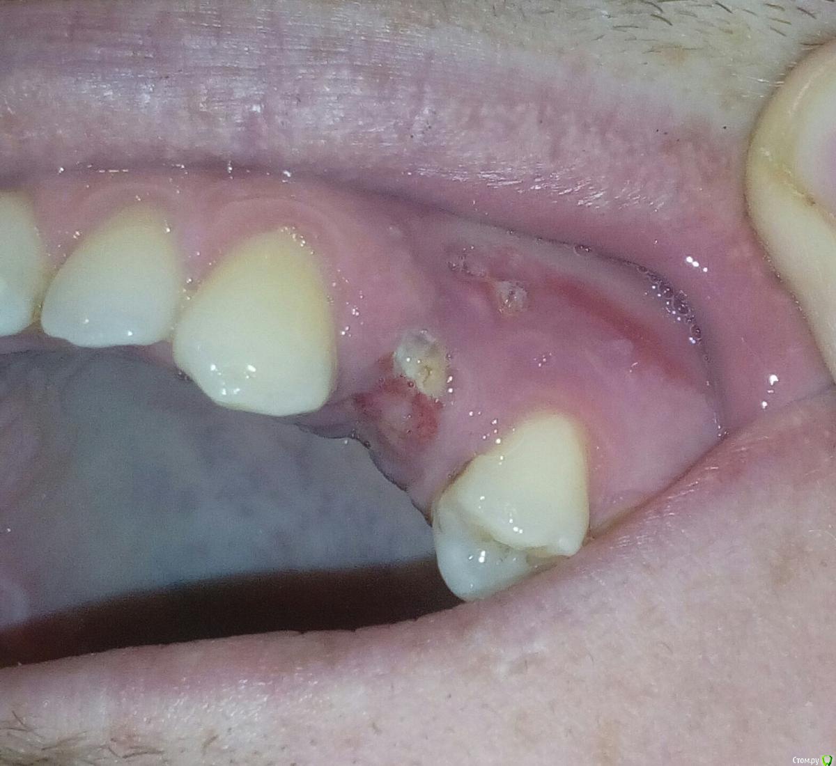
Nabch Опубликовано 14 октября, 2018 Поделиться Опубликовано 14 октября, 2018 Здравствуйте, удалили зуб, через две недели увидел, что-то торчит, это осколок?Спасибо Ссылка на комментарий
сирена Опубликовано 14 октября, 2018 Поделиться Опубликовано 14 октября, 2018 Да.Надо доудалять.Врач в крови не увидел. Ссылка на комментарий
Nabch Опубликовано 14 октября, 2018 Автор Поделиться Опубликовано 14 октября, 2018 Да.Надо доудалять.Врач в крови не увидел.На десне ближе к губе беловатое, тоже остаток? Сейчас наверное придётся десну резать? Ссылка на комментарий
kramer Опубликовано 14 октября, 2018 Поделиться Опубликовано 14 октября, 2018 На десне ближе к губе беловатое, тоже остаток? Сейчас наверное придётся десну резать?Сделать анестезию, достать пинцетом. Дело 1 минуты Ссылка на комментарий
Nabch Опубликовано 14 октября, 2018 Автор Поделиться Опубликовано 14 октября, 2018 Сделать анестезию, достать пинцетом. Дело 1 минутыА стоит прицельный снимок сделать, вдруг ещё внутри есть остатки? Ссылка на комментарий
red_butler Опубликовано 14 октября, 2018 Поделиться Опубликовано 14 октября, 2018 А стоит прицельный снимок сделать, вдруг ещё внутри есть остатки?Хуже не будет Ссылка на комментарий
Nabch Опубликовано 14 октября, 2018 Автор Поделиться Опубликовано 14 октября, 2018 Всем спасибо! Ссылка на комментарий
red_butler Опубликовано 15 октября, 2018 Поделиться Опубликовано 15 октября, 2018 Всем спасибо!Тему можно закрывать? Ссылка на комментарий
Рекомендуемые сообщения
Для публикации сообщений создайте учётную запись или авторизуйтесь
Вы должны быть пользователем, чтобы оставить комментарий
Создать аккаунт
Зарегистрируйте новый аккаунт в нашем сообществе. Это очень просто!
Регистрация нового пользователяВойти
Уже есть аккаунт? Войти в систему.
Войти