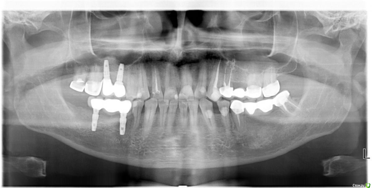
vpaoli Опубликовано 15 октября, 2018 Поделиться Опубликовано 15 октября, 2018 Здравствуйте,помогите выбрать план лечения.Левая сторона (противоположная от установленных имплантов), верхняя челюсть. Мост , покрывающий 3 зуба слетел, потому что крайний предпоследний (6-й) зуб отломился. 4-й зуб моста в нормальном состоянии. 3-й зуб (клык) потемнел и я хочу ставить на него коронку. От 6-го зуба остался только корень. Сам думаю над таким вариантом :1) Поставить мост на 3-й, 4-й зубы + искуственный зуб (т.е. коронка на 3 единицы).2) 6-й зуб удалить и на его место поставить имплант . Мой вариант в определенном смысле экономичный т.к. ставить придется только 1 имплант. Как вам такой вариант ? Покритикуйте, предложите альтернативу.Нужно делать синус-лифтинг открытый или нет ? Справа стоят импланты и делался открытый синус-лифтинг, так решил доктор. Панорамный снимок прилагается. Спасибо. Ссылка на комментарий
vpaoli Опубликовано 15 октября, 2018 Автор Поделиться Опубликовано 15 октября, 2018 по п..1 предполагается, что искусственный 3-й зуб коронки будет "висящим". Уж не знаю, делают так или нет. Ссылка на комментарий
red_butler Опубликовано 15 октября, 2018 Поделиться Опубликовано 15 октября, 2018 Сам думаю над таким вариантом :Вы себя сами собираетесь протезировать??? Покажите актуальный Rg снимок и фото шестого зуба Ссылка на комментарий
DoctorT Опубликовано 16 октября, 2018 Поделиться Опубликовано 16 октября, 2018 Если 6 зуб на удаление, то консольному протезу однозначно отказать, В дальнейшем дороже выйдет. " Коронки и 2 имплантанта в позиции 5 и 6. Ссылка на комментарий
vpaoli Опубликовано 16 октября, 2018 Автор Поделиться Опубликовано 16 октября, 2018 Вы себя сами собираетесь протезировать??? Покажите актуальный Rg снимок и фото шестого зубаНет, не собираюсь себя протезировать. Снимок сделан полгода назад. С учетом возраста этого зуба в 60 лет, будем считать снимок актуальным. 6-й зуб остался в мосте. Коронковая часть этого зуба полностью отсутствует. Поэтому, на фото вы этого зуба не увидите, его просто нет. Ссылка на комментарий
vpaoli Опубликовано 16 октября, 2018 Автор Поделиться Опубликовано 16 октября, 2018 Если 6 зуб на удаление, то консольному протезу однозначно отказать, В дальнейшем дороже выйдет. " Коронки и 2 имплантанта в позиции 5 и 6. Спасибо. Видимо так и будет.2 импланта обьединенные мостом или каждый имплант со своей коронкой ? Ссылка на комментарий
DoctorT Опубликовано 17 октября, 2018 Поделиться Опубликовано 17 октября, 2018 Спасибо. Видимо так и будет.2 импланта обьединенные мостом или каждый имплант со своей коронкой ?Я бы сделал на имплантантах вместе, а на своих зубах по отдельности. Ссылка на комментарий
red_butler Опубликовано 17 октября, 2018 Поделиться Опубликовано 17 октября, 2018 С учетом возраста этого зуба в 60 лет, будем считать снимок актуальным. ок, считайте. Тема закрыта до появления актуальных в настоящее время объективных данных. Ссылка на комментарий
Рекомендуемые сообщения