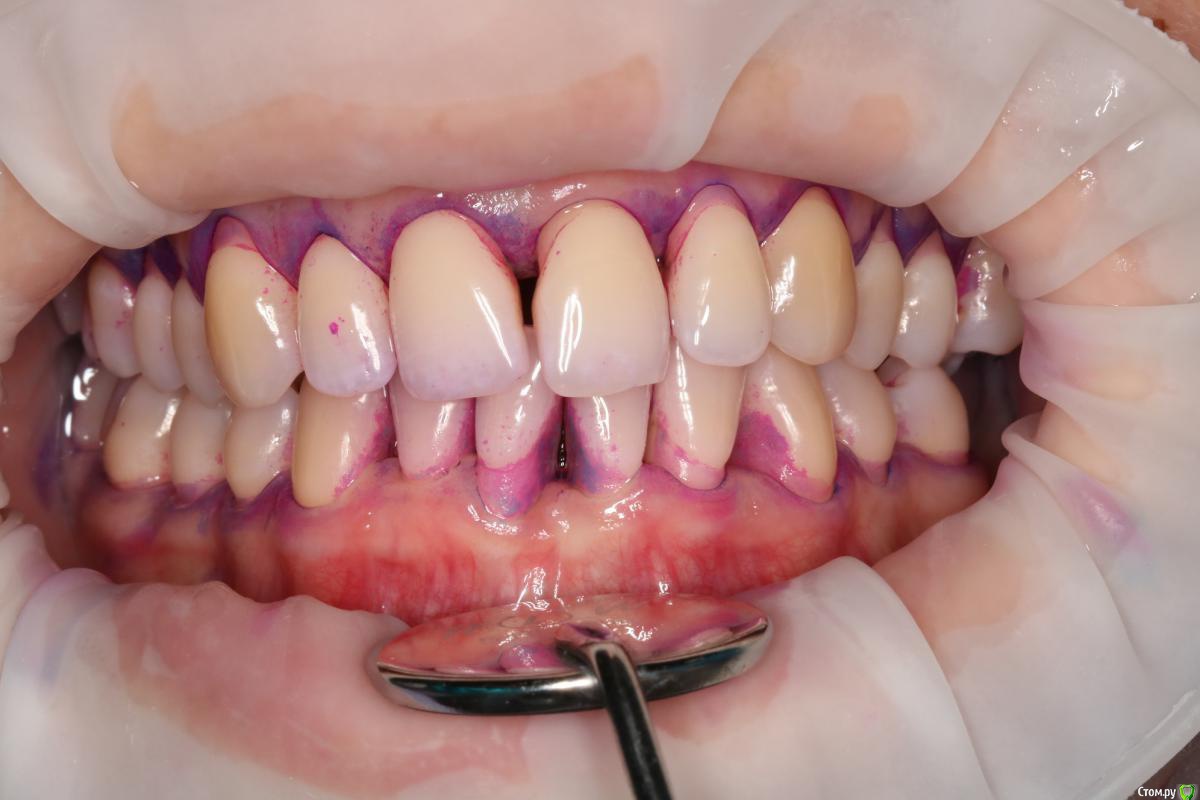
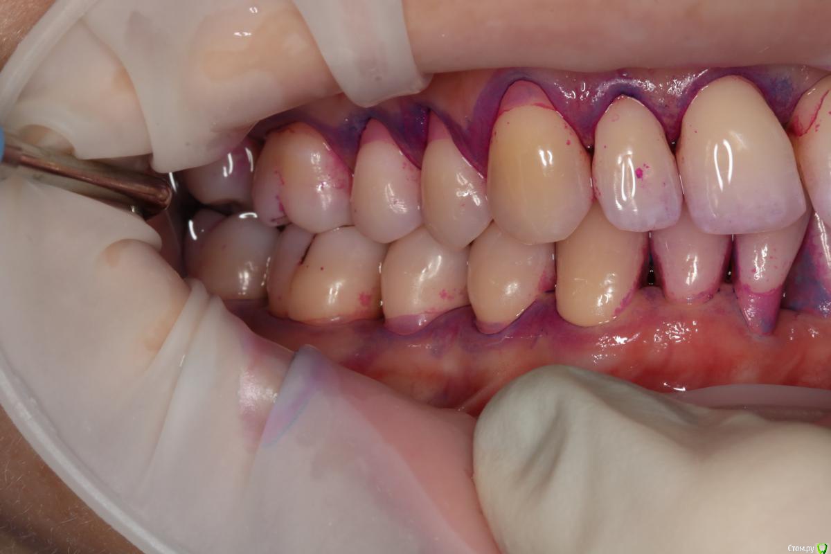
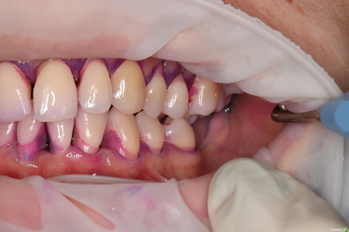
NataliaNN Опубликовано 8 ноября, 2018 Поделиться Опубликовано 8 ноября, 2018 Добрый день! У меня довольно сложная с деснами, генерализованный пародонтит, который обострился после родов и ГВ. Десны были очень воспалены, стали разворачиваться зубы. Я прошла курс чисток для лечения десен, уроки гигиены. Благодаря чему острый период воспаления прошел, сейчас состояние пародонта стабилизируется. Для дальнейшего лечения хирург планирует восстановление костной ткани на 21 и 46 зубах, и закрытие рецессий на 41, 24,25,26. А через полгода после операций можно заняться ортодонтией. Ортодонт придерживается другого мнения, сразу брекеты, а потом хирургические операции, аргументируя тем, что во время ношения брекетов результат операций может быть сведен к нулю. Хирург и ортодонт из разных клиник. Оба врача хорошие специалисты и все свои доводы аргументируют, но их точки зрения диаметрально противоположны. С чего же все-таки начать, подскажите, пожалуйста. Очень не хочется усугубить и так непростую ситуацию, к тому же все это очень затратно. Очень важно услышать мнение других специалистов. (Зубы 37,36 были потеряны в подростковом возрасте). Ссылка на комментарий
колесников Опубликовано 9 ноября, 2018 Поделиться Опубликовано 9 ноября, 2018 Не вижу смысла в ортодонтическом лечении в вашем случае (если только с 21), также сомнения в костной пластике 21,46 и в закрытии рецессии на данном этапе. Рекомендовал бы сейчас поставить импланты 36,37 с десневой пластикой , с ортопедом провести диагностику окклюзии,выявить суперконтакты,вам регулярно использовать ирригатор и через 3 мес оценить усадку десны (фронт низ-верх )и запланировать пластику рецессий. Проблема с 21 решается ортопедическим или ортодонтическим путём Ссылка на комментарий
NataliaNN Опубликовано 9 ноября, 2018 Автор Поделиться Опубликовано 9 ноября, 2018 Спасибо большое за Ваш ответ! Я бы вообще не ставила брекеты только ради эстетики, меня и так все устраивает, главное чтобы мои зубы остались со мной. Очень боюсь их потерять. Периодически чувствую, как передние зубы разворачиваются, это болезненные ощущения, но больше всего пугает мысль, что они могут выпасть. Доктора рекомендуют ортодонтическое лечение (чтобы поставить все зубы на свои места (по их мнению, они сместились из-за длительного отсутствия 36,37 + обострение пародонтита), так как из-за неправильного положения одни зубы выталкивают другие); а потом уже протезировать. Но никто не дает гарантий, что после ортодонтического лечения ситуация не усугубится. Как поведет себя костная ткань, которая и так убывает из-за пародонтита, во время передвижения зубов неизвестно. Поэтому у меня несколько вопросов:1. Насколько рискованно и необходимо ортодонтическое лечение в моем случае? 2. Если все-таки ставить брекеты, хирургические операции по устранению рецессий и восстановлению костной ткани до или после брекетов?3. Вы рекомендуете начать с имплантации. Возможно ли ортодонтическое лечение (при необходимости) после имплантации? Ссылка на комментарий
колесников Опубликовано 10 ноября, 2018 Поделиться Опубликовано 10 ноября, 2018 Именно потому ,что в вашем случае есть риск получить осложнения,ортодонтическое лечение не показано. Ссылка на комментарий
Рекомендуемые сообщения
Для публикации сообщений создайте учётную запись или авторизуйтесь
Вы должны быть пользователем, чтобы оставить комментарий
Создать аккаунт
Зарегистрируйте новый аккаунт в нашем сообществе. Это очень просто!
Регистрация нового пользователяВойти
Уже есть аккаунт? Войти в систему.
Войти