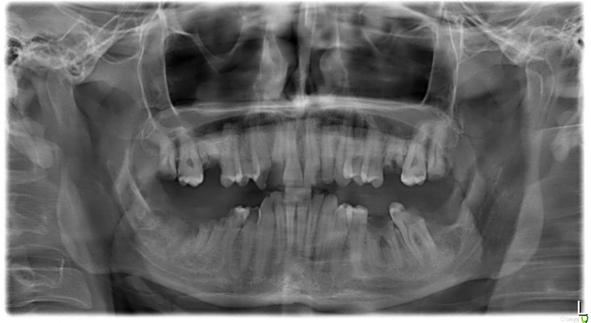
Евгений 717 Опубликовано 15 октября, 2018 Поделиться Опубликовано 15 октября, 2018 (изменено) Здравствуйте. Предстоит удаление 6-х и 8-х верхних зубов. Существует ли риск перфорации пазухи? Или точнее высокий ли риск перфорации? Изменено 15 октября, 2018 пользователем Евгений 717 Ссылка на комментарий
Bier Опубликовано 15 октября, 2018 Поделиться Опубликовано 15 октября, 2018 Риск не высокий. Главное аккуратно удалять. 1 Ссылка на комментарий
Евгений 717 Опубликовано 15 октября, 2018 Автор Поделиться Опубликовано 15 октября, 2018 спасибо. Ссылка на комментарий
Рекомендуемые сообщения
Для публикации сообщений создайте учётную запись или авторизуйтесь
Вы должны быть пользователем, чтобы оставить комментарий
Создать аккаунт
Зарегистрируйте новый аккаунт в нашем сообществе. Это очень просто!
Регистрация нового пользователяВойти
Уже есть аккаунт? Войти в систему.
Войти