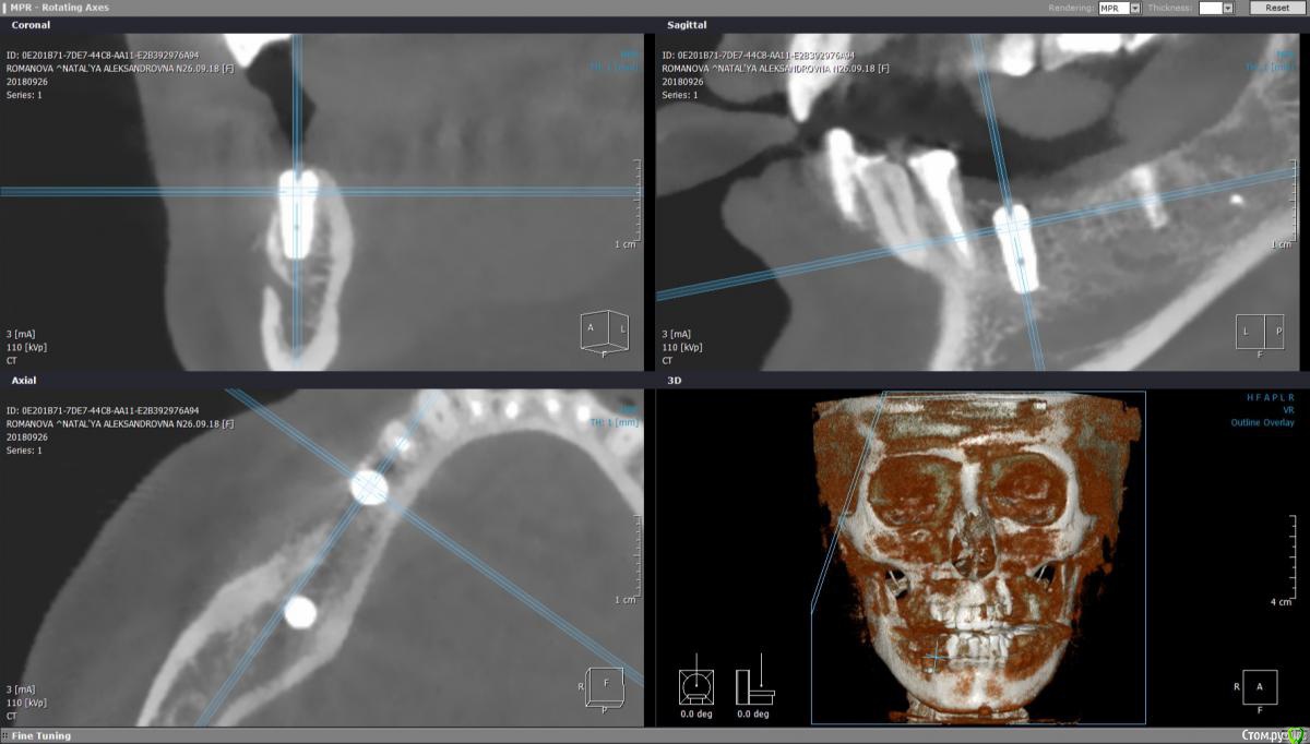
StomV Опубликовано 27 сентября, 2018 Поделиться Опубликовано 27 сентября, 2018 Всех приветствую, подскажите, как бы вы поступили в данной ситуации, все видно на КЛКт собственно, биотип десны тонкий, Варианты: 1.Сделать ССТ.2.Сделать повторно пластику + в дальнейшем сст. ? Пациент не мой достался от предыдущего дока, который уже не работает. Ссылка на комментарий
red_butler Опубликовано 27 сентября, 2018 Поделиться Опубликовано 27 сентября, 2018 Сделать ССТ. 2 Ссылка на комментарий
Bier Опубликовано 27 сентября, 2018 Поделиться Опубликовано 27 сентября, 2018 сст 2 Ссылка на комментарий
Рекомендуемые сообщения
Для публикации сообщений создайте учётную запись или авторизуйтесь
Вы должны быть пользователем, чтобы оставить комментарий
Создать аккаунт
Зарегистрируйте новый аккаунт в нашем сообществе. Это очень просто!
Регистрация нового пользователяВойти
Уже есть аккаунт? Войти в систему.
Войти