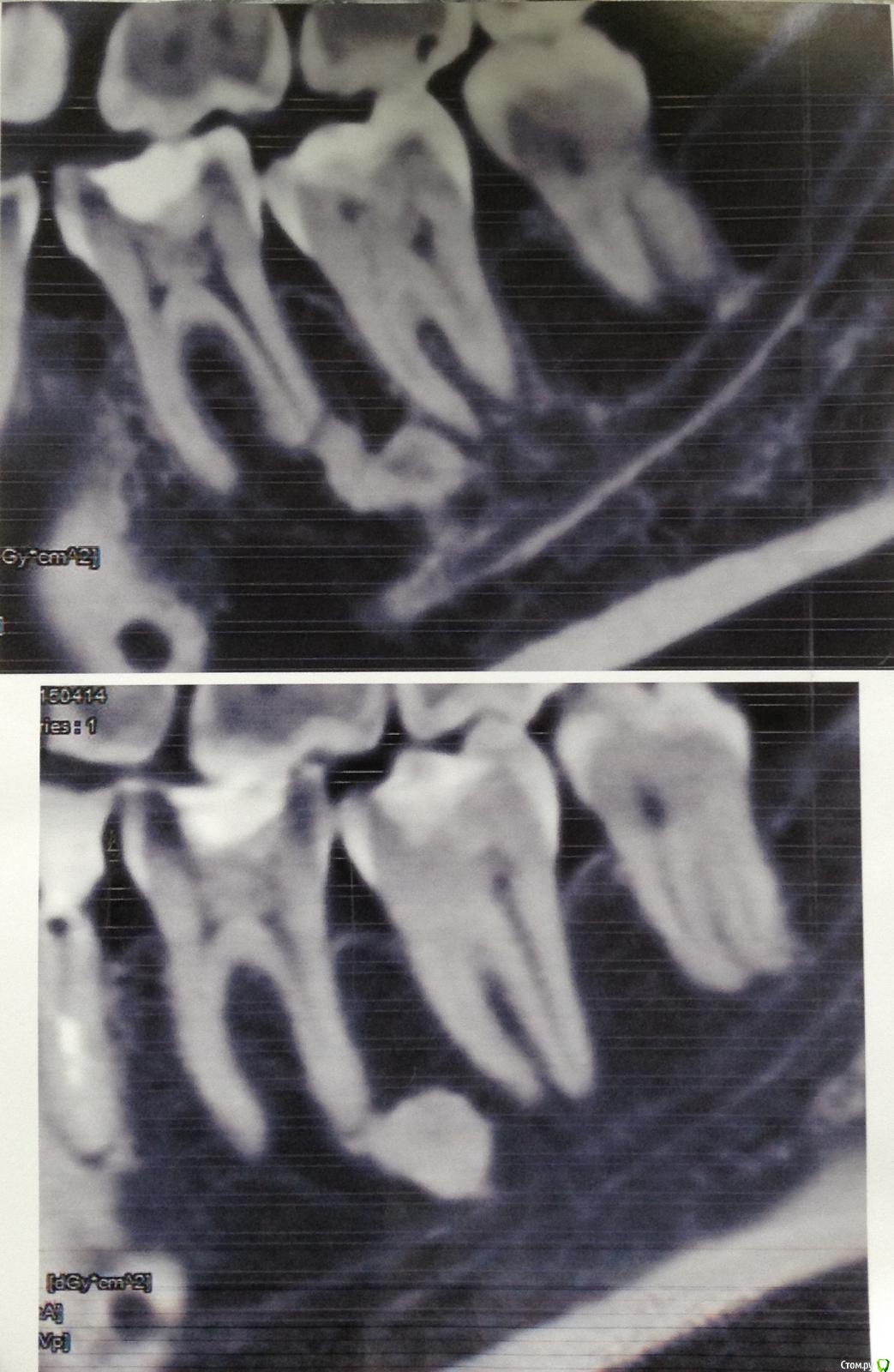
TFlow Опубликовано 15 сентября, 2018 Поделиться Опубликовано 15 сентября, 2018 (изменено) Здравствуйте!В 2015 году я поставила брекеты, предварительно сделав КТ, слепки и имея при этом старые ортопантомограммы (2 шт.) На старых снимках (от 2007 года) под нижними правыми шестёркой и семёркой было видно образование, которое мне всегда советовали не трогать, мол, их без показаний не удаляют. На КТ это образование тоже было видно. Ни рентгенолог, ни ортодонт противопоказаний на установку брекет-системы не указали.Через 4 месяца (зимой) после установки системы на нижнюю челюсть, внизу справа у меня появились непонятные боли в районе нижних коренных зубов. Было похоже на повышенную чувствительность и я использовала реминерализующий гель от РОКС. Казалось, помогает. Но потом он перестал помогать. Боли усиливались в холодную и ветреную погоду, на горячее-холодное-сладкое-солёное, а также при смене внешней температуры (например пришла с мороза в кафе или домой). Мысли у врача были, что это дёсна, гиперчувствительность зубов или "какие-то фантомные боли" (перед брекетами были удаления справа). Приступы потихоньку (это всё было очень растянуто по времени!) увеличивались по продолжительности (от 2 минут до 25-30 минут) и появлялись уже не только в мороз, но и летом.Через два года после начала периодических болей я сделала КТ всех зубов повторно (разница между двумя КТ три года, второй делала в июне 2018 года), после чего рентгенолог выдал мне диск с КТ и в бумажном виде панорамный снимок челюстей. Он опять успокоил меня насчёт образования под нижней семёркой справа, типа ничего особенного там не увидел (уверял, что посмотрел хорошо) и посоветовал пойти в неврологу и делать МРТ. Невролог поставил мне невропатию тройничного нерва и дисфункцию ВНЧС! (при нажатии заболел правый висок, а хруст я заметила давно, щелчков нет). МРТ головного мозга ничего не показала. Анализ крови на герпес - тоже. Невролог прописала витамины группы B и Габапентин курсом в 2 месяца. В итоге на Габапентине приступы всё равно были и особенно сильный, когда уже начало стрелять в правое ухо и появились неприятные ощущения в его районе вообще, был уже когда я закончила приём препарата (28 августа). Я опять полетела к неврологу (уже к другому, потому что к первому было невозможно записаться), он нащупал сильную спазмированность мышц в районе правого уха и виска, прописал Сирдалуд и иглоукалывание курсом из 8-ми сеансов (я его сейчас заканчиваю). После Сирдалуда, как мне кажется, у меня меньше онемение в правой нижней части лица. По назначению невролога сделала электронейромиографию (5 сентября), но конкретного участка повреждения тройничного нерва она не показала. Диагност сказала, это потому что ЭНМГ сделана не сразу после приступа, но так уж у меня получилось, а невролог сильно, как я поняла, на неё (ЭНМГ) рассчитывал.12 сентября опять случился приступ, когда ела сладкое на правой стороне. Болело примерно 30 минут и я заметила в этот раз, что болело уже как-то не внизу (где, как мне показывал рентгенолог, выходит нижняя ветка тройничного нерва), а в самих зубах, а именно нижние 6 и 7 справа. Я побежала к своему терапевту, она постучала по зубам и сделала реакцию на лёд, сильно заныла семёрка... 6 тоже реагировала, но 7 больше. В итоге врач отправила меня снова в клинику, где я делала обе КТ (до брекетов и после, с разницей в три года), и сказала, чтобы мне "покрутили" на компьютере это образование (оно же как раз под нижними правыми 6 и 7) и напечатали на бумаге именно участок с этим образованием (остеомой?). В итоге, в этой клинике мне открыли старую и новую КТ и... в общем, снимок прилагаю. Вверху на снимке - 2018 год, внизу - 2015 год. Общая КТ на фото - от июня 2018 года. Я в шоке. Что это? Там явное соединение "нечто" с тройничным нервом. Оно даже образование (остеому?) частично съело. Вот тройничный у меня и болел! И, возможно, ДВНЧС я заработала из-за этих болевых шоков! Дискомфорт в районе правого уха и виска, а также, как обнаружилось немногим позже ещё и небольшое сдвигание нижней челюсти влево - появились после приступа 28 августа. Я просто в ауте от "работы" рентгенолога в июне этого года. Как можно это просмотреть, когда уверял, что "всё посмотрел"? Теперь мне надо бежать к хирургу (буду искать опытных хирургов на следующей неделе), но решила пока написать сюда, чтобы морально начать к чему-нибудь готовиться и, наверное, просто выговориться.Кто-нибудь имеет представление, что это за размытая область на снимке под нижней семёркой? Оно прямо соединяется с тройничным нервом! И что может сделать хирург? Это ж, получается, какая-то дрянь меня, возможно, инфицирует уже больше 2-х лет и треплет нерв! Я действительно чувствую общую слабость (а через два месяца после появления болей у меня, кстати, впервые в жизни был сильный гайморит - правосторонний! вылечил врач-лор Аугментином и Назонексом), но температуры нет! (грипп в январе 2017 года, наверное, не в счёт - тогда многие болели, и в моей семье - тоже). Хотя во время приступов у меня ощущение, что меня как бы бросает "в пот", в эти моменты зубы у меня разомкнуты - наверное, инстинктивно боюсь сомкнуть. Впрочем, слабость, подавленность, наверное, может быть из-за стресса по поводу этих болей, новостей про ДВНЧС. А теперь вот это непонятное нечто...Помогите советом, пожалуйста! Изменено 15 сентября, 2018 пользователем TFlow Ссылка на комментарий
kramer Опубликовано 15 сентября, 2018 Поделиться Опубликовано 15 сентября, 2018 Зачем лезть в эти дебри... Неврологи, МРТ, ЭНМГ... Мде. По сабжу: 1. Новообразование никакой роли не играет. 2. Ищите пульпит в зубах 46, 47, 48 и 18. 1 Ссылка на комментарий
TFlow Опубликовано 15 сентября, 2018 Автор Поделиться Опубликовано 15 сентября, 2018 (изменено) Зачем лезть в эти дебри... Неврологи, МРТ, ЭНМГ... Мде. По сабжу: 1. Новообразование никакой роли не играет. 2. Ищите пульпит в зубах 46, 47, 48 и 18. Спасибо за ответ! Дык к неврологу побежала, потому что на КТ "всё ок" и "ищите причину болей тройничного нерва у невролога". Ну а невролог, поверя заключению рентгенолога (именитого у нас, кстати) и решив, что раз причина не в зубах, то делаем МРТ и пьём Габапентин... А вот эту "нарезку" КТ (где зона с образованием отдельно - за 2015 и за 2018 гг) я сделала буквально только вчера. А что это за образование, которое прямо на нерв ложится (прямо корни семёрки обволакивет )? На его месте в 2015 году чисто было... Изменено 15 сентября, 2018 пользователем TFlow Ссылка на комментарий
kramer Опубликовано 15 сентября, 2018 Поделиться Опубликовано 15 сентября, 2018 (изменено) И без КТ видно, что у вас на зубах 46 и 47 гигантские пломбы "впритык" с нервом (пульпой). А что это за образование, которое прямо на нерв ложится? Покажите стрелкой, что вы имеете ввиду Изменено 15 сентября, 2018 пользователем kramer 1 Ссылка на комментарий
TFlow Опубликовано 15 сентября, 2018 Автор Поделиться Опубликовано 15 сентября, 2018 И без КТ видно, что у вас на зубах 46 и 47 гигантские пломбы "впритык" с нервом (пульпой). Покажите стрелкой, что вы имеете ввиду По поводу пломб мне позавчера тоже так сказали - про впритык с пульпой. Но этим пломбам больше 10-ти лет, визуально всем врачам, кто смотрит, они нравятся. Пока рентген в руки не берут... Можно было, интересно, брекетами как-то их сдвинуть? (не знаю, как объяснить) А зону указала (как смогла) в стартовом своём посте. Ссылка на комментарий
kramer Опубликовано 15 сентября, 2018 Поделиться Опубликовано 15 сентября, 2018 Тем, что вы отметили красным, скорее всего являются питательные каналы с сосудами и нервами, которые идут от нижнечелюстного канала к зубу. Как водопровод. Такая же штука есть и 8 зуба на снимке, если присмотреться. Это норма, разумеется. Надо в клинике сделать пробы, которые выявят пульпитный зуб (если он есть). Фриз-тест, например. 2 Ссылка на комментарий
TFlow Опубликовано 15 сентября, 2018 Автор Поделиться Опубликовано 15 сентября, 2018 Тем, что вы отметили красным, скорее всего являются питательные каналы с сосудами и нервами, которые идут от нижнечелюстного канала к зубу. Как водопровод. Такая же штука есть и 8 зуба на снимке, если присмотреться. Это норма, разумеется. Надо в клинике сделать пробы, которые выявят пульпитный зуб (если он есть). Фриз-тест, например.А мне-то вчера в клинике, где "нарезку" делали, со страшными глазами сказали: "Там что-то образовывается!!" Они имели в виду в сравнении с 2015-м годом. Напугали меня до ужаса. Хотя почему раньше этих каналов не видно было? И именно седьмой зуб вчера и позавчера реагировал, кстати, на фриз-тест. Я правильно понимаю, это когда лёд прикладывают? Седьмой сразу ныл и потом не очень-то быстро отходил. Это лечить или удалять зуб? Я просто думаю, что этот "водопровод" дёргает тройничный нерв, больше нечему (судя по снимкам). Ссылка на комментарий
kramer Опубликовано 15 сентября, 2018 Поделиться Опубликовано 15 сентября, 2018 Хотя почему раньше этих каналов не видно было? Надо просто знать, куда смотреть И именно седьмой зуб вчера и позавчера реагировал, кстати, на фриз-тест. Я правильно понимаю, это когда лёд прикладывают? Седьмой сразу ныл и потом не очень-то быстро отходил. Лёд или спрей специальный Это лечить или удалять зуб? Если пульпит, удалять нервы из зуба, пломбировать каналы. 1 Ссылка на комментарий
TFlow Опубликовано 15 сентября, 2018 Автор Поделиться Опубликовано 15 сентября, 2018 Ну они вроде с одного ракурса мне взяли кадры. Сами взбудоражились и меня настропалили. Спасибо за ответы! Ссылка на комментарий
TFlow Опубликовано 1 октября, 2018 Автор Поделиться Опубликовано 1 октября, 2018 Ох, история продолжается. Мой стоматолог-терапевт ничего такого особенного на этой нарезке КТ не увидела и отправила к чхл. Чхл меня исследовала (прощупала суставы и лицо в целом, посмотрела зубы, слизистую) и отправила на магнитолазерную терапию сустава. Нарезка из КТ её тоже не смутила.МЛТ назначили на 10 сеансов. Чхл предупредила, что возможно обострение через 3-4 процедуры. Всё было нормально, пока после 6 процедуры (я уже пришла домой, это было 25 сентября) я не поела горячего супа и не загнулась от боли внизу справа опять. Болело опять минут 25. Сначала сильно, потом ныло. Я думала, что это и есть обещанное обострение и продолжала ходить на МЛТ. Через два дня болей (после еды и питья, особенно жидкостей) не выдержала и связалась со своим терапевтом. А она только-только ушла в отпуск! И мне пришлось искать другого врача. Так как было подозрение на пульпит нижней правой семёрки, решила, что буду с врачом о пульпите и говорить.Пришла на приём. Врач семёрку и соседние зубы все обстучал, а зуб как назло особо и не реагирует - хотя в тот же день сильно болел после питья (я уже начала пить через трубочку и при этом слегка поворачивать голову налево). Врач загрузил мою КТ в компьютер (то есть видел не только выложенную мной повыше нарезку и общий снимок), и сказал, что особо его там ничего не смущает. Остеома (?) вроде до нерва не дотягивает. Предложил профторировать семёрку. Я уже упала духом - что опять всё глухо и никакого результата, и согласилась. Он начал сушить зуб. Через 3-4 секунды, как начал сушить, я буквально складываюсь пополам от электрошоковой боли. Через пару минут отпустило. Врач начал класть препарат и ситуация повторяется. Тут врач и говорит, что его только депульпировать.Назавтра этот врач не работал, а я хотела разобраться с этим быстрее, меня записали к другому врачу. Она опять меня выслушала, посмотрела снимки. Большого желания депульпировать зуб у неё не возникло. Обстучала семёрку, она стала ныть. Тут она всё- таки решила посмотреть КТ на компьютере. Позвала слегка в напряжении меня к компьютеру и указала на это место, которое меня и смущало выше (на нарезке я выделила красным). Врач сказала, что мне стоит ещё раз поговорить об этом участке с рентгенологом, который делал КТ.Сказала, что депульпировать зуб можно всегда и предложила для начала сделать чистку от налёта и камней, типа они оголяют шейки моих зубов ещё больше, а у меня и так убыль кости. Я согласилась.И вот в процессе чистки обнаружилось то, что я указала в теме http://forum.stom.ru/topic/37601-vidno-kost-za-vosmyorkami/Надеюсь, попасть сегодня к чхл... Ссылка на комментарий
kramer Опубликовано 1 октября, 2018 Поделиться Опубликовано 1 октября, 2018 ТС, извините, но вы сами себя накручиваете, создаёте себе проблемы, тратите время и деньги на фторирование (?!), камни и т.д. Давно бы депульпировали зуб, и наступила бы благодать. Впрочем, дело ваше. 5 Ссылка на комментарий
TFlow Опубликовано 2 октября, 2018 Автор Поделиться Опубликовано 2 октября, 2018 ТС, извините, но вы сами себя накручиваете, создаёте себе проблемы, тратите время и деньги на фторирование (?!), камни и т.д. Давно бы депульпировали зуб, и наступила бы благодать. Впрочем, дело ваше.Спасибо за участие! (я серьёзно, без подколов) Вчера (в понедельник) была на приёме у двух хирургов (в разных учреждениях). Один отправил на консультацию к кмн члх нашего города (Смоленск) - записалась на четверг. А второй хирург тоже, как предыдущие врачи, подул "воздухом" на семёрку (и на шестёрку) и меня опять скрутило от боли просто пополам, реакция на шестёрку, возможно, потому что он сосед семёрки, у меня и восьмёрка реагирует - но больше всех на все раздражители реагирует именно семёрка), так вот, второй хирург (главврач одной из городских частных клиник) глядя на выше приложенные снимки и на мою реакцию, сказал, что предполагает хронический пульпит в зубе, но не знает, можно ли и как его депульпировать - именно из-за зоны, выделенной красным и из-за остеомы(?). И тоже отправил на консультацию к тому кмн члх! Тот работает и в гос. обл. больнице и в частной клинике. У меня ещё и правый ВНЧС болит (поставили дисфункцию в июне), а после чистки у врача в субботу - особенно. Как зубы лечить, в смысле как рот открывать при лечении, уже не знаю. На чистке мне ставили расширитель, то есть он в основном рот держал, но всё равно было неприятно справа и больно, я сустав имею в виду, он более менее перестал так болеть (при еде и открывании рта) только в понедельник. Делала в августе рентген суставов, нашли подвывих и небольшую ассиметрию суставных головок (если правильно запомнила), но сказали, что люди не симметричные вообще и это, возможно, моя особенность. Сейчас массирую и делаю миогимнастику. Только и надеюсь на консультацию с тем кмн члх... ПС: кстати, вчерашние два хирурга, по моей просьбе, пытались рассмотреть, где же у меня за восьмёркой видна кость. Не нашли. Но они смотрели очень осторожно, особо ничего не раздвигали, так как я была без анестезии и боялась боли. Мне же на чистке врач под анестезией дула туда конкретно и я эту зону чисто белого цвета видела за правой восьмёркой сама (врач дала мне зеркало и сильно туда подула и я увидела). И когда первый хирург мне пыталась поискать эту кость (не дула, а просто зеркалом двигала там), стало больно. Возможно, из-за проблем с семёркой, там уже всё "на нерве". Потом она сказала, что кость обнажена быть не может и, возможно, это костный карман и это типа не Бог весть какое событие. А второй хирург ничего не сказал вообще. Ссылка на комментарий
red_butler Опубликовано 2 октября, 2018 Поделиться Опубликовано 2 октября, 2018 ТС, извините, но вы сами себя накручиваете, создаёте себе проблемы, тратите время и деньги на фторирование (?!), камни и т.д. Давно бы депульпировали зуб, и наступила бы благодать. Впрочем, дело ваше.+100500 1 Ссылка на комментарий
TFlow Опубликовано 2 октября, 2018 Автор Поделиться Опубликовано 2 октября, 2018 +100500Я же говорю, стоматологи (не один!) просто отказываются его депульпировать! Кто-то ссылается на диагноз невролога (невропатия ТН, хотя сам невролог опирался на устное заключение рентгенолога после КТ, что с зубами у меня порядок - я пропила курс противосудорожных и иглорефлексотреапию, не помогло, на МРТ головы - всё в порядке) и предупреждают, что если это ТН, то после депульпирования нет гарантии, что боли пропадут. А кто-то видит КТ (и на бумаге и на компьютере), пугается этих образований под семёркой (а остеома(?) вообще между 6 и 7) и тоже говорят, что депульпировать не будут. И посылают к какому-нибудь профессору на консультацию. Вот иду в четверг. Ссылка на комментарий
kramer Опубликовано 2 октября, 2018 Поделиться Опубликовано 2 октября, 2018 Какие-то пугливые врачи на Смоленской земле... 3 Ссылка на комментарий
TFlow Опубликовано 2 октября, 2018 Автор Поделиться Опубликовано 2 октября, 2018 Какие-то пугливые врачи на Смоленской земле... И смех, и грех Вот только в пятницу один молодой врач (27 лет) был готов депульпировать эту семёрку. Причём смотрел диск с КТ (один, без меня) и снимки на бумаге. Ничего такого пугающего не сказал. Но у него уже не оставалось времени, предложил понедельник, но я хотела как можно раньше и записалась туда же на субботу, но к другому врачу (у неё стаж 15 лет). А она отказалась это делать. Засмущала меня вконец (плюс добила "просвечивающей" костью за восьмёрками, причём я это видела в зеркало - что, получается, я видела??) и теперь думаю, чего они так пугаются? И меня пугают? Может, и правда надо к профессору? Ссылка на комментарий
kramer Опубликовано 2 октября, 2018 Поделиться Опубликовано 2 октября, 2018 Может, и правда надо к профессору? Лучше сразу к академику. Пульпит все-таки. 2 Ссылка на комментарий
TFlow Опубликовано 2 октября, 2018 Автор Поделиться Опубликовано 2 октября, 2018 Лучше сразу к академику. Пульпит все-таки. Надеюсь, профессор не отправит меня к академику ) Ссылка на комментарий
TFlow Опубликовано 4 октября, 2018 Автор Поделиться Опубликовано 4 октября, 2018 (изменено) Короче, профессор сказал, что это пульпит. Сказал, депульпировать семёрку и, возможно, шестой придётся тоже. По поводу серого образования под семёркой сказал, что это строение кости. Про остеому - оперировать её не надо. Про онемения сказал, что это скорее всего из-за сустава, а не из-за тройничного нерва. А про кость за восьмёркой сказал, что если там та врач что-то и "сдула", то слизистая зарастёт сама. А сам он там ничего не увидел (хотя и не дул вообще, а только смотрел зеркалом). Вообще про "кость за восьмёркой" отреагировал скептически (""Чужие" какие-то!", а я говорю: ""Челюсти", скорее".)Всем спасибо! Изменено 4 октября, 2018 пользователем TFlow Ссылка на комментарий
___49___ Опубликовано 17 октября, 2018 Поделиться Опубликовано 17 октября, 2018 Всем спасибо! Будьте добры закончите свою историю , вам доктора отвечали , теперь нам интересно как у вас прошло депульпирование и как вы сейчас себя чувствуете? 2 Ссылка на комментарий
TFlow Опубликовано 26 февраля, 2019 Автор Поделиться Опубликовано 26 февраля, 2019 (изменено) Будьте добры закончите свою историю , вам доктора отвечали , теперь нам интересно как у вас прошло депульпирование и как вы сейчас себя чувствуете? Здравствуйте! Только что увидела сообщение, прошу прощения. 7 внизу справа зуб депульпировали. Процедура была сложной (длительной), так как из трёх каналов два оказались забиты дентиклем, врач его еле прошла, даже с ультразвуком. Помогала другой врач (иголки даже не вставлялись, их целую кучу перегнули). Дикие боли, длящиеся годами (и особенно в прошлом году), ушли сразу! И сильное напряжение височно-челюстных мышц тоже!! Видимо, там нехилый спазм всего был (я не врач, не знаю, как объяснить). Я поняла, что смущало врачей, почему не депульпировали (и говорили, что это, конечно, можно сделать, но не факт, что поможет): отсутствие ночных болей, свойственных пульпиту, и онемение правой стороны лица (на стороне зуба) - типа это всё не типично для пульпита. Но, как выяснилось, пульпит бывает не только острым, но и хроническим, а он протекает по-другому (редко встречается что ли??), и ночные боли не обязательны!А насчёт онемения справа оказалось, что у меня в верхнем зубе периодонтит (я годами ходила с незапломбированными до конца каналами и не знала об этом). Его перелечили (промывали каналы (их там два), клали антисептик на несколько недель, пломбировали) и онемение (и дёрганье века глаза) прошло. Правда, сейчас, спустя полтора месяца после лечения появилась заложенность носа (тоже в основном справа) и со временем (примерно через неделю после появления заложенности) онемение вернулось! В вылеченном от периодонтита зубе появилось чувство распирания (не постоянно), жевать не больно, реакции на раздражители нет. Эпицентр онемения на лице прямо над этим зубом, я чувствую.Лор прописала пшикать Назонекс для снятия отёка в пазухах. Она даже сходила на другой этаж консультироваться с их стоматологом, и он сказал в общем-то то же, что и мой врач сразу после лечения - эти ощущения (онемение в том числе) после лечения периодонтита могут сохраняться около 2-х лет! Не сговорились же они, в самом деле. Мой стоматолог согласилась, что, может, отёк в пазухе уйдёт и тогда онемение - тоже. Если не пройдёт, то делать снимок пазух (лучше КТ пазух - туда верхние зубы попадают). Кстати, дёрганье века и онемение уходят после лечения не сразу, примерно 6-7 дней нужно, я заметила. ПС: у меня очень близко корни зубов к пазухам, но у меня же так всю жизнь, а подобные проблемы (связь заложенность носа-корни в пазухах) появились только сейчас... Изменено 26 февраля, 2019 пользователем TFlow 1 Ссылка на комментарий
___49___ Опубликовано 26 февраля, 2019 Поделиться Опубликовано 26 февраля, 2019 Если не пройдёт, то делать снимок пазух (лучше КТ пазух - туда верхние зубы попадают). +1 1 Ссылка на комментарий
Рекомендуемые сообщения
Для публикации сообщений создайте учётную запись или авторизуйтесь
Вы должны быть пользователем, чтобы оставить комментарий
Создать аккаунт
Зарегистрируйте новый аккаунт в нашем сообществе. Это очень просто!
Регистрация нового пользователяВойти
Уже есть аккаунт? Войти в систему.
Войти