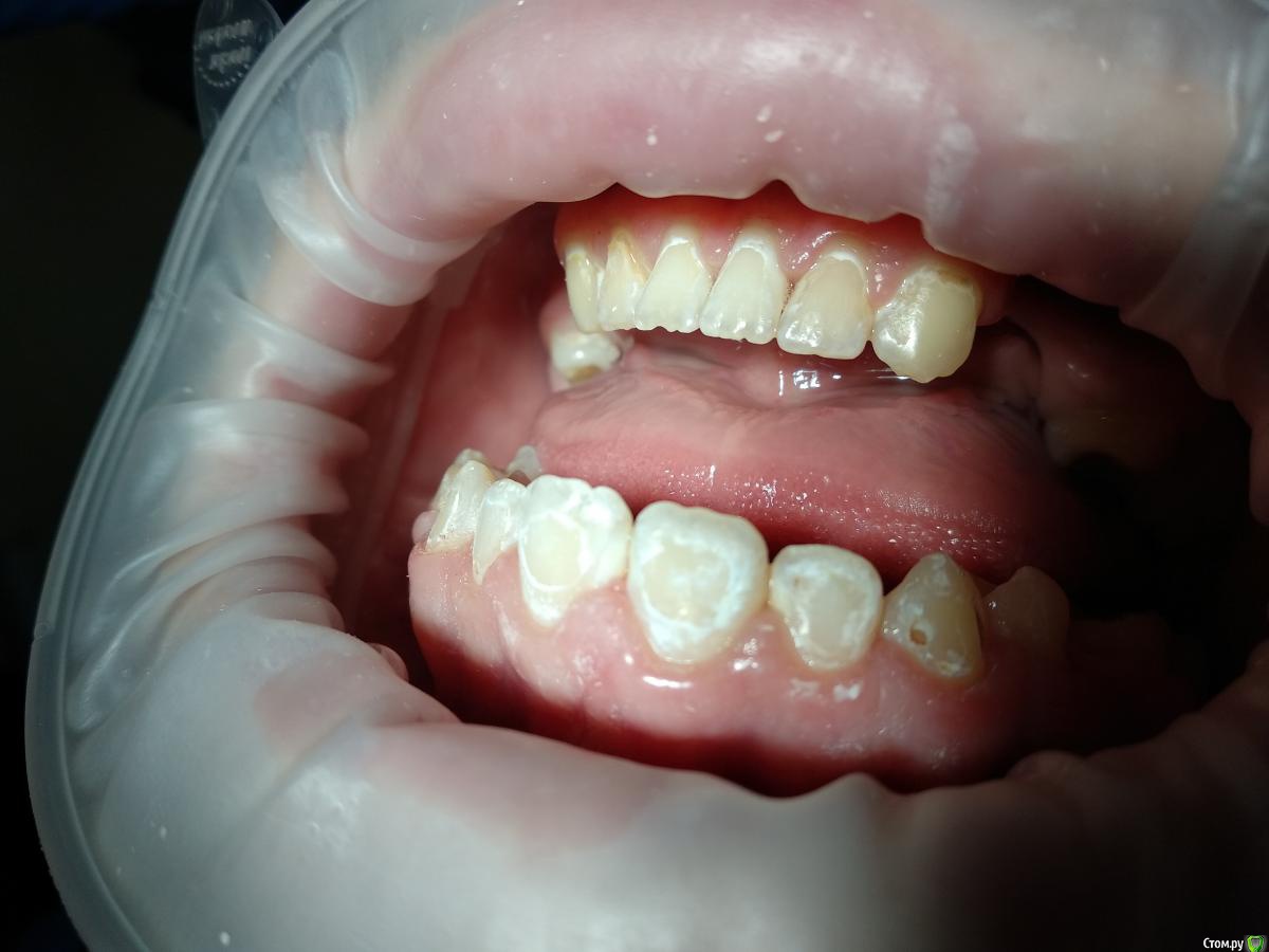
Paganini Опубликовано 13 октября, 2018 Поделиться Опубликовано 13 октября, 2018 (изменено) Приветствую! Помогите помочь пациенту (13 лет). Попросила ортодонта снять брекеты досрочно, потому что с эмалью беда - эмаль скалывается кусками, в местах под брекетами множественные дефекты. При нажатии на эмаль зондом остаются следы. Уверена, что до установки брекетов была уже патология (флюороз или гипоплазия), брекеты всего лишь усугубили ситуацию. С гигиеной тоже все плохо: всегда, когда пациент приходил ко мне на чистку, налета столько, что хоть ложкой снимай... Ставить пломбы? Дефектов очень много, и я думаю, что держаться это будет плохо, эмаль хрупкая. Сейчас комплексно укрепляем эмаль.P.S.: я не детский врач. Я гигиенист и терапевт с небольшим опытом работы. Изменено 13 октября, 2018 пользователем Paganini Ссылка на комментарий
Paganini Опубликовано 13 октября, 2018 Автор Поделиться Опубликовано 13 октября, 2018 Пострадали почти все резцы и клыки, жевательная группа в порядке, но там мало что есть (первичная адентия). Ссылка на комментарий
Дмитрий Л. Опубликовано 14 октября, 2018 Поделиться Опубликовано 14 октября, 2018 Препаровка/пломбировка, или как? Ссылка на комментарий
St. Опубликовано 14 октября, 2018 Поделиться Опубликовано 14 октября, 2018 1. учить чистить, мотивировать и контролировать домашнюю гигиену, без этого толку не будет. если необходимо чаще вызывать на проф.гигиену2. пломбировка где уже есть дефекты эмали.3. рем терапия или возможно айкон где только пятна без дефекта. 1 Ссылка на комментарий
Paganini Опубликовано 27 октября, 2018 Автор Поделиться Опубликовано 27 октября, 2018 Спасибо, так и делаем. Ссылка на комментарий
Рекомендуемые сообщения
Для публикации сообщений создайте учётную запись или авторизуйтесь
Вы должны быть пользователем, чтобы оставить комментарий
Создать аккаунт
Зарегистрируйте новый аккаунт в нашем сообществе. Это очень просто!
Регистрация нового пользователяВойти
Уже есть аккаунт? Войти в систему.
Войти