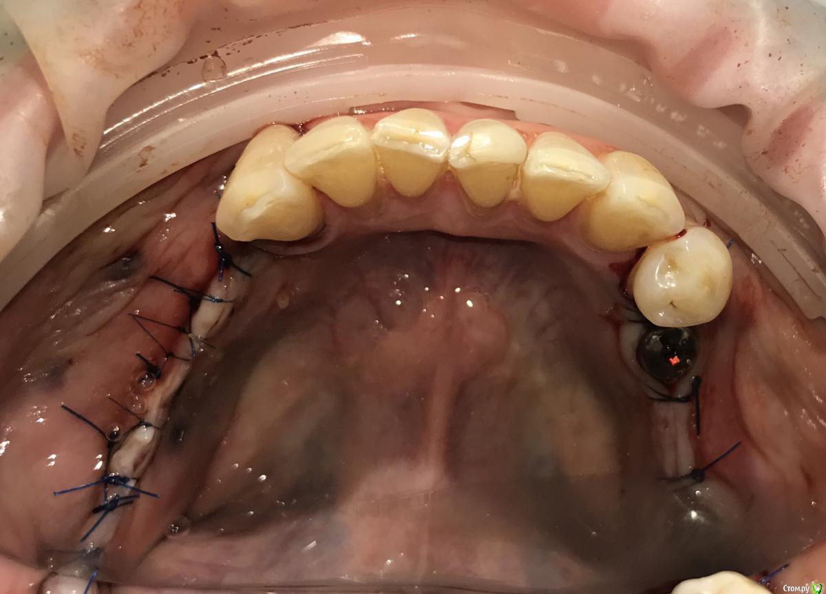
Santi Опубликовано 18 сентября, 2018 Поделиться Опубликовано 18 сентября, 2018 Имеем Концевые деффекты н/ч. Справа по плану НКР+импланты в позициях 4-6, слева импланты+ десна Итог сразу после Через 5-6 месяцев имеем такую картину Сразу после мягкотканной пластики И через пару месяцев Заранее пардоньте за качество фото и отсутствие картины ДО Ваше мнение коллеги ? 3 Ссылка на комментарий
Santi Опубликовано 19 сентября, 2018 Автор Поделиться Опубликовано 19 сентября, 2018 Я как понимаю для многих это абсолютная рутина и посредственная работа )) Ссылка на комментарий
Santi Опубликовано 19 сентября, 2018 Автор Поделиться Опубликовано 19 сентября, 2018 Кт до 34, 3644,46 Ссылка на комментарий
АнтонТЛТ Опубликовано 19 сентября, 2018 Поделиться Опубликовано 19 сентября, 2018 Если есть фото этапов операции, то выкладывание) Ссылка на комментарий
Santi Опубликовано 19 сентября, 2018 Автор Поделиться Опубликовано 19 сентября, 2018 Этапов аугументации к сожалению нету. То , что выложил + этап раскрытия Ссылка на комментарий
kramer Опубликовано 19 сентября, 2018 Поделиться Опубликовано 19 сентября, 2018 Гигиена не оч)) Ссылка на комментарий
Santi Опубликовано 19 сентября, 2018 Автор Поделиться Опубликовано 19 сентября, 2018 Гигиена не оч))Вечные войны )) Ссылка на комментарий
Карен Аванесов Опубликовано 19 сентября, 2018 Поделиться Опубликовано 19 сентября, 2018 Нормально. На новый год и 23 февраля икнете от воспоминаний пациентки. Ссылка на комментарий
Santi Опубликовано 19 сентября, 2018 Автор Поделиться Опубликовано 19 сентября, 2018 Нормально. На новый год и 23 февраля икнете от воспоминаний пациентки.Чего не хватило Карен? ) Ссылка на комментарий
Карен Аванесов Опубликовано 20 сентября, 2018 Поделиться Опубликовано 20 сентября, 2018 Чего не хватило Карен? ) фото с вазелином на губах)) 5 Ссылка на комментарий
Тимур86 Опубликовано 20 сентября, 2018 Поделиться Опубликовано 20 сентября, 2018 фото с вазелином на губах))Мюсье знает толк 1 Ссылка на комментарий
Дмитрий Л. Опубликовано 20 сентября, 2018 Поделиться Опубликовано 20 сентября, 2018 А какая именно нкр была проведена? ПТФЕ? Ссылка на комментарий
Дмитрий Л. Опубликовано 20 сентября, 2018 Поделиться Опубликовано 20 сентября, 2018 Блин, ну пародонтит же влияет на исход имплантации весь, почему бы не заняться им сначала, не пойму( Ссылка на комментарий
Kazankov.Egor Опубликовано 20 сентября, 2018 Поделиться Опубликовано 20 сентября, 2018 Как поступали с ментальным нервом в зоне аугментации? Ссылка на комментарий
Santi Опубликовано 21 сентября, 2018 Автор Поделиться Опубликовано 21 сентября, 2018 А какая именно нкр была проведена? ПТФЕ?Нет , с биогайдом. По поводу пародонтита , вы можете посмотреть фото сразу после имплантации и не найдёте зубных отложение. Так же какой-либо патологии с риском для аугументации не выявил ) 1 Ссылка на комментарий
Santi Опубликовано 21 сентября, 2018 Автор Поделиться Опубликовано 21 сентября, 2018 Как поступали с ментальным нервом в зоне аугментации?Ментальное было ниже зоны аугументации , не помешало никак) Ссылка на комментарий
Kazankov.Egor Опубликовано 21 сентября, 2018 Поделиться Опубликовано 21 сентября, 2018 Для меня на данный момент это краеугольный камень.Ментальное было ниже зоны аугументации , не помешало никак) Ссылка на комментарий
Рекомендуемые сообщения
Для публикации сообщений создайте учётную запись или авторизуйтесь
Вы должны быть пользователем, чтобы оставить комментарий
Создать аккаунт
Зарегистрируйте новый аккаунт в нашем сообществе. Это очень просто!
Регистрация нового пользователяВойти
Уже есть аккаунт? Войти в систему.
Войти