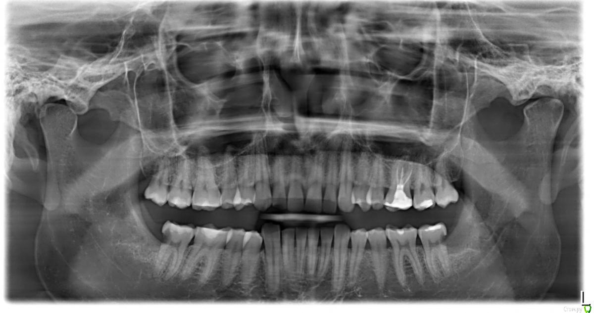
zwz443 Опубликовано 26 сентября, 2018 Поделиться Опубликовано 26 сентября, 2018 (изменено) Здравствуйте подскажите пожалуйста, ,случилась такая проблема, которая не имеет алгоритма появления в целом.Первый раз ел хлеб,и резкая тянущая боль в правой стороне челюсти(словно камень был в хлебе),которая прошла через 5 минут.Следующие разы возникает спонтанно и не всегда, при жевании..или замечал, когда выпить газировку,или съесть сосательные конфеты.Если ничего не есть, боли не происходит, она больше возникает когда происходит полноценное жевание( когда широко раскрывается рот) .Долго не мог понять какой зуб беспокоит,бывает так что отдаёт и в верхний ряд и в целом в правую челюсть.. но с утра часто языком, ощушения на 36 зубе(который справа, 8 удалена, за ним идёт зуб (37) а за ним следующий(36)если я правильно понял),язык упирается в бок зубу и происходит осушение некого холодка.Снимок прикрепил, недавно удалял 8 с другой стороны и сказал доктору об этом, он сказал , что кариеса нету и возможно это происходит из за прикуса ,Который у меня не правильный,но по утрам зуб тоже чувствуется ,когда всю ночь не ел .Осушение что зуб , беспокоит какой то фактор ,после которого он может среагировать на горячие или на слюну.Простите,если так много слов,просто это трудно описать,ни разу с таким ещё не сталкивался. Изменено 26 сентября, 2018 пользователем zwz443 Ссылка на комментарий
red_butler Опубликовано 26 сентября, 2018 Поделиться Опубликовано 26 сентября, 2018 Пульпить обоих седьмых зубов на нижней челюсти Ссылка на комментарий
zwz443 Опубликовано 26 сентября, 2018 Автор Поделиться Опубликовано 26 сентября, 2018 (изменено) Пульпить обоих седьмых зубов на нижней челюстиА его можно обнаружить без рентгена? при осмотре он сложно обнаруживаем? . Потому что мне , смотрело 3 разных стоматолога за последние неделю , и неужели ни один не смог заметить а почему на левой стороне нет никаких ошушений? удалили 3 недели назад. Изменено 26 сентября, 2018 пользователем zwz443 Ссылка на комментарий
red_butler Опубликовано 26 сентября, 2018 Поделиться Опубликовано 26 сентября, 2018 А его можно обнаружить без рентгена? можно при осмотре он сложно обнаруживаем? всяко бывает а почему на левой стороне нет никаких ошушений? это временно... Ссылка на комментарий
zwz443 Опубликовано 26 сентября, 2018 Автор Поделиться Опубликовано 26 сентября, 2018 можно всяко бывает это временно... Понял,спасибо большое.Ещё будьте добры,подскажите , у меня снимок на почте.Мне прежде чем пойти к врачу, можно распечатать или, всё таки взять с клиники именно рентгеновский снимок? Ссылка на комментарий
red_butler Опубликовано 26 сентября, 2018 Поделиться Опубликовано 26 сентября, 2018 всё таки взять с клиники именно рентгеновский снимок? это как? Ссылка на комментарий
zwz443 Опубликовано 26 сентября, 2018 Автор Поделиться Опубликовано 26 сентября, 2018 (изменено) это как?имел ввиду физический снимок, у меня только электронный есть на почте не на диске. Что бы удобно врачу смотреть,или с телефона будет достаточно показать Изменено 26 сентября, 2018 пользователем zwz443 Ссылка на комментарий
red_butler Опубликовано 26 сентября, 2018 Поделиться Опубликовано 26 сентября, 2018 имел ввиду физический снимок, у меня только электронный есть на почте не на дискеВы делали ОПГ на цифровом аппарате, снимок или в графическом формате или напечатанный, пленки нет Ссылка на комментарий
red_butler Опубликовано 26 сентября, 2018 Поделиться Опубликовано 26 сентября, 2018 Распечатайте снимок на фотопринтере, это самый простой вариант Ссылка на комментарий
zwz443 Опубликовано 26 сентября, 2018 Автор Поделиться Опубликовано 26 сентября, 2018 Распечатайте снимок на фотопринтере, это самый простой варианта, извините я просто не разбираюсь в этом.Спасибо за помощь. Ссылка на комментарий
red_butler Опубликовано 26 сентября, 2018 Поделиться Опубликовано 26 сентября, 2018 а, извините я просто не разбираюсь в этом.Спасибо за помощь.не за что, ищите "своего" врача Ссылка на комментарий
Рекомендуемые сообщения
Для публикации сообщений создайте учётную запись или авторизуйтесь
Вы должны быть пользователем, чтобы оставить комментарий
Создать аккаунт
Зарегистрируйте новый аккаунт в нашем сообществе. Это очень просто!
Регистрация нового пользователяВойти
Уже есть аккаунт? Войти в систему.
Войти