Туманская Опубликовано 7 сентября, 2018 Поделиться Опубликовано 7 сентября, 2018 (изменено) Здравствуйте! Прошу совета! Ситуация такая. 46 и 47 двойная металлокерамическая коронка, стоит 6 лет, материал неизвестен, врач не помнит, то ли кохр, то ли нихр. В начале 2017 года имплантация системой осстем 45 и 26. Через 3 месяца накрутили коронку кобальт хром на 45, все ок. Еще через 3 месяца накрутили коронку кобальт хром на 26. Лаборатория, производившая коронки, во всех случаях одна и та же. На следующий день началось жжение языка в области коронки, сухость во рту, онемение языка, неба. Боль и жжение в горле, жжение губ. Отсетливый вкус металла во рту. Потом жжение распространилось на стоящие во рту ортодонтические ретейнеры. Коронку сняли через неделю после установки, накрутили назад титановый формирователь. Месяц ждала, улучшения были, но до конца не прошло. Жжение чувствовалось и при касании языком формирователя и при касании ретейнеров. Не выдержала, сняла ретейнеры. Все прошло. Решила, что гальвонизм между коронкой и ретейнерами. Прошло 10 месяцев. Решили попробовать снова накрутить ту же коронку. К вечеру того же дня вернулись симптомы. Коронку сняли. Все прошло. Как мне казалось. Через 2 недели черт дернул меня потрогать языком формирователь, тут же вернулись все неприятные ощущения. Горло горит, отекло, глотать тяжело, во рту металлический вкус, язык и небо онемели, все жжет. На кануне этого пошла в ИАКИ, сдала кровь на аллергию на титан, кобальт, хром и еще несколько металлов, которые были в комплексе. Выяснилась аллергия первого типа на титан, медь, железо. Хром и никель на верхней границе отрицательного. Так вот вопрос! Что мне дальше делать? Это все-таки гальваника или аллергия на титан? Титан проводит токи? Какая тактика может быть дальше? Имеет ли смысл поменять коронки 46 и 47 на цирконий? И потом, если все будет ок, сделать циркониевую коронку на 26? Или если это все-таки аллергия на титат, то нужно вытаскивать импланты? До установки коронки на 26 на имплант я не замечала никакого дискомфорта, то есть 3 месяца проходила с кохр коронкой на 45 таком же осстемовском импланте и с зашитым в десне 26м и старыми коронками из непонятно чего на 46-47. Я знаю, что аллергия имеет накопителтный эффект и может этим объясняется возвращение симптомов сейчас? Помогите! Не знаю, что делать дальше. Я так понимаю, что выкручивать импланты будет очень травматично. И что делать дальше, если так? Зубы то отсутствуют, другие разваливаются из-за нагрузки, еще недавно потеряла 17й зуб, тут тоже непонятно что делать теперь. И еще, как проверить, не будет ли у меня аллергии на цирконий? В иаки сказали, что если с цирконием не сталкивалась, то пробы нет смысла сдавать, тк антител не будет. Ситуация за год меня извела. Очень прошу помощи! Спать, работать, отдыхать и радоваться жизни при этих мучительных симптомах невозможно! Изменено 7 сентября, 2018 пользователем Туманская Ссылка на комментарий
Туманская Опубликовано 7 сентября, 2018 Автор Поделиться Опубликовано 7 сентября, 2018 Прилагаю фото результата аллергопробы Ссылка на комментарий
dentikl Опубликовано 8 сентября, 2018 Поделиться Опубликовано 8 сентября, 2018 а в доме ничего нового не приобрели?(котик собачка цветок...)Жкт в норме? Ссылка на комментарий
Дмитрий Л. Опубликовано 8 сентября, 2018 Поделиться Опубликовано 8 сентября, 2018 Общий анализ крови нужен. 1 Ссылка на комментарий
Туманская Опубликовано 8 сентября, 2018 Автор Поделиться Опубликовано 8 сентября, 2018 а в доме ничего нового не приобрели?(котик собачка цветок...)Жкт в норме?Нет, ничего нового. Более того, в одном месте не живу. То дома, то на даче. Симтомы появляются только при установке коронки, при чем в тот же день и проходят после снятия, или если потрогать кончиком языка формирователь десны на 26м или коронку на 45м. И потом 1-2 дня держатся острые ощущения. Потом полегче. Ссылка на комментарий
Туманская Опубликовано 8 сентября, 2018 Автор Поделиться Опубликовано 8 сентября, 2018 Общий анализ крови нужен.Постараюсь в ближайшие дни сдать Ссылка на комментарий
Дмитрий Л. Опубликовано 9 сентября, 2018 Поделиться Опубликовано 9 сентября, 2018 Делайте циркониевые, это гальваноз. Ссылка на комментарий
Туманская Опубликовано 9 сентября, 2018 Автор Поделиться Опубликовано 9 сентября, 2018 (изменено) Делайте циркониевые, это гальваноз.Я очень на это надеюсь!! Буду менять! А как думаете, то, что кровь показала аллергию первого класса (в комментарии к анализу написано легкая адлергическая реакция) не может являться причиной этих ощущений или показанием к удалению имплантов? На рентгене и кт врач говорит все норм, импланты стоят хорошо. Слизистая при осмотре вокруг без изменений. Изменено 9 сентября, 2018 пользователем Туманская Ссылка на комментарий
dentikl Опубликовано 9 сентября, 2018 Поделиться Опубликовано 9 сентября, 2018 Здравствуйте! Прошу совета! предлагаю1.пересдать аллерготест в другой клинике не рассказывая симптоматику.(мотивировка например-выбор материала для протетики)2.сходить к врачу аллергологу и гастроэнтерологу на предмет обследования.3.отписатся про результаты Ссылка на комментарий
Туманская Опубликовано 9 сентября, 2018 Автор Поделиться Опубликовано 9 сентября, 2018 предлагаю1.пересдать аллерготест в другой клинике не рассказывая симптоматику.(мотивировка например-выбор материала для протетики)2.сходить к врачу аллергологу и гастроэнтерологу на предмет обследования.3.отписатся про результаты Хорошо, отпишусь, спасибо! Ссылка на комментарий
Туманская Опубликовано 2 октября, 2018 Автор Поделиться Опубликовано 2 октября, 2018 (изменено) Делайте циркониевые, это гальваноз.Здравствуйте! Хочу уточнить. Сегодня распилили старые коронки, которые стояли на 46-47. Доктор сказал, что металл странный, на кбх не похож, очень мягкий. Но это уже не имеет значения, я полагаю. Под коронками на зубах оказались серебряные вкладки. Избавиться от них без потери зубов не получится, решено не трогать. Сверху планируются новые из диоксида циркония, это верное решение? Прочитала в одной статье, что хром и серебро могут давать гальваноз. Эти вкладки могут быть причиной всех неприятных ощущений? Изменено 2 октября, 2018 пользователем Туманская Ссылка на комментарий
Туманская Опубликовано 2 октября, 2018 Автор Поделиться Опубликовано 2 октября, 2018 предлагаю1.пересдать аллерготест в другой клинике не рассказывая симптоматику.(мотивировка например-выбор материала для протетики)2.сходить к врачу аллергологу и гастроэнтерологу на предмет обследования.3.отписатся про результаты Здравствуйте! Выше написала, что сняли старые коронки, там серебряные вкладки. Они могут быть причиной токов с коронкой из кбх? Хотелось бы Ваше мнение. Ссылка на комментарий
dentikl Опубликовано 5 октября, 2018 Поделиться Опубликовано 5 октября, 2018 Здравствуйте!. Они могут ..? Хотелось бы Ваше мнение.Здравствуйте.Могут но не факт.Панорамный рентген покажите?А по пунктам расскажите?(новый тест,аллерголог,гастроэнтеролог) Ссылка на комментарий
Туманская Опубликовано 5 октября, 2018 Автор Поделиться Опубликовано 5 октября, 2018 Здравствуйте.Могут но не факт.Панорамный рентген покажите?А по пунктам расскажите?(новый тест,аллерголог,гастроэнтеролог)Аллерголог сказал наблюдать. Тесты пока не переделывала. Сейчас симптомов нет. Языком не трогаю формирователь, боюсь. Снимок сейчас постараюсь прикрепить. У гастроэнтеролога была год назад, уже после всего, гастроскопия с пункцией ничего не показали. Гастрит как у всех, не более. Ссылка на комментарий
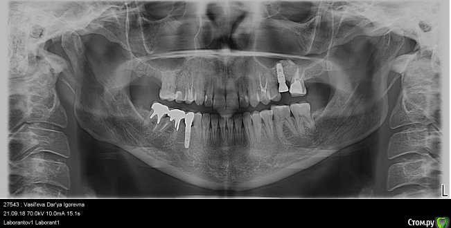
Туманская Опубликовано 5 октября, 2018 Автор Поделиться Опубликовано 5 октября, 2018 Панорамный снимок Ссылка на комментарий
Туманская Опубликовано 5 октября, 2018 Автор Поделиться Опубликовано 5 октября, 2018 Если не сложно, посмотрите, пожалуйста на зубы под коронками. Одон врач говорит, что все норм. Другой, что на 46м прилегание вкладки плохое и надо переделывать. Первый говорит, что убрать вкладку в моем случае не получится, потеряю зуб. При этом у меня есть боли неясные где-то в районе этих зубов, но точно определить не могу. Ставить новые коронки, если там не все гладко, тоже не хочется. Когда сняли старые, между зубами оказалась пролежень. Что делать дальше? Вкладки серебряные. Ссылка на комментарий
Туманская Опубликовано 5 октября, 2018 Автор Поделиться Опубликовано 5 октября, 2018 Если не сложно, посмотрите, пожалуйста на зубы под коронками. Одон врач говорит, что все норм. Другой, что на 46м прилегание вкладки плохое и надо переделывать. Первый говорит, что убрать вкладку в моем случае не получится, потеряю зуб. При этом у меня есть боли неясные где-то в районе этих зубов, но точно определить не могу. Ставить новые коронки, если там не все гладко, тоже не хочется. Когда сняли старые, между зубами оказалась пролежень. Что делать дальше? Вкладки серебряные. Ссылка на комментарий
Дмитрий Л. Опубликовано 7 октября, 2018 Поделиться Опубликовано 7 октября, 2018 Если не сложно, посмотрите, пожалуйста на зубы под коронками. Одон врач говорит, что все норм. Другой, что на 46м прилегание вкладки плохое и надо переделывать. Первый говорит, что убрать вкладку в моем случае не получится, потеряю зуб. При этом у меня есть боли неясные где-то в районе этих зубов, но точно определить не могу. Ставить новые коронки, если там не все гладко, тоже не хочется. Когда сняли старые, между зубами оказалась пролежень. Что делать дальше? Вкладки серебряные.Кариес корня под вкладками. Пародонтальный карман и отсюда боли (дискомфорт).Надо переделать, но то, что зубы можно потерять от этой переделки, тоже правда. Решать вам.По поводу гальваноза от серебра: всё возможно, любые металлы могут создать гальваноз. Смотрите по самочувствию.Аллерготесты я бы не делал, лишняя трата времени и денег. Делайте из циркония. Ссылка на комментарий
dentikl Опубликовано 7 октября, 2018 Поделиться Опубликовано 7 октября, 2018 Что делать дальше?Найти того,кто сможет решить вопрос и с вкладками и с конструкцией.Ваше ситуация по силам любому среднему ортопеду. Ссылка на комментарий
Туманская Опубликовано 9 октября, 2018 Автор Поделиться Опубликовано 9 октября, 2018 Кариес корня под вкладками. Пародонтальный карман и отсюда боли (дискомфорт).Надо переделать, но то, что зубы можно потерять от этой переделки, тоже правда. Решать вам.По поводу гальваноза от серебра: всё возможно, любые металлы могут создать гальваноз. Смотрите по самочувствию.Аллерготесты я бы не делал, лишняя трата времени и денег. Делайте из циркония. Спасибо за ответ! Сделали прицельный снимок, в корне все ок. Сверху врач поправил что-то, говорит, все норм. Ждем, когда заживет пролежень, будем протезироваться цирконием. Ссылка на комментарий
Туманская Опубликовано 8 ноября, 2018 Автор Поделиться Опубликовано 8 ноября, 2018 Здравствуйте. Вчера накрутили новую циркониевую коронку на имплант. Коронка на оригинал ном абатменте. Сегодня уже испытываю жжение и зуд на языке, щеке, уголках губ, першение и жжение в горле, белый налет на языке, слелы от зубов на языке. Как усну сегодня, не знаю.В чем дело? Это тогда что? Аллергия на имплант все-таки? Кстати, когда делали коронку, доктор сказал, что имплант не осстем, как я думала и как платила за него, а dentium. Может это быть аллергия на имплант все-таки, раз с циркониевой коронкой все то же самое? То, что еще 30 тысяч просто пропали зря, уде ясно. Дальше что делать? Выкручивать имплант? Это реально? Он стоит 2 года. Или зашить десну и забыть про него? Что делать? Ссылка на комментарий
___49___ Опубликовано 8 ноября, 2018 Поделиться Опубликовано 8 ноября, 2018 Здравствуйте. Вчера накрутили новую циркониевую коронку на имплант. Коронка на оригинал ном абатменте. Сегодня уже испытываю жжение и зуд на языке, щеке, уголках губ, першение и жжение в горле, белый налет на языке, слелы от зубов на языке. Как усну сегодня, не знаю.В чем дело? Это тогда что? Аллергия на имплант все-таки? Кстати, когда делали коронку, доктор сказал, что имплант не осстем, как я думала и как платила за него, а dentium. Может это быть аллергия на имплант все-таки, раз с циркониевой коронкой все то же самое? То, что еще 30 тысяч просто пропали зря, уде ясно. Дальше что делать? Выкручивать имплант? Это реально? Он стоит 2 года. Или зашить десну и забыть про него? Что делать?Цирконивая коронка не должна давать такой симптоматики ( по сути этот материал как стекло - инертен) скорее рекация между абатментом и другими металлами во рту . Ссылка на комментарий
Irouil Опубликовано 8 ноября, 2018 Поделиться Опубликовано 8 ноября, 2018 Будь у Вас аллергия на компоненты имплантата - проявлялась бы постоянно. Формирователи у дентиума делаются из сплава титана с алюминием и ванадием, а сам имплантат - из коммерчески чистого титана. Я полагаю основание абатмента тоже из сплава титанового, хотя боюсь ошибиться. Если так - есть ещё вариант сделать индивидуальный абатмент и сверху на него зацементироввть циркониевую коронку, но мои коллеги-ортопеды посоветуют Вам лучше моего Ссылка на комментарий
Туманская Опубликовано 8 ноября, 2018 Автор Поделиться Опубликовано 8 ноября, 2018 Цирконивая коронка не должна давать такой симптоматики ( по сути этот материал как стекло - инертен) скорее рекация между абатментом и другими металлами во рту . Ну так что делать то? Во рту только одна коронка кобальт хром и серебряные вкладки на двух зубах под циркониевыми коронками. Что мне теперь делать? Ссылка на комментарий
Туманская Опубликовано 8 ноября, 2018 Автор Поделиться Опубликовано 8 ноября, 2018 Цирконивая коронка не должна давать такой симптоматики ( по сути этот материал как стекло - инертен) скорее рекация между абатментом и другими металлами во рту . Когда у меня стоял формирователь, то, если потрогать его языком, то тоже было жжение, которое потом сутки проходило. Сейчас я всч чешусь, весь рот, все губы. Вкус пищи я не ощущаю. Язык опух и побелел. Что мне дальше делать? Что если зашить десну и забыть про этот имплант и поставить мост, используя два соседних по обеим сторонам зуба? Ссылка на комментарий
Рекомендуемые сообщения
Для публикации сообщений создайте учётную запись или авторизуйтесь
Вы должны быть пользователем, чтобы оставить комментарий
Создать аккаунт
Зарегистрируйте новый аккаунт в нашем сообществе. Это очень просто!
Регистрация нового пользователяВойти
Уже есть аккаунт? Войти в систему.
Войти