Kema Опубликовано 24 сентября, 2018 Поделиться Опубликовано 24 сентября, 2018 Здравствуйте, уважаемые профессионалы. Подскажите пожалуйста, нужна ли мне ортогнатическая операция? Ссылка на комментарий
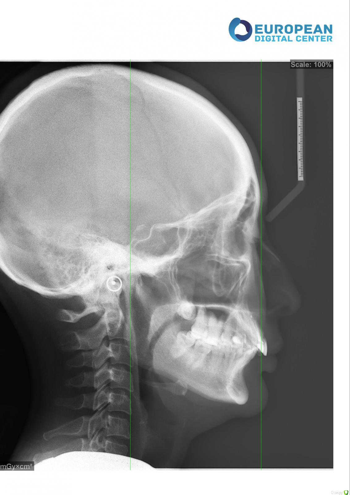
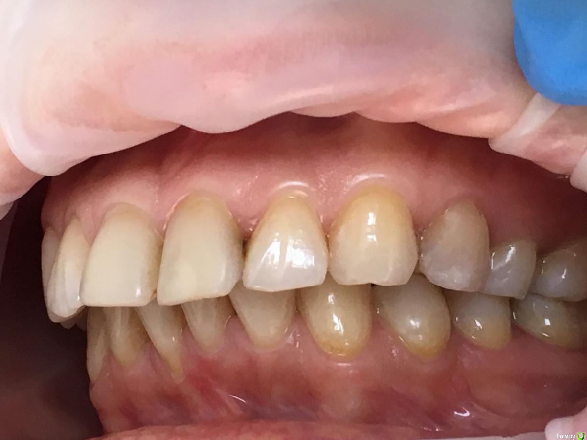
Kema Опубликовано 24 сентября, 2018 Автор Поделиться Опубликовано 24 сентября, 2018 Ещё фото Ссылка на комментарий
Kema Опубликовано 24 сентября, 2018 Автор Поделиться Опубликовано 24 сентября, 2018 Ещё фото Ссылка на комментарий
Kazankov.Egor Опубликовано 24 сентября, 2018 Поделиться Опубликовано 24 сентября, 2018 Цель лечения? Ссылка на комментарий
Kema Опубликовано 25 сентября, 2018 Автор Поделиться Опубликовано 25 сентября, 2018 Хочу улучшить эстетический вид.Лет 15 назад носила брекеты только на нижней челюсти. Через 1.5 года сняла так как не было результата. На верхнюю челюсть ортодонт ставить не спешил, говорил внизу надо расправить скученность. Ещё говорил, что у меня нижняя челюсть недоразвита. Ссылка на комментарий
Kema Опубликовано 25 сентября, 2018 Автор Поделиться Опубликовано 25 сентября, 2018 У меня нет нижней правой шестёрки. Правая восьмёрка подвинула семёрку, семёрка наклонилась. Левая ретинированная восьмёрка удалена. На правой стороне жевать неудобно. Ещё верхние зубы наклонились вперёд. Начитавшись про ортогнатические операции хотела узнать показана ли мне она. Ссылка на комментарий
Kema Опубликовано 25 сентября, 2018 Автор Поделиться Опубликовано 25 сентября, 2018 Прикрепляю ещё фотку лица. Ссылка на комментарий
Kema Опубликовано 25 сентября, 2018 Автор Поделиться Опубликовано 25 сентября, 2018 Прикрепляю ещё фотку лица. Ссылка на комментарий
Рекомендуемые сообщения
Для публикации сообщений создайте учётную запись или авторизуйтесь
Вы должны быть пользователем, чтобы оставить комментарий
Создать аккаунт
Зарегистрируйте новый аккаунт в нашем сообществе. Это очень просто!
Регистрация нового пользователяВойти
Уже есть аккаунт? Войти в систему.
Войти