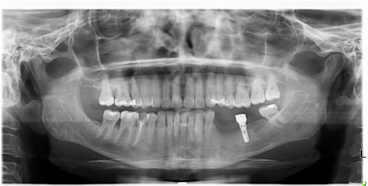
Eddie Опубликовано 30 октября, 2018 Поделиться Опубликовано 30 октября, 2018 Коллеги, подскажите, что за имплантат, стоит 10 лет непротезированным Ссылка на комментарий
Nazim_NV86 Опубликовано 30 октября, 2018 Поделиться Опубликовано 30 октября, 2018 (изменено) На impro похож...Что за формирователь ? Изменено 30 октября, 2018 пользователем Nazim_NV86 Ссылка на комментарий
Eddie Опубликовано 30 октября, 2018 Автор Поделиться Опубликовано 30 октября, 2018 (изменено) На impro похож...Что за формирователь ? ФДМ вообще без каких-либо надписей, размеров. Просто голый) Изменено 30 октября, 2018 пользователем Eddie Ссылка на комментарий
КДБ Опубликовано 31 октября, 2018 Поделиться Опубликовано 31 октября, 2018 а смысл с ним церемониться?все равно на удаление 1 Ссылка на комментарий
Дмитрий Л. Опубликовано 31 октября, 2018 Поделиться Опубликовано 31 октября, 2018 а смысл с ним церемониться?все равно на удаление Ссылка на комментарий
КДБ Опубликовано 31 октября, 2018 Поделиться Опубликовано 31 октября, 2018 судя по всему был еще 1 имплантат,в результате его потери такой дефект...Учитывая,что на сег день условия стали не столь хороши,да и идентифицировать оставшийся сложно(да и нужно ли)-удаление его более правильное решение.Хотя нет-можно проститься с пациентом еще на 10 лет Ссылка на комментарий
Eddie Опубликовано 31 октября, 2018 Автор Поделиться Опубликовано 31 октября, 2018 В данном случае рассматриваю только удаление, вопрос в том, выкрутить ли имплантоводом, если узнаю систему или заказывать инструмент для удаления? Ссылка на комментарий
red_butler Опубликовано 31 октября, 2018 Поделиться Опубликовано 31 октября, 2018 на MIS позапрошлого поколения похож, BIOCON Ссылка на комментарий
Рекомендуемые сообщения
Для публикации сообщений создайте учётную запись или авторизуйтесь
Вы должны быть пользователем, чтобы оставить комментарий
Создать аккаунт
Зарегистрируйте новый аккаунт в нашем сообществе. Это очень просто!
Регистрация нового пользователяВойти
Уже есть аккаунт? Войти в систему.
Войти