Tesh Опубликовано 21 сентября, 2018 Поделиться Опубликовано 21 сентября, 2018 (изменено) Доброго времени суток! Столкнулась с такой проблемой: В конце июля этого года, находясь в другом городе, заболела острым фарингитом. Через два дня, во время вечерней чистки зубов, появился гнилостный запах и кровь со стороны зубов верхней челюсти слева (5-6-7 зубы), после чего начались ноющие боли и сладкий привкус во рту вытекающей жидкости из данной области (предположила, что гной). После посещения стоматологии, на следующий день, врачи не нашли проблем со стороны данных зубов и предположили гайморит. В течении последующих двух недель, мне исключили (по ренг. снимку) гайморит и посоветовали идти к стоматологу, который в свою очередь также не нашел видимых причин моих проблем, но предположил, что дело в дистопированноми и ретенированном зубе мудрости, после чего его удалил (резал десну, пилил кость). Заживление проходило быстро, принимала антибиотики и делала ванночки. На 5-й день после удаления снова появились ноющие ощущения. С момента удаления прошел месяц, после этого у меня усилились ноющие боли в стороне тех зубов, появилось чувство давления при наклоне головы вперед-назад, и появилось чувство жжения в тканях чуть выше места удаления, все так же чего-то текло со стороны тех зубов и все это дело сопровождается температурой тела 37.1 в среднем. Со всей этой историей я обращалась к хирургу, который удалял зуб, в челюстно-лицевой госпиталь и в одну клинику. Но врачи не могут установить точную причину подобного дискомфорта. Хирург предположил пульпит 6ки и невралгию тройничного нерва, а челюстно-лицевой и клиника: процесс заживление костной ткани после удаления. В клинике также уточнили, что если не пройдет спустя 3-4 месяца следует делать пластику гайморовых пазух (Оо). Сейчас ничего не течет, но так же ноет. Больше беспокоит вопрос, а что если идет воспалительный процесс и чем дольше я жду, тем.. и думать страшно. Чего делать-та? Изменено 21 сентября, 2018 пользователем Tesh Ссылка на комментарий
kramer Опубликовано 21 сентября, 2018 Поделиться Опубликовано 21 сентября, 2018 Так справа или слева? Ссылка на комментарий
Tesh Опубликовано 21 сентября, 2018 Автор Поделиться Опубликовано 21 сентября, 2018 Так справа или слева?Слеееева, прошу прощения(( Ссылка на комментарий
kramer Опубликовано 21 сентября, 2018 Поделиться Опубликовано 21 сентября, 2018 Дайте КТ целиком Ссылка на комментарий
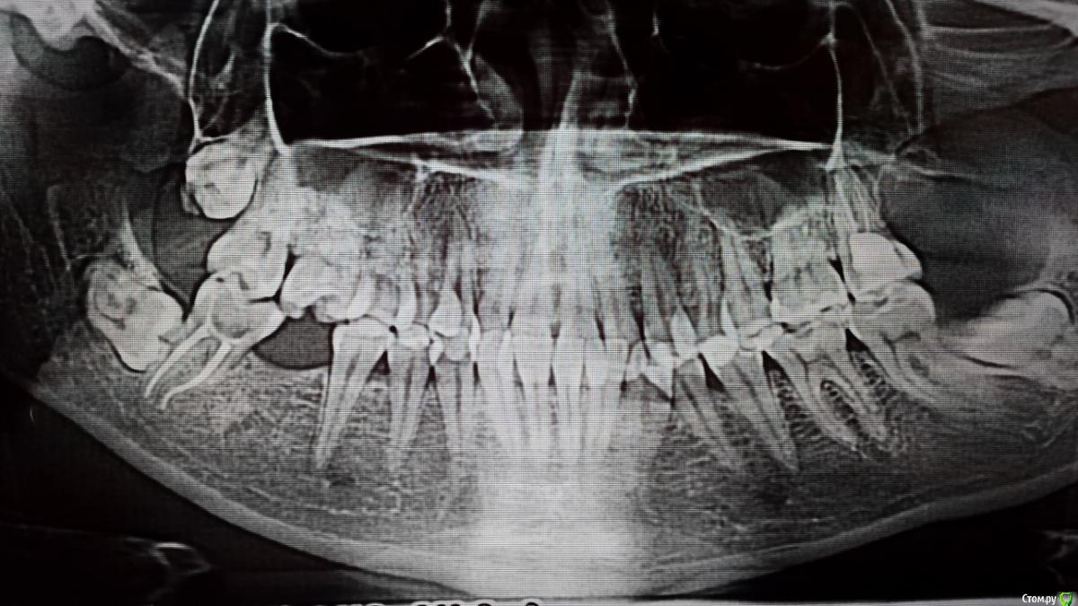
Tesh Опубликовано 13 декабря, 2018 Автор Поделиться Опубликовано 13 декабря, 2018 Всем доброго вечера!По рекомендациям доктора прошла всех специалистов (ЛОР, невролог, другие стоматологи), для исключения гайморита, камней, неврологии, пульпита. К сожалению, причин так и не нашли и ситуация остается острой, периодически боли усиливаются(Поэтому, уважаемые Доктора, прошу еще раз вглянуть на последний панорамный снимок, может все-таки кто-то увидит что-то.. (в конце снимка меня ударило по голове частью аппарата, поэтому смазано Ссылка на комментарий
DmitrySH Опубликовано 13 декабря, 2018 Поделиться Опубликовано 13 декабря, 2018 1. На КТ надо нормально посмотреть зуб 27. По этим снимкам мне он не очень нравится2. Убрать 38 Ссылка на комментарий
Tesh Опубликовано 30 января, 2019 Автор Поделиться Опубликовано 30 января, 2019 Ссылка на КТ:https://drive.google.com/file/d/1bjdRAtYwsW0Rh3z1XAJuYumeF1-fvTwe/view?usp=sharing Ссылка на комментарий
Рекомендуемые сообщения
Для публикации сообщений создайте учётную запись или авторизуйтесь
Вы должны быть пользователем, чтобы оставить комментарий
Создать аккаунт
Зарегистрируйте новый аккаунт в нашем сообществе. Это очень просто!
Регистрация нового пользователяВойти
Уже есть аккаунт? Войти в систему.
Войти