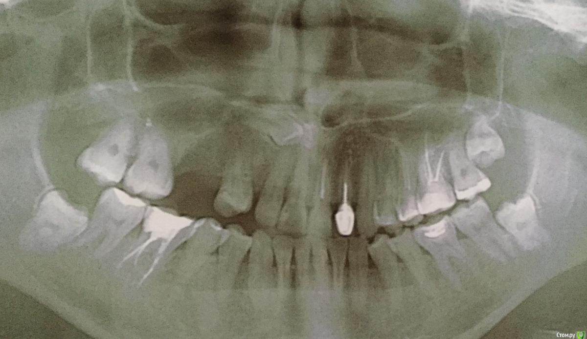
Innaiii Опубликовано 22 октября, 2018 Поделиться Опубликовано 22 октября, 2018 Здравствуйте!у меня неправильный прикус верхней челюсти одна сторона ниже другая выше, также ретированный клык он лежит высоко возле носа ещё и поперёк!Подскажите что мне сделать с зубами думала одеть брекеты, но сомневаюсь что эту кривизну уже не исправить, зубы по длине разные!Или после брикетов нужно будет визиры ставить чтоб длину выпрямить?Может есть ещё какие то варианты? Ссылка на комментарий
red_butler Опубликовано 22 октября, 2018 Поделиться Опубликовано 22 октября, 2018 http://forum.stom.ru/topic/4655-patcientam/ Ссылка на комментарий
Рекомендуемые сообщения
Для публикации сообщений создайте учётную запись или авторизуйтесь
Вы должны быть пользователем, чтобы оставить комментарий
Создать аккаунт
Зарегистрируйте новый аккаунт в нашем сообществе. Это очень просто!
Регистрация нового пользователяВойти
Уже есть аккаунт? Войти в систему.
Войти