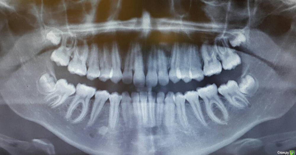
Arbitr Опубликовано 28 октября, 2018 Поделиться Опубликовано 28 октября, 2018 Добрый день!Подскажите, пожалуйста, как лучше, на Ваш взгляд, поступить с 8-ми зубами?Ребенку - 10 лет, Все 4 появились на снимке, расположены, вроде не совсем хорошо.Стоматолог терапевт рекомендует подумать об удалении, что бы избежать проблем в будущем.Удалить сейчас, пока они не заматерели, или ждать, вдруг пронесёт? Ссылка на комментарий
___49___ Опубликовано 29 октября, 2018 Поделиться Опубликовано 29 октября, 2018 Добрый день!Подскажите, пожалуйста, как лучше, на Ваш взгляд, поступить с 8-ми зубами?Ребенку - 10 лет, Все 4 появились на снимке, расположены, вроде не совсем хорошо.Стоматолог терапевт рекомендует подумать об удалении, что бы избежать проблем в будущем.Удалить сейчас, пока они не заматерели, или ждать, вдруг пронДобрый , с нижними точно не пронесет. Перед удалением желательна очная консультация с ортодонтом. 1 Ссылка на комментарий
Brigita Опубликовано 30 октября, 2018 Поделиться Опубликовано 30 октября, 2018 Удалять, нижние точно, чем раньше удалите, тем меньше проблем будет в дальнейшем 2 Ссылка на комментарий
Рекомендуемые сообщения
Для публикации сообщений создайте учётную запись или авторизуйтесь
Вы должны быть пользователем, чтобы оставить комментарий
Создать аккаунт
Зарегистрируйте новый аккаунт в нашем сообществе. Это очень просто!
Регистрация нового пользователяВойти
Уже есть аккаунт? Войти в систему.
Войти