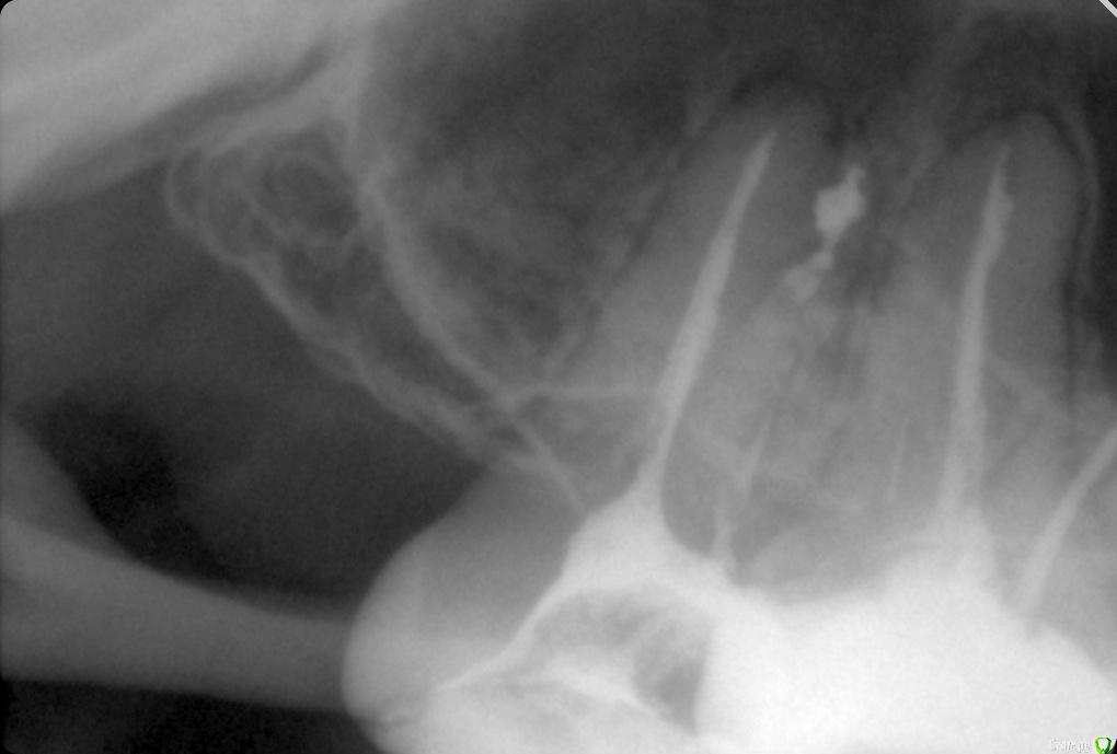
ozbourne87 Опубликовано 5 октября, 2018 Поделиться Опубликовано 5 октября, 2018 Добрый вечер! Подскажите причину боли в зубе(самый последний верхний),второй месяц лечится зуб, кальций закладывали. Пломбировали световой пломбой,потом опять болел зуб, снимали пломбу закладывали что то еще и все равно побаливает. Снимок во вложении-щас в каналах йод с каким то контрастным веществом и временной пломбой Ссылка на комментарий
shishok Опубликовано 6 октября, 2018 Поделиться Опубликовано 6 октября, 2018 А сколько каналов нашли?Мне одной кажется,что медиальный щечный канал пустой? Ссылка на комментарий
ozbourne87 Опубликовано 8 октября, 2018 Автор Поделиться Опубликовано 8 октября, 2018 Два канала нашли Ссылка на комментарий
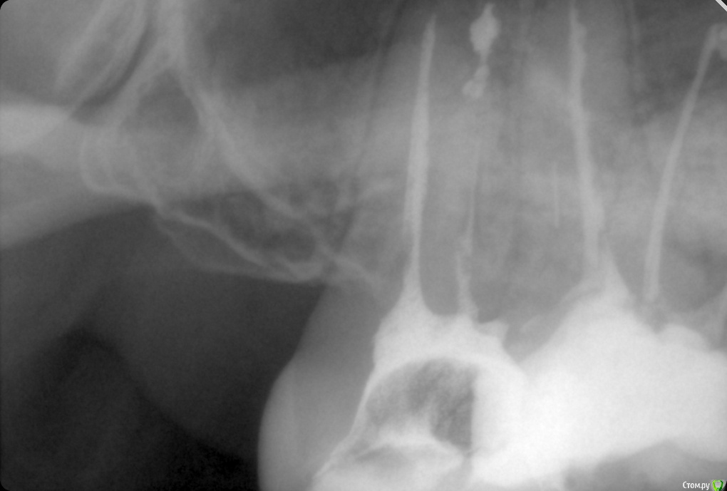
ozbourne87 Опубликовано 8 октября, 2018 Автор Поделиться Опубликовано 8 октября, 2018 Прилагаю ещё пару снимков Ссылка на комментарий
Рекомендуемые сообщения
Для публикации сообщений создайте учётную запись или авторизуйтесь
Вы должны быть пользователем, чтобы оставить комментарий
Создать аккаунт
Зарегистрируйте новый аккаунт в нашем сообществе. Это очень просто!
Регистрация нового пользователяВойти
Уже есть аккаунт? Войти в систему.
Войти