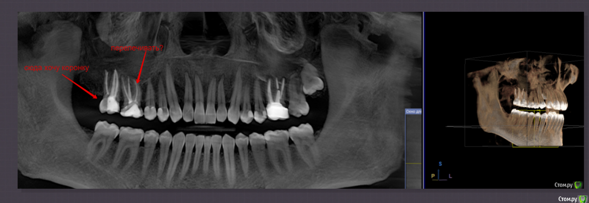
shamman Опубликовано 17 сентября, 2018 Поделиться Опубликовано 17 сентября, 2018 Добрый день, вопрос в следующем.Год назад перелечили каналы зуба.Рядом ещё один зуб, в котором по словам терапевта надо тоже каналы перелечивать. И типа идеальная схема: перелиываем второй зуб и сразу ставим 2 коронки.Как вы понимаете, с точки зрения расходов: перелечивание каналов 1 зуб + коронка 1 + коронка 2 = сразу существенная сумма.Врачу несколько раз задавал вопрос: "Можно ли сначала поставить коронку на 1 зуб, потом уже перелечить второй и поставить на него?".Каждый раз отвечала по-разному, и вразумительного ничего не понял. Подскажите, с точки зрения протезирования:- можно ли поставить на 1 зуб?- насколько велики риски если поставить на 1 зуб? с учётом того, что рядом стоящий будет позже переличиваться.- или таки копить деньги и делать всё раз? Из проблем сейчас, у того зуба куда хочу уже поставить, большой межзубный промежуток, на этой стороне из-за этого некмофортно жевать. Т.е. коронка сейчас уже бы существенно улучшила качество жизни. Снимок приложил, недавно сделал КТ.Если надо в др. ракурсах, могу приложить др. срезы.Заранее спасибо. Ссылка на комментарий
chervoncevdaniil Опубликовано 17 сентября, 2018 Поделиться Опубликовано 17 сентября, 2018 Можно делать поочередно,сразу две делать проще и вам и доктору и технику,потому что за один раз с одного оттиска будут сделаны обе,но в целом не принципиально,просто больше визитов Ссылка на комментарий
Dr.Sapronov Опубликовано 17 сентября, 2018 Поделиться Опубликовано 17 сентября, 2018 Можете делать, как вам удобнее. Доктору и технику удобнее сразу 2, но это не критично. Можете, в целях экономии, пролечить 2 зуба, подготовить их под протезирование, закрыть их временными коронками (не знаю в каком состоянии находятся ваши зубы), подкопить денег и установить потом сразу 2 коронки. Ссылка на комментарий
red_butler Опубликовано 17 сентября, 2018 Поделиться Опубликовано 17 сентября, 2018 на представленном снимке не увидел показаний к перелечиванию Ссылка на комментарий
shamman Опубликовано 18 сентября, 2018 Автор Поделиться Опубликовано 18 сентября, 2018 на представленном снимке не увидел показаний к перелечиванию1.Поэтому по поводу этого зуба решил не торопиться.2.Может сделать какое-то увеличение, чтобы получше рассмотреть? Ссылка на комментарий
red_butler Опубликовано 18 сентября, 2018 Поделиться Опубликовано 18 сентября, 2018 1.Поэтому по поводу этого зуба решил не торопиться.2.Может сделать какое-то увеличение, чтобы получше рассмотреть?покажите срезы Кт в области этого зуба Ссылка на комментарий
shamman Опубликовано 23 сентября, 2018 Автор Поделиться Опубликовано 23 сентября, 2018 покажите срезы Кт в области этого зубаВот приложил второй скрин, если по нему можно что-то сказать. Ссылка на комментарий
red_butler Опубликовано 23 сентября, 2018 Поделиться Опубликовано 23 сентября, 2018 есть периодонтит, перелечивайте Ссылка на комментарий
shamman Опубликовано 24 сентября, 2018 Автор Поделиться Опубликовано 24 сентября, 2018 есть периодонтит, перелечивайте А про 26-й зуб на котором коронка, что сказать можете? Ссылка на комментарий
red_butler Опубликовано 24 сентября, 2018 Поделиться Опубликовано 24 сентября, 2018 А про 26-й зуб на котором коронка, что сказать можете?Так же покажите срезы Ссылка на комментарий
Рекомендуемые сообщения
Для публикации сообщений создайте учётную запись или авторизуйтесь
Вы должны быть пользователем, чтобы оставить комментарий
Создать аккаунт
Зарегистрируйте новый аккаунт в нашем сообществе. Это очень просто!
Регистрация нового пользователяВойти
Уже есть аккаунт? Войти в систему.
Войти