kamranchick Опубликовано 12 сентября, 2018 Поделиться Опубликовано 12 сентября, 2018 Тройное проникновение) ой тройное сстконверт, штаны, шашлык 12 Ссылка на комментарий
Nazim_NV86 Опубликовано 12 сентября, 2018 Поделиться Опубликовано 12 сентября, 2018 "сейчас по быстрому поставим". .. раз два полчаса и готово ). Ссылка на комментарий
Garrus Опубликовано 13 сентября, 2018 Поделиться Опубликовано 13 сентября, 2018 (изменено) Тройное проникновение) ой тройное сстконверт, штаны, шашлыкШашлык понятно, можно поподробнее пожалуйста про конверт и штаны я просто с деревни Изменено 13 сентября, 2018 пользователем Garrus Ссылка на комментарий
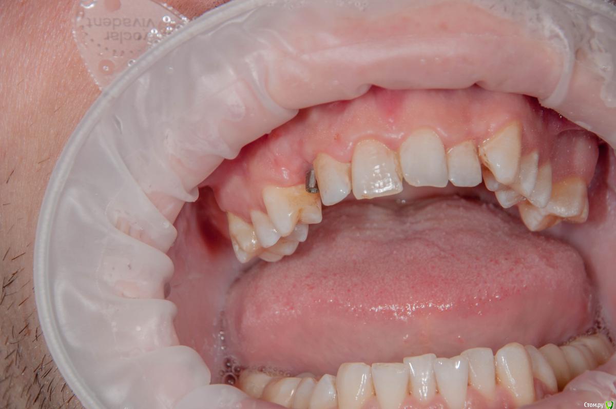
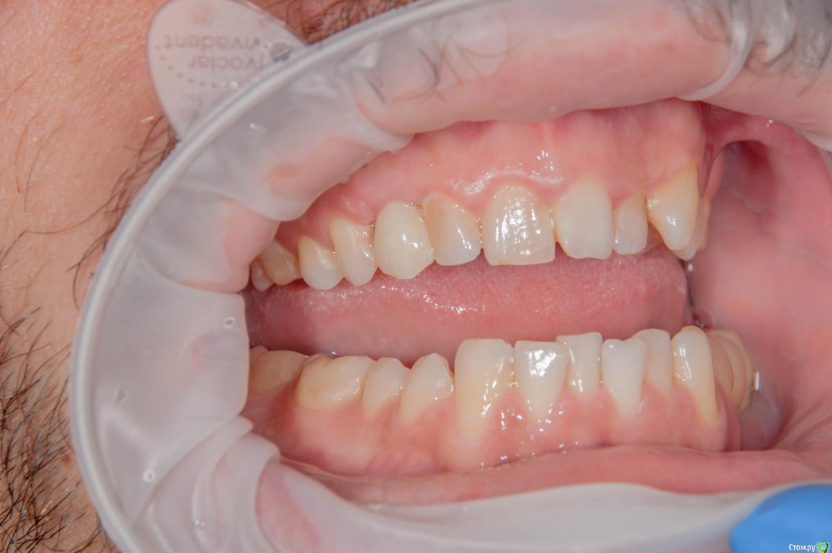
kamranchick Опубликовано 13 сентября, 2018 Автор Поделиться Опубликовано 13 сентября, 2018 Как то так 2 Ссылка на комментарий
kriokov Опубликовано 13 сентября, 2018 Поделиться Опубликовано 13 сентября, 2018 хорошая работа, в хирургии.Абатмент какой то не очень получился, и широковат и по форме странный. Ссылка на комментарий
Garrus Опубликовано 13 сентября, 2018 Поделиться Опубликовано 13 сентября, 2018 (изменено) Как то так и вторичным натяжением заживает частично? Изменено 13 сентября, 2018 пользователем Garrus Ссылка на комментарий
kamranchick Опубликовано 13 сентября, 2018 Автор Поделиться Опубликовано 13 сентября, 2018 хорошая работа, в хирургии.Абатмент какой то не очень получился, и широковат и по форме странный.Спасибо Пациент реферативный, я бы сказал вообще ортопедия не айс 1 Ссылка на комментарий
kamranchick Опубликовано 13 сентября, 2018 Автор Поделиться Опубликовано 13 сентября, 2018 Тут все заживало первичным натяжением, может на 3-4 день начали швы расходитться, ну в данном случае некроза не было ни у одного сст, видимо запитались Ссылка на комментарий
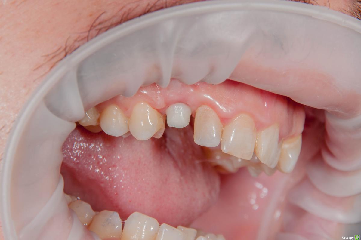
Smileee Опубликовано 13 сентября, 2018 Поделиться Опубликовано 13 сентября, 2018 Как то такШтаны- это то же самое что конверт, только "ножки" огибают формик и уходят орально? 1 Ссылка на комментарий
kamranchick Опубликовано 13 сентября, 2018 Автор Поделиться Опубликовано 13 сентября, 2018 Да, чтобы не потерять высоту сосочков.Ну их тут и так не было, хотя бы как то создать их... Ссылка на комментарий
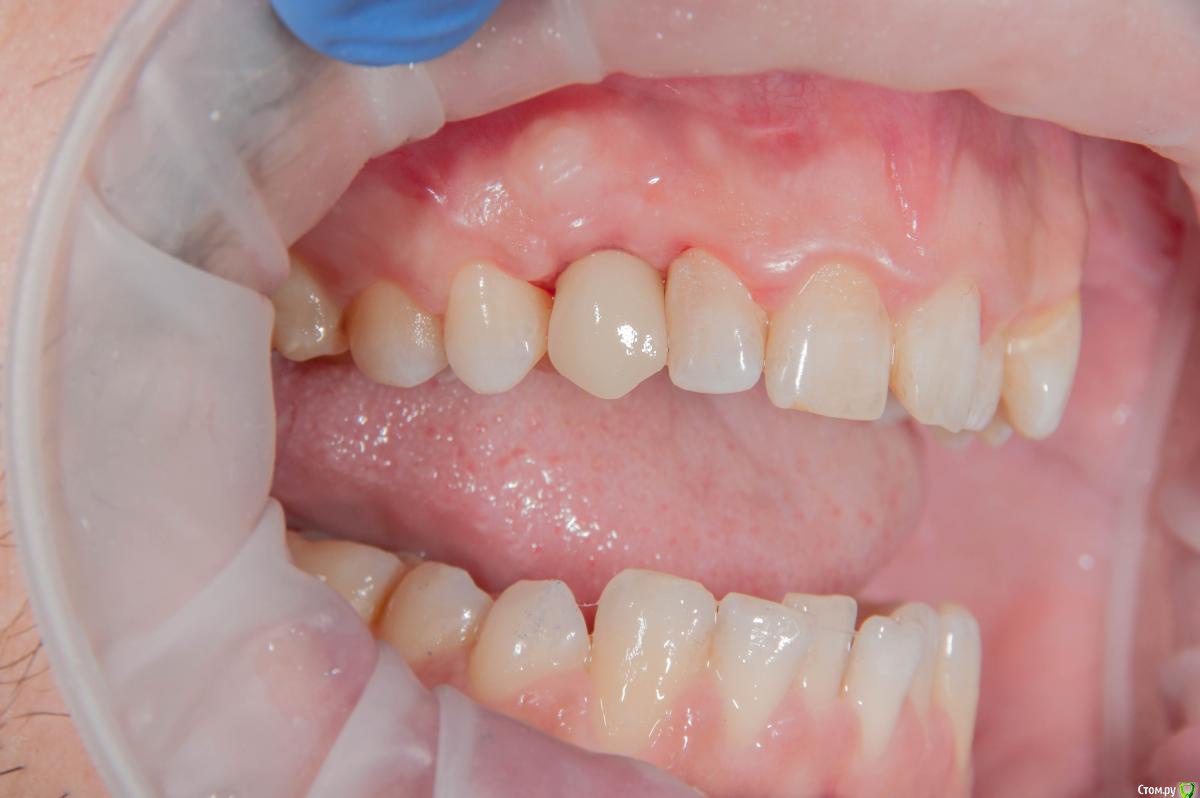
Bier Опубликовано 13 сентября, 2018 Поделиться Опубликовано 13 сентября, 2018 Камранчик, кадрируй пожалуйста )Результат классный! 1 Ссылка на комментарий
kamranchick Опубликовано 14 сентября, 2018 Автор Поделиться Опубликовано 14 сентября, 2018 Спасибо Олег)) просто лень было, но впредь буду кадрировать) Ссылка на комментарий
Dman Опубликовано 14 сентября, 2018 Поделиться Опубликовано 14 сентября, 2018 пациента резали, штопали, а в итоге ортопед с техником все сосочки зажали. Для такого результата сст вестибулярно вполне хватило бы)) 1 Ссылка на комментарий
kamranchick Опубликовано 14 сентября, 2018 Автор Поделиться Опубликовано 14 сентября, 2018 пациента резали, штопали, а в итоге ортопед с техником все сосочки зажали. Для такого результата сст вестибулярно вполне хватило бы))да я привык уже к такому) стараешься а всем пох как т)не хватило бы) я тоже сначала так думал, потом пошел опять на бугор Ссылка на комментарий
kamranchick Опубликовано 17 сентября, 2018 Автор Поделиться Опубликовано 17 сентября, 2018 Ну тогда понятно) Ссылка на комментарий
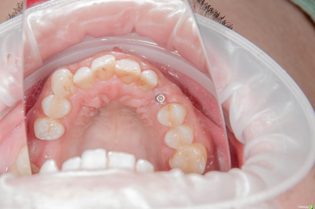
АнтонТЛТ Опубликовано 17 сентября, 2018 Поделиться Опубликовано 17 сентября, 2018 А причем тут стоимость технички? Понятно что разных городах разная стоимость. Разве низкая стоимость оправдывает излишки керамики на апроксимальных контактах и пережатия сосочков? В конце концов ортопед мог подшлифовать и заполировать коронку. 2 Ссылка на комментарий
Dman Опубликовано 18 сентября, 2018 Поделиться Опубликовано 18 сентября, 2018 типичные мысли - если бы мне платили больше, я бы делал лучше)) 2 Ссылка на комментарий
kamranchick Опубликовано 18 сентября, 2018 Автор Поделиться Опубликовано 18 сентября, 2018 Согласен Антох) и димч)Антох извини, промахнулся ) получился минус Ссылка на комментарий
Рекомендуемые сообщения
Для публикации сообщений создайте учётную запись или авторизуйтесь
Вы должны быть пользователем, чтобы оставить комментарий
Создать аккаунт
Зарегистрируйте новый аккаунт в нашем сообществе. Это очень просто!
Регистрация нового пользователяВойти
Уже есть аккаунт? Войти в систему.
Войти