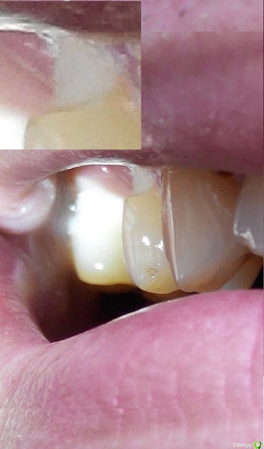
УЛ_Дмитрий Опубликовано 3 октября, 2018 Поделиться Опубликовано 3 октября, 2018 Решил полечить пришеечный кариес.После того как встал с кресла стоматолога, потрогал языком поверхность зубов(лечил два зуба), чувствую что то не то.Посмотрел на зубы в зеркало, вижу ступенька между плоскостью зуба и пломбой(на обоих зубах), пломба посажена глубже.Спрашиваю стоматолога, почему так?Говорит, что так надо, что отваливаются эти пришеечные пломбы, что беспокоиться не о чем.Когда наркоз стал отходить появилась чувствительность(достаточно резко вдохнуть воздух)Пришел к врачу, он говорит нужно удалять нерв. Говорю что не хочу удалять нерв, давайте доопломбируем, он добавил пломбировочного материала, чувствительность сразу снизилась.Только я пришел домой, то что добавили отлетело.Лечил по полюсу в гос.учреждении но за световую пломбу платил.Пломба после отвердения не подтачивалась и не шлифовалась. Спросил почему, врач сказал, пока посмотрим в следующий раз подправим. Люди знающие разъясните пожалуйста:1. Устанавливают ли пломбы не вровень с зубом?2. Устанавливают ли пломбу поверх другой пломбы?3. Допускается ли неэстетичность(пломба не обработана) Ссылка на комментарий
red_butler Опубликовано 3 октября, 2018 Поделиться Опубликовано 3 октября, 2018 Лечил по полюсу в гос.учреждении но за световую пломбу платил. это как? Переделайте у другого доктора 2 Ссылка на комментарий
УЛ_Дмитрий Опубликовано 3 октября, 2018 Автор Поделиться Опубликовано 3 октября, 2018 это как? Переделайте у другого доктора Записался в регистратуре поликлиники.Пришел к врачу, он зуб рассверлил и спрашивает световую или обычную?Обычная химического отверждения, совершенно бесплатно. Световая +800руб.(в руки)Как то так. Ссылка на комментарий
Zlata-doctor Опубликовано 8 октября, 2018 Поделиться Опубликовано 8 октября, 2018 я всегда знала, что деньги на бесплатном приеме ( гарантированном конституцией )-огромное зло. Ссылка на комментарий
annda Опубликовано 8 октября, 2018 Поделиться Опубликовано 8 октября, 2018 Записался в регистратуре поликлиники.Пришел к врачу, он зуб рассверлил и спрашивает световую или обычную?Обычная химического отверждения, совершенно бесплатно. Световая +800руб.(в руки)Как то так.Найдите другого врача и залатите ему официально за работу, а не за кусок композита( себестоимость которого в таком объеме копейки). Вот качественная работа, за которую не стыдно нести ответственность и в результате которой вы не потеряете свой зуб на пустом месте -это совсем другое дело. 1 Ссылка на комментарий
red_butler Опубликовано 9 октября, 2018 Поделиться Опубликовано 9 октября, 2018 Тему можно закрывать? Ссылка на комментарий
УЛ_Дмитрий Опубликовано 9 октября, 2018 Автор Поделиться Опубликовано 9 октября, 2018 Тему можно закрывать?Думаю да.Но допишу немного историю.В общем пошел я к тому же врачу удалять нерв. Он все почистил, поставил временную пломбу.Пломба стала выпадать кусочек за кусочком в тот же день.И пошел я тогда у же на консультацию за деньги.Как выяснилось, в одном канале нерв не удален. Платный врач говорит что если бы так запломбировали(по полюсу бесплатно) то ни чем хорошим это бы не кончилось. Ссылка на комментарий
red_butler Опубликовано 9 октября, 2018 Поделиться Опубликовано 9 октября, 2018 В общем пошел я к тому же врачу удалять нерв. тогда мне не понятна цель ваших вопросов на этом форуме... Ссылка на комментарий
УЛ_Дмитрий Опубликовано 10 октября, 2018 Автор Поделиться Опубликовано 10 октября, 2018 тогда мне не понятна цель ваших вопросов на этом форуме... На вопросы так никто и не ответил. Ссылка на комментарий
___49___ Опубликовано 16 октября, 2018 Поделиться Опубликовано 16 октября, 2018 (изменено) На вопросы так никто и не ответил.Простите а ниже приведенные цитаты не является ответом ? Или может быть вы просто не услышали того, что хотели ? "это как? Переделайте у другого доктора"Найдите другого врача и залатите ему официально за работу, а не за кусок композита( себестоимость которого в таком объеме копейки).Вот качественная работа, за которую не стыдно нести ответственность и в результате которой вы не потеряете свой зуб на пустом месте -это совсем другое дело. Изменено 16 октября, 2018 пользователем ___49___ 1 Ссылка на комментарий
Рекомендуемые сообщения