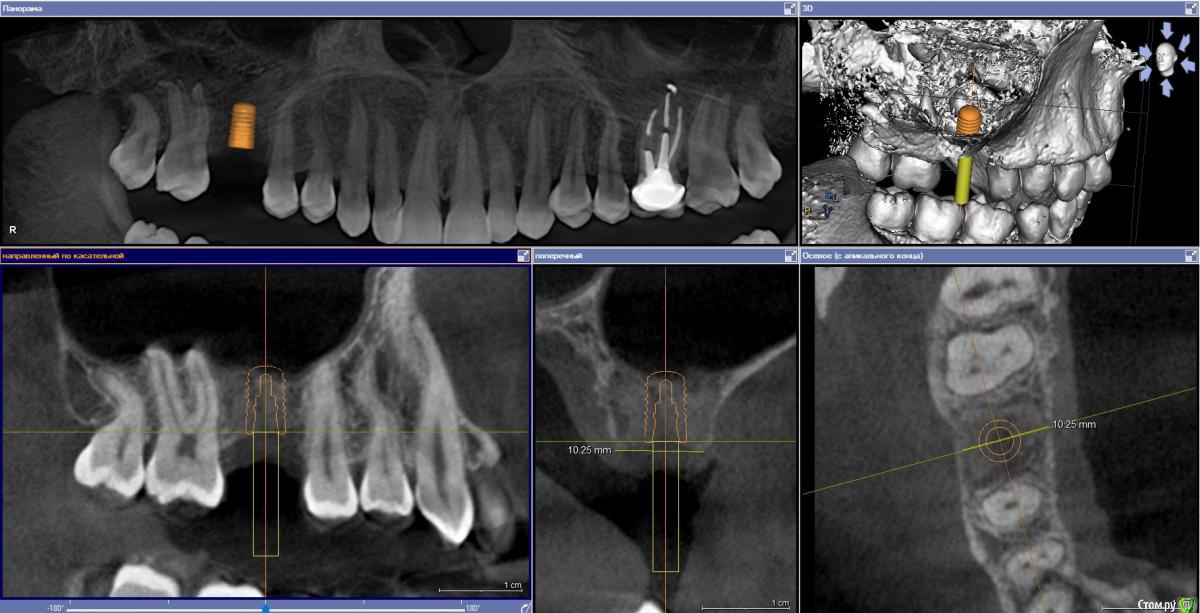
Ponchik Опубликовано 27 сентября, 2018 Поделиться Опубликовано 27 сентября, 2018 (изменено) Планируется Штрауманн Бон Левел 4.8-8 в области 1.6. Думаю дойти до 6,5 и далее стукнуть пару раз. Вкрутить и забыть. На 3-4 месяца. Это же не лень? Правда? Да и дно там не ровное, отслойка может запороться... Изменено 27 сентября, 2018 пользователем Ponchik Ссылка на комментарий
Bier Опубликовано 27 сентября, 2018 Поделиться Опубликовано 27 сентября, 2018 я бы стукнул 3 Ссылка на комментарий
red_butler Опубликовано 27 сентября, 2018 Поделиться Опубликовано 27 сентября, 2018 я бы стукнул+ 1 Ссылка на комментарий
Kostoprav Опубликовано 27 сентября, 2018 Поделиться Опубликовано 27 сентября, 2018 бикортикально тоже можно Ссылка на комментарий
Nazim_NV86 Опубликовано 27 сентября, 2018 Поделиться Опубликовано 27 сентября, 2018 Измерение высоты не вижуПоэтому не понятно 6.5 до куды будет Ссылка на комментарий
Doc Опубликовано 27 сентября, 2018 Поделиться Опубликовано 27 сентября, 2018 Вот ведь злобная хирургическая братия! Вам лишь бы стукнуть! Ссылка на комментарий
Дмитрий Л. Опубликовано 27 сентября, 2018 Поделиться Опубликовано 27 сентября, 2018 А как на счет коротышек штраумановских? Ссылка на комментарий
Ponchik Опубликовано 27 сентября, 2018 Автор Поделиться Опубликовано 27 сентября, 2018 Измерение высоты не вижу Дык имплантат 8 мм. А как на счет коротышек штраумановских? Мне ортопед одиночки по 6 мм не советует ставить. Вот ведь злобная хирургическая братия! Вам лишь бы стукнуть! ТОЧНО!!! Всё остальное предлог!!! 1 Ссылка на комментарий
Ponchik Опубликовано 27 сентября, 2018 Автор Поделиться Опубликовано 27 сентября, 2018 (изменено) бикортикально тоже можно Крутить пока не вкрутишь? Продавить имплантом? Я раз Штрауманом пробовал, он у меня уперся своим тупым концом в кортикалку и вращался на месте. Перемолол всю кость. (Я еще от великого ума (перепуга) умудрился крутить на реверсе вначале, хотя физик орал) Я его достал. Стукнул остеотомом и пальцами засунул обратно. Но правда прижился хорошо. Формик 35+ Нсм Изменено 27 сентября, 2018 пользователем Ponchik Ссылка на комментарий
Kostoprav Опубликовано 27 сентября, 2018 Поделиться Опубликовано 27 сентября, 2018 Крутить пока не вкрутишь? Продавить имплантом? Я раз Штрауманом пробовал, он у меня уперся своим тупым концом в кортикалку и вращался на месте. Перемолол всю кость. (Я еще от великого ума (перепуга) умудрился крутить на реверсе вначале, хотя физик орал) Я его достал. Стукнул остеотомом и пальцами засунул обратно. Но правда прижился хорошо. Формик 35+ Нсмвначале просверлить вначале просверлить первыми размеравми сверел (синим и желтым) при этом слегка перфорируя кортикальную пластинку, затем последующими уже не выводя их в пазуху и вкрутить импл Ссылка на комментарий
Irouil Опубликовано 27 сентября, 2018 Поделиться Опубликовано 27 сентября, 2018 Имхо стукнуть один раз и делов то. Если на 1 мм остеотом будет уже имплантата, считайте бикортикально Ссылка на комментарий
Saiduev Опубликовано 28 сентября, 2018 Поделиться Опубликовано 28 сентября, 2018 Бикортикально получаем более высокий торк. Раньше стучал, сейчас только бикортикально в таких случаях. Главное правильно рассчитать отвестие на дне синуса, чтоб имплант концом заклинил. А недосверлишь то будет молоть кость. Ссылка на комментарий
Рекомендуемые сообщения
Для публикации сообщений создайте учётную запись или авторизуйтесь
Вы должны быть пользователем, чтобы оставить комментарий
Создать аккаунт
Зарегистрируйте новый аккаунт в нашем сообществе. Это очень просто!
Регистрация нового пользователяВойти
Уже есть аккаунт? Войти в систему.
Войти