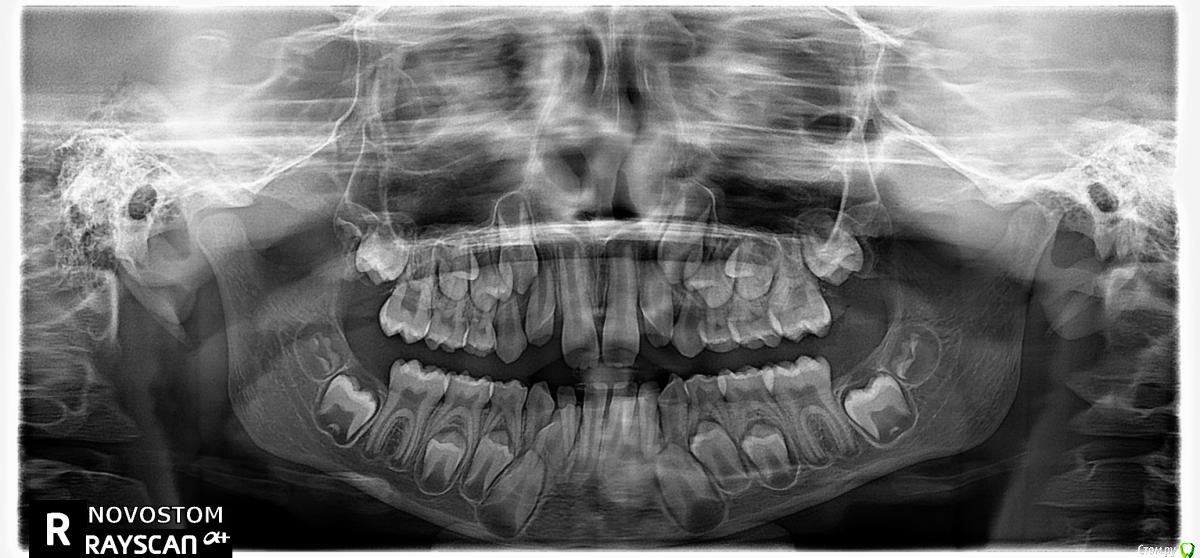
face Опубликовано 28 сентября, 2018 Поделиться Опубликовано 28 сентября, 2018 (изменено) Добрый день. Ребенок 10 лет. Обратились к врачу ортодонту (№1). Сделали снимок Ортопантомограмму, врач расшифровал и дал рекомендацию по подрезке уздечки, затем брекеты. Мы решили обратиться к другому специалисту (№2) спустя месяц, в то же время у ребенка появился на нижней челюсти зуб непонятного происхождения ( все снимки будут ниже, на снимке этот зуб обведен черным кружочком). Этот же специалист (№2), призвав еще одного стоматолога на помощь ( типа, может, заработался), а тот подтвердил, что снимок не соответсвует тому, что во рту у ребенка- зуб пробивается слева, а слева на снимке нет зачатка молочного зуба. В итоге решение специалиста №2: пока ничего не удалять, резать уздечку вообще нет смысла, сделать КТ зачатков зубов 32? и 42 (дали направление) и в дальнешем изготовление съемного LM-активатора для исправления прикуса.Хотелось бы еще мнений специалистов по снимкам. Т.к. когда мы вернулись уточнить по снимку в клинку, где делали ортопантомограмму нам ответили, что у них с аппаратом все нормально ошибок быть не может. Изменено 28 сентября, 2018 пользователем face Ссылка на комментарий
face Опубликовано 28 сентября, 2018 Автор Поделиться Опубликовано 28 сентября, 2018 еще фото Ссылка на комментарий
face Опубликовано 28 сентября, 2018 Автор Поделиться Опубликовано 28 сентября, 2018 Дополнительный вопрос- реально ли все это исправить мягкими брекетами. И еще хотелось бы узнать какая доза излучения от КТ на два зуба. Ссылка на комментарий
Рекомендуемые сообщения
Для публикации сообщений создайте учётную запись или авторизуйтесь
Вы должны быть пользователем, чтобы оставить комментарий
Создать аккаунт
Зарегистрируйте новый аккаунт в нашем сообществе. Это очень просто!
Регистрация нового пользователяВойти
Уже есть аккаунт? Войти в систему.
Войти