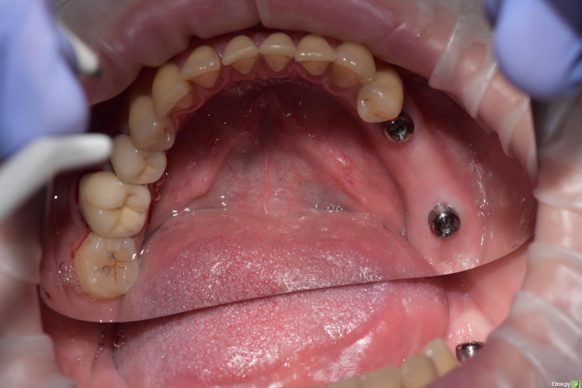
Santi Опубликовано 12 сентября, 2018 Поделиться Опубликовано 12 сентября, 2018 Коллеги, интересно мнение как бы вы поступили в аналогичной ситуации) Имеем Область забора и полученный ССТ Сразу после 2,5 мес пост оп 9 Ссылка на комментарий
Карен Аванесов Опубликовано 12 сентября, 2018 Поделиться Опубликовано 12 сентября, 2018 Хорошо получилось. Но раз нижний моляр удаляли, то и сст регионально можно было получить, не забираясь на небо. Ссылка на комментарий
Santi Опубликовано 12 сентября, 2018 Автор Поделиться Опубликовано 12 сентября, 2018 Хорошо получилось. Но раз нижний моляр удаляли, то и сст регионально можно было получить, не забираясь на небо. Спасибо ) Думаете кусман такой велчины забрал бы там? да и качество в области бугра больше нравится Ссылка на комментарий
red_butler Опубликовано 12 сентября, 2018 Поделиться Опубликовано 12 сентября, 2018 я бы в данном кейсе ограничился бы только имплантами... 4 Ссылка на комментарий
АнтонТЛТ Опубликовано 12 сентября, 2018 Поделиться Опубликовано 12 сентября, 2018 я бы в данном кейсе ограничился бы только имплантами...+1 Можно было бы разрешить всё местными тканями. Ссылка на комментарий
Карен Аванесов Опубликовано 12 сентября, 2018 Поделиться Опубликовано 12 сентября, 2018 Антон привет! Сейчас кейс загружу, поставь лайк пожалуйста)))))) Ссылка на комментарий
АнтонТЛТ Опубликовано 12 сентября, 2018 Поделиться Опубликовано 12 сентября, 2018 Антон привет! Сейчас кейс загружу, поставь лайк пожалуйста))))))Поставил)) 1 Ссылка на комментарий
Карен Аванесов Опубликовано 12 сентября, 2018 Поделиться Опубликовано 12 сентября, 2018 Давай еще!))))) 1 Ссылка на комментарий
Santi Опубликовано 12 сентября, 2018 Автор Поделиться Опубликовано 12 сентября, 2018 (изменено) Карен мне тоже поставить ? )) С эстетикой, сосочками могли бы возникнуть проблемы, и коронки проучились бы «громоздкие» думаю что 25 минут времени того стоят) Изменено 12 сентября, 2018 пользователем Santi Ссылка на комментарий
Карен Аванесов Опубликовано 12 сентября, 2018 Поделиться Опубликовано 12 сентября, 2018 Конечно!)))) Ссылка на комментарий
Santi Опубликовано 15 октября, 2018 Автор Поделиться Опубликовано 15 октября, 2018 Результат после пары недель на времяшках. Доктора, если бы не делали ССТ получился бы такой профиль Пы Сы, биполярка залагала, работает только одна вспышка, за качество сорри )) 1 Ссылка на комментарий
АнтонТЛТ Опубликовано 15 октября, 2018 Поделиться Опубликовано 15 октября, 2018 Результат после пары недель на времяшках. Доктора, если бы не делали ССТ получился бы такой профиль Пы Сы, биполярка залагала, работает только одна вспышка, за качество сорри )) Да Ссылка на комментарий
Santi Опубликовано 15 октября, 2018 Автор Поделиться Опубликовано 15 октября, 2018 (изменено) Да а высота десны? особенно в промежуточной зоне Изменено 15 октября, 2018 пользователем Santi Ссылка на комментарий
АнтонТЛТ Опубликовано 15 октября, 2018 Поделиться Опубликовано 15 октября, 2018 а высота десны? особенно в промежуточной зонеПеред фиксацией временного протеза, делается разрез между имплантатами и овоид погружается в него. 2 Ссылка на комментарий
Kazankov.Egor Опубликовано 28 октября, 2018 Поделиться Опубликовано 28 октября, 2018 Перед фиксацией временного протеза, делается разрез между имплантатами и овоид погружается в него.овоид планируется по каким параметрам? Разрез же вдоль гребня? Ссылка на комментарий
Рекомендуемые сообщения
Для публикации сообщений создайте учётную запись или авторизуйтесь
Вы должны быть пользователем, чтобы оставить комментарий
Создать аккаунт
Зарегистрируйте новый аккаунт в нашем сообществе. Это очень просто!
Регистрация нового пользователяВойти
Уже есть аккаунт? Войти в систему.
Войти