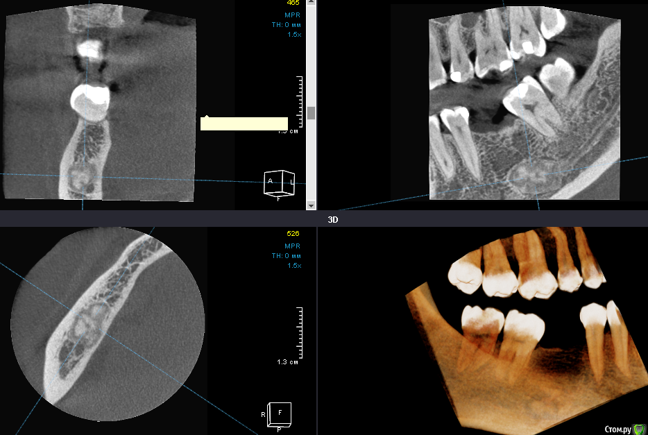
gum Опубликовано 24 октября, 2018 Поделиться Опубликовано 24 октября, 2018 (изменено) Коллеги здравствуйте. Пациент обратился с целью имплантации в области 46. На снимке новообразование. Что это и как поступить? Возможно типа одонтомы, так как видны структуры напоминающие фрагменты зубов. Изменено 24 октября, 2018 пользователем gum Ссылка на комментарий
___49___ Опубликовано 24 октября, 2018 Поделиться Опубликовано 24 октября, 2018 (изменено) Доброго. Похоже на одонтому , в ЧЛХ не хотите направить ? Какой анамнез, что с чувствительностью в области губы ,состояние регионарных лимфоузлов? Изменено 24 октября, 2018 пользователем ___49___ Ссылка на комментарий
gum Опубликовано 24 октября, 2018 Автор Поделиться Опубликовано 24 октября, 2018 Ничего не беспокоит, лу без особенностей. В ЧЛХ направлю обязательно. Хотел сначала на форуме посоветоваться. Ссылка на комментарий
Дмитрий Л. Опубликовано 24 октября, 2018 Поделиться Опубликовано 24 октября, 2018 Наверное, здесь лучше мост) Или имплантат в обход одонтомы. Ну а саму одонтому наблюдать. 1 Ссылка на комментарий
gum Опубликовано 25 октября, 2018 Автор Поделиться Опубликовано 25 октября, 2018 Думаете не стоит ее убирать?Имплантат не вариант при одонтоме. 1 Ссылка на комментарий
Irouil Опубликовано 25 октября, 2018 Поделиться Опубликовано 25 октября, 2018 Покажите замеры, кажется медиально есть под имплантат место. Ссылка на комментарий
kramer Опубликовано 25 октября, 2018 Поделиться Опубликовано 25 октября, 2018 8мм имплантат должен поместиться Ссылка на комментарий
Дмитрий М Опубликовано 25 октября, 2018 Поделиться Опубликовано 25 октября, 2018 Думаете не стоит ее убирать?Имплантат не вариант при одонтоме.подержу, имплант ставить или удалять риск, т.к. не предсказуемая динамика, и технически сложно, риск перелома. Ссылка на комментарий
gum Опубликовано 26 октября, 2018 Автор Поделиться Опубликовано 26 октября, 2018 Отправил в ЧЛХ на консультацию. В понедельник созвонюсь с пациенткой, узнаю, что сказали. 2 Ссылка на комментарий
Рекомендуемые сообщения
Для публикации сообщений создайте учётную запись или авторизуйтесь
Вы должны быть пользователем, чтобы оставить комментарий
Создать аккаунт
Зарегистрируйте новый аккаунт в нашем сообществе. Это очень просто!
Регистрация нового пользователяВойти
Уже есть аккаунт? Войти в систему.
Войти