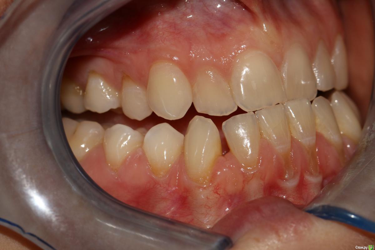
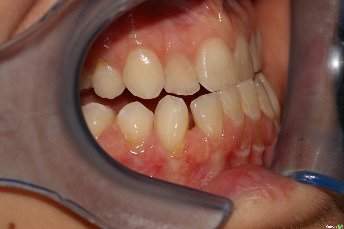
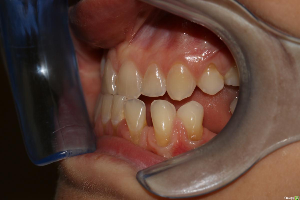
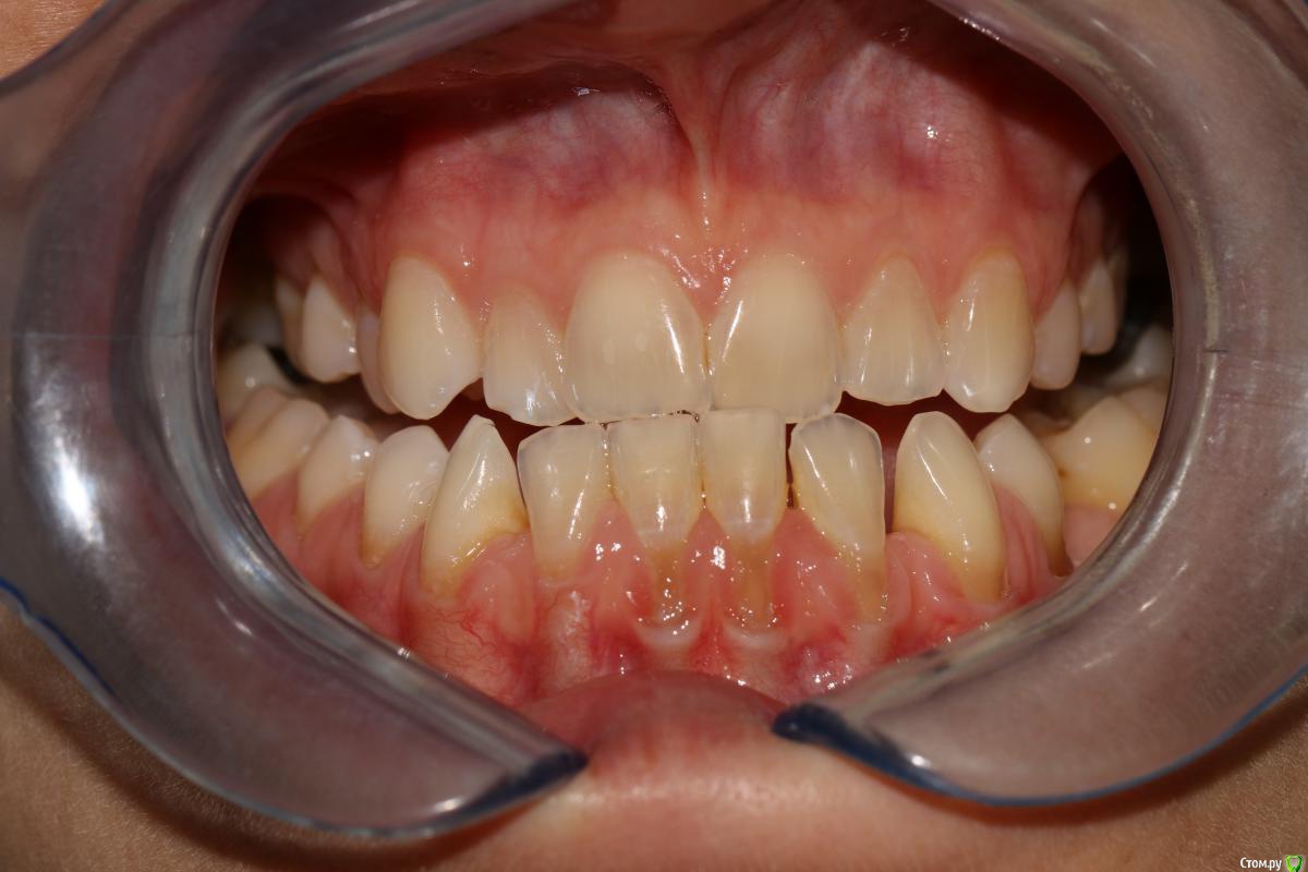
rytovst Опубликовано 15 сентября, 2018 Поделиться Опубликовано 15 сентября, 2018 Здравствуйте ,коллеги!Посоветуйте ,как и чем лучше закрыть данные рецессии перед ортодонтическим лечением.Склоняюсь к расщепленному лоскуту и ССТ с неба + коронально-смещенный лоскут . Может быть взять ССТ с эпителиальной полоской? Ссылка на комментарий
Bier Опубликовано 16 сентября, 2018 Поделиться Опубликовано 16 сентября, 2018 я бы брал с эпителиальной полоской + тоннель. 1 Ссылка на комментарий
rytovst Опубликовано 16 сентября, 2018 Автор Поделиться Опубликовано 16 сентября, 2018 предпочитаю без тоннеля - плохая визуализация . Кто чем обрабатывает поверхность корня ? Ссылка на комментарий
Bier Опубликовано 16 сентября, 2018 Поделиться Опубликовано 16 сентября, 2018 зачем тогда спрашивать, если сделаете, как нравится?Скейлинг + ЭДТА 2 Ссылка на комментарий
rytovst Опубликовано 16 сентября, 2018 Автор Поделиться Опубликовано 16 сентября, 2018 интересно услышать другое мнение /почему, например ,не использовать деэпителизированный СДТ ? Стоит ли заморачиваться и делать расщепленным методом либо полнослойно отслоиться и ушить ? Ссылка на комментарий
Дмитрий Л. Опубликовано 16 сентября, 2018 Поделиться Опубликовано 16 сентября, 2018 У меня есть сомнения относительно необходимости хирургии в этом случае. Ссылка на комментарий
rytovst Опубликовано 16 сентября, 2018 Автор Поделиться Опубликовано 16 сентября, 2018 Вы не делаете пластики перед ортодонтией? Ссылка на комментарий
Дмитрий Л. Опубликовано 16 сентября, 2018 Поделиться Опубликовано 16 сентября, 2018 Скажите пожалуйста, а это фото в прикусе...? Какой тут ортодонт диагноз поставил и что планирует делать? Пластика десны перед ортодонтией не всегда показана. Ссылка на комментарий
rytovst Опубликовано 16 сентября, 2018 Автор Поделиться Опубликовано 16 сентября, 2018 -фото ,как вы видите ,не в прикусе ( 6 зубы не смыкаются) -дистальная дизокклюзия - произвести протрузию на нч Ссылка на комментарий
Irouil Опубликовано 16 сентября, 2018 Поделиться Опубликовано 16 сентября, 2018 зачем тогда спрашивать, если сделаете, как нравится?Скейлинг + ЭДТАМожет коллега с Вас пример берет: уже все сделал, а спрашивает из спортивного интереса?) Я бы тоже в резцах шел с эпителием и туннель, в клыках/премолярах может полностью деэпителизировать (если не одним трансплантатом брать будете). В этом случае, имхо, показания к пародонтологии даже без ортодонтии Ссылка на комментарий
Дмитрий Л. Опубликовано 16 сентября, 2018 Поделиться Опубликовано 16 сентября, 2018 В этом случае, имхо, показания к пародонтологии даже без ортодонтии Я не об этом. Если резцы планируется сдвинуть дистально, то рецессия может уменьшится уже уже от этого, соответственно и успех хирургии будет выше после ортодонтии, а не до. - произвести протрузию на нч Вот честно я не понял здесь вас( Вообще здесь не рецессия, а пародонтит. И устранить нужно причину. Уздечка, преддверие...?+1 за туннель и не уверен по поводу коронарного смещения лоскута: риск порвать лоскут + натяжение от губы только увеличится. Ссылка на комментарий
Рекомендуемые сообщения
Для публикации сообщений создайте учётную запись или авторизуйтесь
Вы должны быть пользователем, чтобы оставить комментарий
Создать аккаунт
Зарегистрируйте новый аккаунт в нашем сообществе. Это очень просто!
Регистрация нового пользователяВойти
Уже есть аккаунт? Войти в систему.
Войти