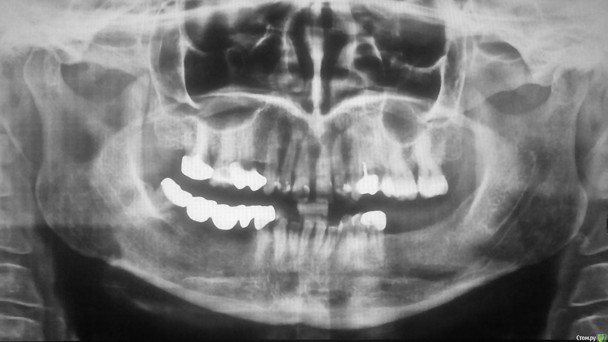
Андрей+ Опубликовано 5 ноября, 2018 Поделиться Опубликовано 5 ноября, 2018 Здравствуйте, уважаемые форумчане!Прошу вас поделиться мнением. Предупреждаю сразу: я в стоматологии ни разу не спец, потому всё, что вы скажете, может быть использовано против вас :-)Итак:Пациентке 48 лет. Передние верхние зубы (единички и двойки) лет 5-7 назад постепенно начали заметно выдаваться вперёд, зазор между единичками увеличился. При этом клыки и зубы за ними стоят примерно на том месте, где были 27 лет назад (см. фото "27"). Для полноты картины: слева 4-й зуб удалён, на 5-м коронка (ей 19 лет). Справа на 4-м коронка на штифте (штифт ставили 18 лет назад, коронку меняли 7 лет назад). Прилагаю панорамный снимок весны 2015-го года (см. фото "2015").Стоматолог предложил все верхние зубы по 5-й включительно спилить и поставить общий протез на 10 зубов, чтобы не дать выдающимся вперёд зубам продолжить движение.Вопросы:1. Предложенное доктором - поможет остановить движение зубов вперёд? Ведь корни спиленных зубов так и будут смотреть вперёд, и при давлении нижних зубов на "приклеенные" коронки усилие будет работать как на продолжение подъёма корней спиленных зубов, так и на вытягивание из челюсти корней крайних зубов моста - пятёрок. В стоматологии не силён, потому за возможную глупость в предыдущем предположении прошу снисхождения.2. Нервы в спиливаемых зубах удалять стоматолог не планирует. Нормально ли это? Ведь, воспались не дай бог нерв в одном из зубов под мостом, для удаления воспалённого нерва придётся снимать весь мост, т.е. его выбросить = заплатить за новый мост. Если каждый зуб под мостом лечить с выбрасыванием моста - никаких денег не хватит)))3. У пациентки уже лет 5 пощёлкивает (иногда с болью) левый челюстной сустав. Может ли это пощёлкивание означать смещение нижней челюсти назад, и может ли это смещение в свою очередь стать причиной выдвижения передних зубов вперёд? Т.е. не стоит ли перед установкой моста (или установкой брекетов) решить возможную проблему в челюстном суставе?4. Можно ли остановить и обратить вспять - вернув нормальный прикус - движение зубов вперёд, установив брекеты? Или в возрасте 48 лет брекеты бессильны?Буду очень признателен за ответы.С уважением,Андрей P.S. Если ошибся разделом - прошу модератора переместить мою тему в нужный. Не могу сообразить, куда постить: в "ортодонтию" или в "протезирование". Ссылка на комментарий
dok1 Опубликовано 5 ноября, 2018 Поделиться Опубликовано 5 ноября, 2018 Какой смысл вам помогать, если всё может использоваться против нас? 2 Ссылка на комментарий
Андрей+ Опубликовано 5 ноября, 2018 Автор Поделиться Опубликовано 5 ноября, 2018 Какой смысл вам помогать, если всё может использоваться против нас?Я там смайлик поставил, чтобы было понятно, где шутка юмора.Для других желающих поделиться мнением поясню фразу "всё, что вы скажете, может быть использовано против вас": я в стоматологии не соображаю от слова "совсем", а потому совет, данный специалистом, может вызвать встречные вопросы дилетанта (меня), а они - встречные вопросы дилетанта - могут специалиста раздражать своей тупостью, ибо один дурак может задать вопросы, на которые и сто мудрецов не ответят. Довольно часто на подобных форумах дилетанты задают дурацкие вопросы, и довольно часто специалисты раздражаются до белого каления. Вот эти дурацкие вопросы я и подразумевал, говоря, что всё, что вы скажете, может быть использовано против вас. Т.е. заранее в шутливом тоне извинился за в принципе обычное поведение дилетантов на подобных форумах. В который раз убеждаюсь, что шутить надо к месту. За неуместный юмор прошу у сообщества прощения. Ссылка на комментарий
Brigita Опубликовано 5 ноября, 2018 Поделиться Опубликовано 5 ноября, 2018 Данных мало для того,чтобы принять четкое решение об ортодонтии, но в принципе вариант с брекетами рассмотреть можно, но ортодонт должен обладать опытом и знаниями в гнатологии и в последующем все коронки и мосты нужно будет заменить 1 Ссылка на комментарий
Андрей+ Опубликовано 5 ноября, 2018 Автор Поделиться Опубликовано 5 ноября, 2018 Brigita, спасибо за мнение. Ссылка на комментарий
DmitrySH Опубликовано 5 ноября, 2018 Поделиться Опубликовано 5 ноября, 2018 Какая у вас цель? Убрать выдвижение передних зубов или полноценное адекватное лечение? Для второго потребуется очная консультация ортопеда, хирурга и ортодонта. т.к. работу надо начинать не с лечения последствий, а с устранения факторов которые привели к данному результату. 3 Ссылка на комментарий
Андрей+ Опубликовано 6 ноября, 2018 Автор Поделиться Опубликовано 6 ноября, 2018 (изменено) DmitrySH, ясно, спасибо. Изменено 6 ноября, 2018 пользователем Андрей+ Ссылка на комментарий
Андрей+ Опубликовано 17 ноября, 2018 Автор Поделиться Опубликовано 17 ноября, 2018 Тему можно закрыть. Всем ответившим спасибо. Ссылка на комментарий
Рекомендуемые сообщения