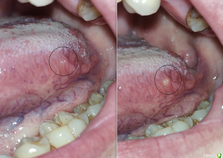
posman Опубликовано 8 октября, 2018 Поделиться Опубликовано 8 октября, 2018 (изменено) Здравствуйте! Просьба проконсультировать касаемо возможной "природы" образований на фото.Наросты выявлены около 10 лет назад при очередном осмотре у ЛОР-врача.Симметричны с двух сторон языка, на левой стороне более выражены. Динамика роста отсутствует, в последние 2 месяца отмечена некоторая болезненностьс левой стороны у корня языка, отдающая в область нижнего 8го зуба и небной дужки(ноющий дискомфорт в т.ч. при употреблении пищи). В ночное время боль отсутствует. За последнюю неделю слева появилось небольшое желтое "включение", м.б. нагноение (видно на фото в динамике). В течении двух месяцев посетил трех лоров, чл-хирурга и двух специалистов по слизистым,выполнено МРТ мягких тканей шеи (без патологий).Фарингоскопия также патологий не выявила, ЧЛХ связал болезненность с 8м зубом, который до конца не прорезалсяи имеет десневой карман. Один специалист по слизистым поставил глоссит, второй коллега указал на вероятную глоссалгию.Касаемо "наростов", мнение стоматологов - физиология и сосочки языка. ЛОРы - лимфоидная ткань язычной миндалины.За время "истории" прошёл противогрибковую терапию (флюкостат), антибиотики не употреблял. бак-посев не выявил патогенной микрофлоры, ОАК месячной давности в пределах нормы. По сути, интересует три момента:1. Природа наростов. Понимаю, что точно может показать только гистология, но хотя бы визуально. 2. Возможная связь дискомфорта с зубом мудрости, карманом или др.неврологической причиной. 3. "Гнойник" на наросте, что делать, как лечить. Фото языка и 8ки, а также снимок ОПТГ прилагаю. Буду признателен за комментарии. Изменено 8 октября, 2018 пользователем posman Ссылка на комментарий
red_butler Опубликовано 9 октября, 2018 Поделиться Опубликовано 9 октября, 2018 1. Природа наростов. это нормальное анатомическое строение 2. Возможная связь дискомфорта с зубом мудрости, карманом или др.неврологической причиной. бросать курить, делать профессиональную гигиену, удалить зуб мудрости, протезироваться и... забить 3. "Гнойник" на наросте, что делать, как лечить. нужно смотреть очно Ссылка на комментарий
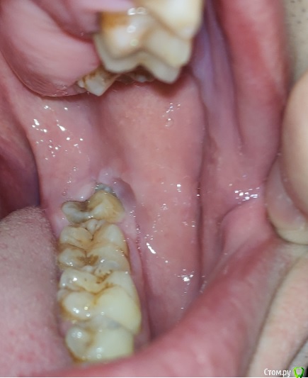
posman Опубликовано 9 октября, 2018 Автор Поделиться Опубликовано 9 октября, 2018 и... забить 10 лет так и делал, пока не возник дискомфорт в этой области. Еще вопрос: что можно сказать по 8ке исходя из снимка ОПТГ? Мнение двух стоматологов разошлись: 1. зуб без кариеса и пока удалять не стоит. Предлагают устранить карман сбоку. Стоит это делать?2. 8ке не хватает места и она давит на рядом стоящий 7й зуб, что может привести к кариесу и потере последнего, т.е. необходимо удаление зуба мудрости. Также уточните пожалуйста, пока не попаду к врачу, стоит ли чем-то обрабатывать воспаление (желтый гнойник сбоку).Появился за пару дней. м.б. пополоскать содой? или по фото совсем не понятно что это? Ссылка на комментарий
red_butler Опубликовано 9 октября, 2018 Поделиться Опубликовано 9 октября, 2018 необходимо удаление зуба мудрости. удалить зуб мудрости или по фото совсем не понятно что это? нужно смотреть очно 1 Ссылка на комментарий
posman Опубликовано 9 октября, 2018 Автор Поделиться Опубликовано 9 октября, 2018 Спасибо за комментарий! нужно смотреть очно м.б. ещё кто-то отметиться... с визитом к врачу пока заминка. Ссылка на комментарий
posman Опубликовано 11 октября, 2018 Автор Поделиться Опубликовано 11 октября, 2018 Доброго времени суток! Уважаемые участники, Просьба оценить фото, что за воспаление желто-белого цвета под слизистой и что можно предпринять, т.к. обратиться к врачу смогу только через неделю.Болевых ощущений не вызывает. Заметил 4 дня назад. Ссылка на комментарий
Рекомендуемые сообщения
Для публикации сообщений создайте учётную запись или авторизуйтесь
Вы должны быть пользователем, чтобы оставить комментарий
Создать аккаунт
Зарегистрируйте новый аккаунт в нашем сообществе. Это очень просто!
Регистрация нового пользователяВойти
Уже есть аккаунт? Войти в систему.
Войти