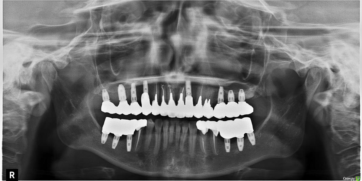
rus-fly Опубликовано 25 сентября, 2018 Поделиться Опубликовано 25 сентября, 2018 Завствуйте. Мне 36 лет. После долгого отсутствия большого количества зубов, мне было проведено тотальное протезирование на имплантатах и частично на своих зубах. Два раза в жевательной зоне переделывали конструкции протезов. После 1го протезирования был дискомфорт, ощущение, что прикус занизили и нижняя челюсть съезжала назад. Переделали, вроде бы этот момент ушел, но на нижней челюсти стала уходить костная ткань и десна, появились пробелы между десной и конструкцией и постоянно воспаленные десны. В июле этого года, опять переделали нижние конструкции, уплотнили соединение. На данный момент, справа болит челюстной сустав. При накусывании больно, щелкает, отдает в ухо. В спокойном состоянии нет смыкания с правой стороны. Когда полностью смыкаю, ощущение напряжения в челюсти с правой стороны. Жую только левой. Прикладываю снимок. Хотелось бы услышать мнение специалистов по моему случаю. И еще вопрос, если прикус выставлен не правильно, видно ли это по снимку? Буду очень благодарна за ответы. Ссылка на комментарий
red_butler Опубликовано 25 сентября, 2018 Поделиться Опубликовано 25 сентября, 2018 если прикус выставлен не правильно, видно ли это по снимку? \нет Ссылка на комментарий
Saymon Опубликовано 25 сентября, 2018 Поделиться Опубликовано 25 сентября, 2018 Для полноценного ответа нужно пальпировать мышцы, смотреть как в полости рта смыкаются зубы, снимать оттиски верхней и нижней челюсти и так далее. Короче нужна полноценная диагностика. Рекомендую сразу искать врача ортопеда - гнатолога, либо ортопеда, который практикует проблемы с суставом - для экономии Вашего времени. Ссылка на комментарий
rus-fly Опубликовано 26 сентября, 2018 Автор Поделиться Опубликовано 26 сентября, 2018 Спасибо, что откликнулись. Не могли бы посоветовать таких специалистов в Санкт-Петербурге или в Москве. Так как живу очень далеко (Петропавловск-Камчатский), нет возможности лично ходить на консультации и выбирать, приходится предварительно, удаленно общатся с врачами. Читая информацию в интернете,определится не смогла. Положительных отзывов и рекомендаций, крайне мало. Поняла, что это большая проблема, люди годами ищут врачей, которые могли бы им помочь. Хотелось бы найти, действительно грамотного, небезразличного специалиста и сделать все возможное, чтобы наконец-то исправить, то что сделали не корректно. Заранее благодарю. Ссылка на комментарий
Рекомендуемые сообщения
Для публикации сообщений создайте учётную запись или авторизуйтесь
Вы должны быть пользователем, чтобы оставить комментарий
Создать аккаунт
Зарегистрируйте новый аккаунт в нашем сообществе. Это очень просто!
Регистрация нового пользователяВойти
Уже есть аккаунт? Войти в систему.
Войти