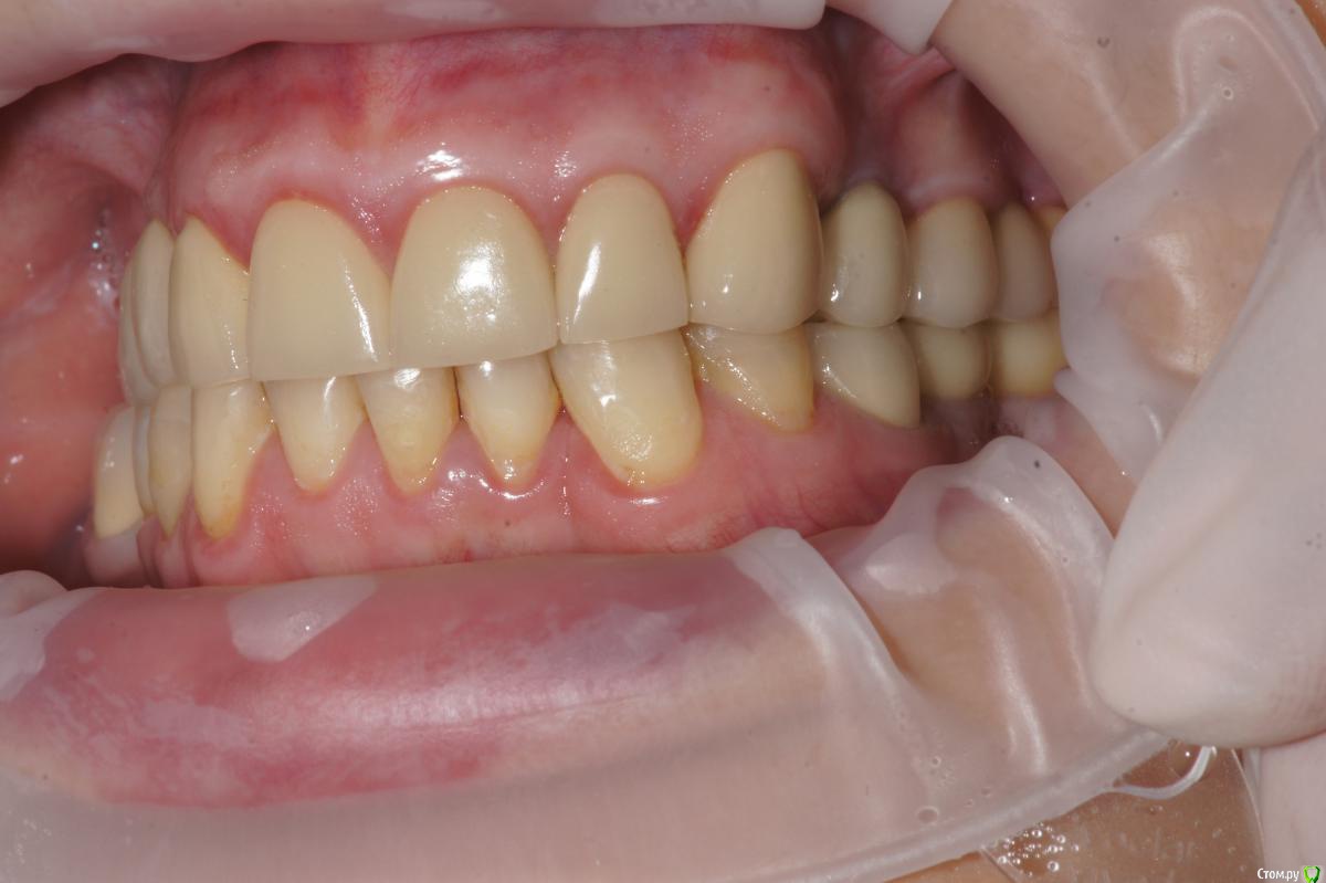
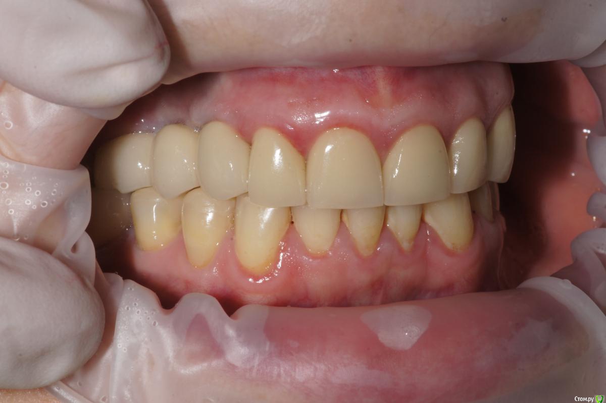
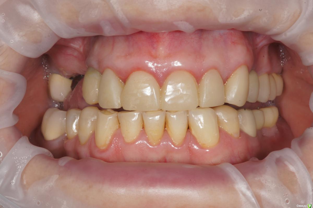
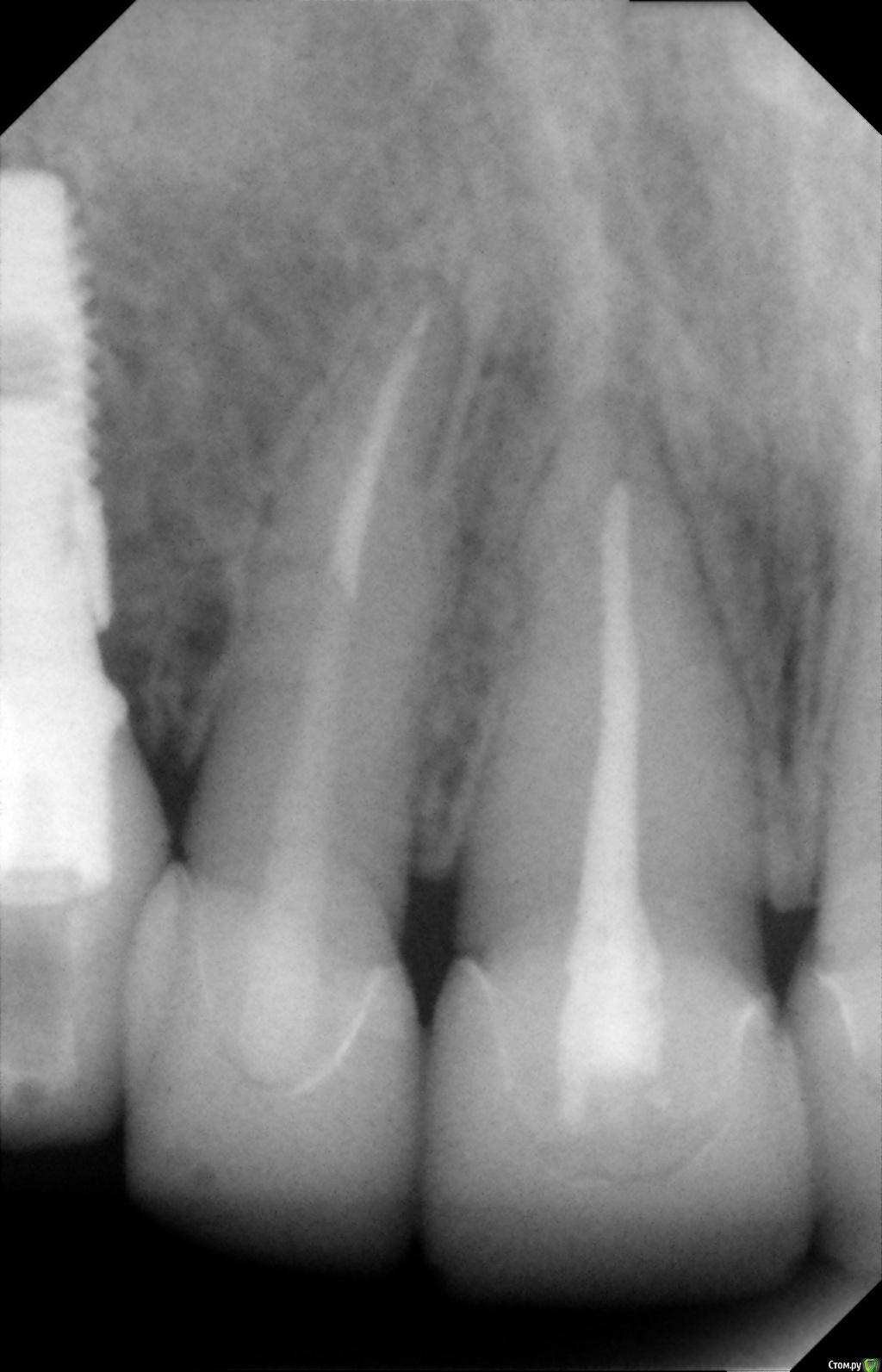
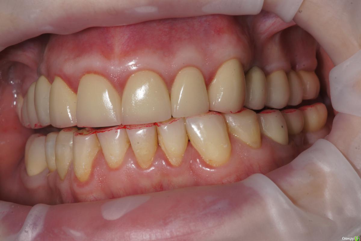
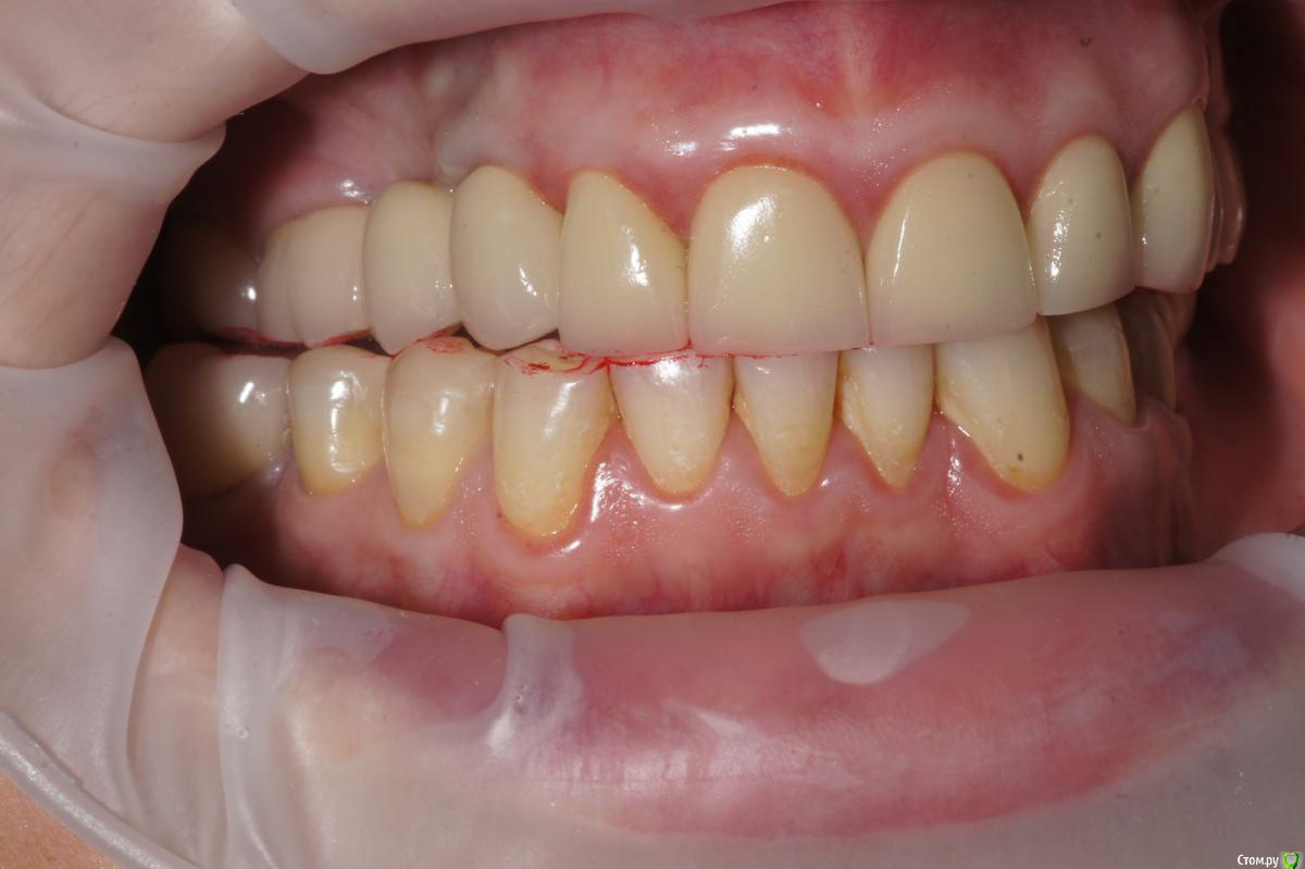
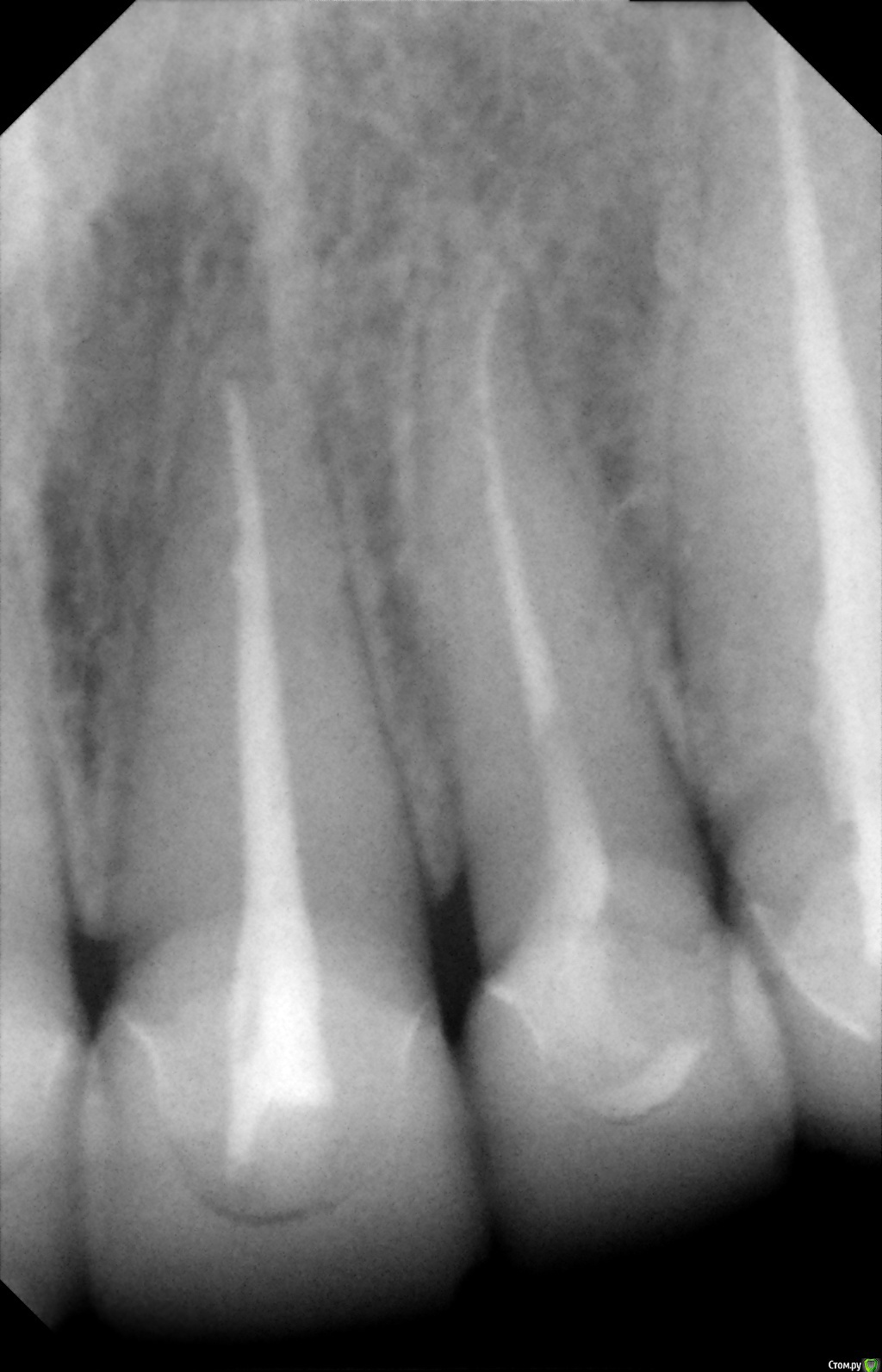
Alexandr_doc Опубликовано 21 сентября, 2018 Поделиться Опубликовано 21 сентября, 2018 Доброго всем времени! Пациентку протезировал доктор, которого уволили по ряду причин, обратилась ко мне на этапе после протезирования с жалобами на болезненность в области фронтальной группы зубов 1.2, 1.1, 2.1, 2.2, 2.3 при дотрагивании языком или пальцем. Перкуссия положительная как в вертикальном так и горизонтальном направлении. Установлены одиночные керамические коронки на каркасе из диоксида циркона. Отек, покраснение в области переходной складки отсутствует, также отсутствует болезненность при пальпации. Подвижность 1 степени. Прилагаю фотографии на этапе обращения. Ранее, на этапе протезирования было принято решение о депульпировании фронтальной группы тк присутствовала пульпитная симптоматика, после чего состояние улучшилось и остается стабильным по сей день. Предположил несколько причин оставшейся симптоматики: 1) несостоятельно проведенное эндо лечение - вариант отмел тк по прицельным снимкам и кт отсутсвуют очаги воспалительных процессов 2) некорректно изготовленные искуственные коронки ( глубокая поддесневая препаровка и агрессивный контур коронки ) 3) - окклюзионная перегрузка. Совместно с пацинеткой принято решение о снятии коронок во фронтальном отделе, была предупреждена о том, что возможно не получить хорошей динамики. С переменным успехом картина после нескольких корректировок временных коронок остается преждней. Болезненность на прежднем уровне, плюс по ходу наблюдения пришлось снять мост с опорой на уровне имплантатов, тк имели место быть воспалительные процессы в проекции имплантата 1.5. С удовольствием отвечу на все вопросы и приму любую критику. Ссылка на комментарий
kramer Опубликовано 21 сентября, 2018 Поделиться Опубликовано 21 сентября, 2018 Здесь, кажется, клыковое ведение полностью отсутствует. Я бы сделал новый ваксап в артикуляторе и передал с его учётом временные коронки Ссылка на комментарий
Alexandr_doc Опубликовано 21 сентября, 2018 Автор Поделиться Опубликовано 21 сентября, 2018 (изменено) Спасибо, как вариант решения проблемы рассматривали такой путь, После создания клыкового пути боли усиливались, что и заставило вернуть картину почти в исходное состояние. Может конечно стоило выждать больше, чем пару дней Изменено 21 сентября, 2018 пользователем Alexandr_doc Ссылка на комментарий
Dman Опубликовано 21 сентября, 2018 Поделиться Опубликовано 21 сентября, 2018 Депрограммация, фиксация цс, инструментально-окклюзионный анализ. Ссылка на комментарий
Alexandr_doc Опубликовано 21 сентября, 2018 Автор Поделиться Опубликовано 21 сентября, 2018 Благодарю, работа гипсовалась в цс и проверялась на предмет локальной перегрузки. Ссылка на комментарий
kramer Опубликовано 21 сентября, 2018 Поделиться Опубликовано 21 сентября, 2018 (изменено) Благодарю, работа гипсовалась в цс и проверялась на предмет локальной перегрузки. А сколько времени прошло между установкой коронок, появлением болей и обращением к вам? Изменено 21 сентября, 2018 пользователем kramer Ссылка на комментарий
Corsag21 Опубликовано 21 сентября, 2018 Поделиться Опубликовано 21 сентября, 2018 (изменено) Точно ли на кт нет изменений на корнях зубов? Мне на рентгеновских снимках что-то видится. жесткая каппа на верхний зубной ряд - я бы начал с этого.Нижние резцы устойчивы?Чем вам не нравится глубокая поддесневая препаровка? Десна выглядит также как и на интактных зубах НЧ.Как проверяется работа на предмет локальной перегрузки - не знаю, расскажите пожалуйста. Изменено 21 сентября, 2018 пользователем Corsag21 Ссылка на комментарий
Дмитрий Л. Опубликовано 21 сентября, 2018 Поделиться Опубликовано 21 сентября, 2018 Маргинальной гингивит. Нависающие края? Мягкий налет под коронками? Остатки цемента? Скоро будет пародонтит. Ссылка на комментарий
Alexandr_doc Опубликовано 21 сентября, 2018 Автор Поделиться Опубликовано 21 сентября, 2018 А сколько времени прошло между установкой коронок, появлением болей и обращением к вам?Боли начались приблизтельно 2 года назад, с тех пор ситуация менялась. Со слов пациентки простреливающие боли после снятия постоянных коронок пропали, но остается болезненность при дотрагивании пальцем... Ссылка на комментарий
Alexandr_doc Опубликовано 21 сентября, 2018 Автор Поделиться Опубликовано 21 сентября, 2018 Маргинальной гингивит. Нависающие края? Мягкий налет под коронками? Остатки цемента? Скоро будет пародонтит.Специально приложил прицельные снимки с временными коронками, где нависающие края? Цемента, лежащего тоннами там нет, думаю, что с корявыми временными коронками выкладывать пост не стал бы Ссылка на комментарий
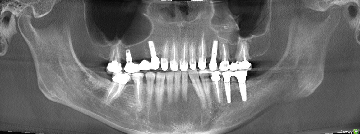
Alexandr_doc Опубликовано 21 сентября, 2018 Автор Поделиться Опубликовано 21 сентября, 2018 Точно ли на кт нет изменений на корнях зубов? Мне на рентгеновских снимках что-то видится. жесткая каппа на верхний зубной ряд - я бы начал с этого.Нижние резцы устойчивы?Чем вам не нравится глубокая поддесневая препаровка? Десна выглядит также как и на интактных зубах НЧ.Как проверяется работа на предмет локальной перегрузки - не знаю, расскажите пожалуйста.На кт изменений нет, мне хотелось их найти, но нет. Мне будет не сложно сделать срезы и приложить их к посту, рассматривал некачественное эндо как один из первых причинных факторов. Жесткая капа какая? Какой дизайн и схему порекомендуете? Десна действительно сейчас выглядит также как и в других участках. При гипсовке в ЦС проверены: наличие первого контакта на фронтальной группе, проверена схема направляющих, распределение контактов на моделях. Ссылка на комментарий
Alexandr_doc Опубликовано 22 сентября, 2018 Автор Поделиться Опубликовано 22 сентября, 2018 Коллеги, постараюсь сегодня скинуть срезы с КТ. Для полноты картины может еще чего то не хватает? Ссылка на комментарий
Дмитрий Л. Опубликовано 22 сентября, 2018 Поделиться Опубликовано 22 сентября, 2018 Специально приложил прицельные снимки с временными коронками, где нависающие края? Цемента, лежащего тоннами там нет, думаю, что с корявыми временными коронками выкладывать пост не стал быДаже не знаю что ответить. Снимайте времянки, пожалейте пациента. Ссылка на комментарий
Alexandr_doc Опубликовано 22 сентября, 2018 Автор Поделиться Опубликовано 22 сентября, 2018 Даже не знаю что ответить. Снимайте времянки, пожалейте пациентаСпасибо за ценный совет, обязательно подумаю над тем, чтобы отправить женщину без временных коронок на фронтальной группе зубов Ссылка на комментарий
Alexandr_doc Опубликовано 26 сентября, 2018 Автор Поделиться Опубликовано 26 сентября, 2018 Прошу извинить за задержку. Прикладываю срезы со свежего КТ. Поступили предложения о хир удлинении, на мой взгляд это в данной ситуации очень рискованно. Ссылка на комментарий
kramer Опубликовано 26 сентября, 2018 Поделиться Опубликовано 26 сентября, 2018 Может, прозвучит банально, но нет смысла резцы вывести из окклюзии? По КТ плотный контакт с антагонистами Ссылка на комментарий
Alexandr_doc Опубликовано 26 сентября, 2018 Автор Поделиться Опубликовано 26 сентября, 2018 Я думаю в скором времени я буду вполне рассматривать варианты выведения зубов из окклюзии ( насколько это возможно ) или снятия коронок на некоторое время, например на день с колпачками из композита Ссылка на комментарий
Рекомендуемые сообщения
Для публикации сообщений создайте учётную запись или авторизуйтесь
Вы должны быть пользователем, чтобы оставить комментарий
Создать аккаунт
Зарегистрируйте новый аккаунт в нашем сообществе. Это очень просто!
Регистрация нового пользователяВойти
Уже есть аккаунт? Войти в систему.
Войти