубликовано 13 ноября, 2018 Думаю в вашем регионе это будет единственный вариант Ссылка на комментарий
anjeys Опубликовано 14 ноября, 2018 Автор Поделиться Опубликовано 14 ноября, 2018 Регион не ограничивает, я в Москве часто бываю, можно и там поработать. Ссылка на комментарий
Bier Опубликовано 14 ноября, 2018 Поделиться Опубликовано 14 ноября, 2018 КТ через 2 мес, от его данных принимать решение. 1 Ссылка на комментарий
Рекомендуемые сообщения
Для публикации сообщений создайте учётную запись или авторизуйтесь
Вы должны быть пользователем, чтобы оставить комментарий
Создать аккаунт
Зарегистрируйте новый аккаунт в нашем сообществе. Это очень просто!
Регистрация нового пользователяВойти
Уже есть аккаунт? Войти в систему.
Войти