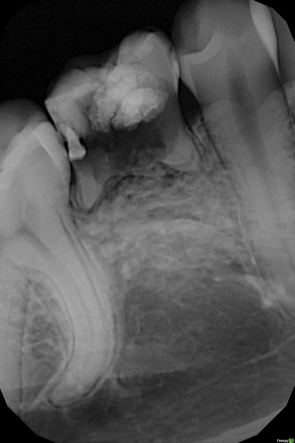
Дарья Буева Опубликовано 21 сентября, 2018 Поделиться Опубликовано 21 сентября, 2018 (изменено) Здравствуйте! Мне 21 год. Первый раз лечила зубы у стоматолога в 18 лет, ставили пломбу на сегодняшний проблемный зуб. Спустя год -два появилась щель между десной и зубом. Особого дискомфорта не было. Никак не мешалось. И на днях откололся кусочек зуба у десны, была кровь. На следующий день, врач спилил стенку зуба с отколом, копался в зубу , сказал что весь сгнил, а десна заросла.Начал прижигать десну, чтобы ЧТО -ТО УВИДЕТЬ. не смог, крови много,не видит, отправил на ренген ( что я считаю нужно было делать изначально), поставил временную пломбу . К нему я больше не возвращалась. Пошла в клинику.Снимок показал, что это молочный зуб и зачатка ниже нет. Далее предложение удалять зуб и ставить имплант, либо мост. Другой врач с Челябинска сказал только имплант (удаление зуба и ждать пол года заживления)Подскажите пожалуйста , какой лучше вариант для моего несчастного зуба. И возможны ли последствия для других зубов.Большое спасибо заранее. Изменено 21 сентября, 2018 пользователем Дарья Буева Ссылка на комментарий
dok1 Опубликовано 21 сентября, 2018 Поделиться Опубликовано 21 сентября, 2018 Удалить. Одномоментно имплант. 5 Ссылка на комментарий
Бендер Опубликовано 22 сентября, 2018 Поделиться Опубликовано 22 сентября, 2018 Имплантация была ниспослана самими богами для решения вашей проблемы 1 Ссылка на комментарий
Jurai Опубликовано 22 сентября, 2018 Поделиться Опубликовано 22 сентября, 2018 (изменено) а зачем ждать? удалить и сразу имплантат, условия прекрасные. Мост не надо, пожалейте ни в чем не виноватые соседние зубы. при имплантации они не затрагиваются. Изменено 22 сентября, 2018 пользователем Jurai 1 Ссылка на комментарий
Рекомендуемые сообщения
Для публикации сообщений создайте учётную запись или авторизуйтесь
Вы должны быть пользователем, чтобы оставить комментарий
Создать аккаунт
Зарегистрируйте новый аккаунт в нашем сообществе. Это очень просто!
Регистрация нового пользователяВойти
Уже есть аккаунт? Войти в систему.
Войти