saintdim Опубликовано 4 сентября, 2018 Поделиться Опубликовано 4 сентября, 2018 (изменено) Ходил ко врачу с зубной болью в нижней челюсти слева 8 зуб запломбированный, но с нервами ,и 7и6 под коронкой-мостом. С воскресенья началась боль , в понедельник врач сказал что судя по снимку все в порядке, возможно это воспаление кармана между зубом и коронкой. Порекомендовал полоскать содой минимум 10 раз в день. Карман большой. Боль, если по баллам, то 10 из 10. Живу на кетонале, пью каждые 6 часов. Не верится, что возможна такая боль в кармане, словно обычная зубная боль. Если диагноз верен, как быстро проходит такое воспаление? Изменено 4 сентября, 2018 пользователем saintdim Ссылка на комментарий
red_butler Опубликовано 4 сентября, 2018 Поделиться Опубликовано 4 сентября, 2018 http://forum.stom.ru/topic/20613-sovety-patcientam-obiazatelno-k-prochteniiu/ Ссылка на комментарий
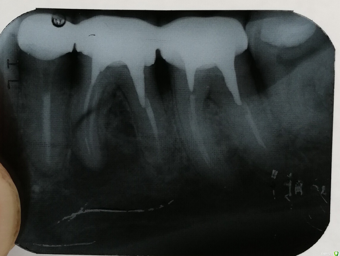
red_butler Опубликовано 4 сентября, 2018 Поделиться Опубликовано 4 сентября, 2018 Качество снимка не позволяет его интерпретировать Ссылка на комментарий
red_butler Опубликовано 4 сентября, 2018 Поделиться Опубликовано 4 сентября, 2018 Сделайте новый снимок на визиографе, и/или проконсультируйтесь у другого врача Ссылка на комментарий
saintdim Опубликовано 4 сентября, 2018 Автор Поделиться Опубликовано 4 сентября, 2018 Сделайте новый снимок на визиографе, и/или проконсультируйтесь у другого врача хорошо Ссылка на комментарий
saintdim Опубликовано 4 сентября, 2018 Автор Поделиться Опубликовано 4 сентября, 2018 Качество снимка не позволяет его интерпретироватьсходил к другому врачу, у. Она сказала у меня перелом корня и поэтому болит. Ссылка на комментарий
red_butler Опубликовано 4 сентября, 2018 Поделиться Опубликовано 4 сентября, 2018 сходил к другому врачу, у. Она сказала у меня перелом корня и поэтому болит. не помогло... Нет у Вас перелома... 1 Ссылка на комментарий
saintdim Опубликовано 4 сентября, 2018 Автор Поделиться Опубликовано 4 сентября, 2018 не помогло... Нет у Вас перелома... корн купить снимать или снимок сделать новый? Ссылка на комментарий
saintdim Опубликовано 4 сентября, 2018 Автор Поделиться Опубликовано 4 сентября, 2018 корн купить снимать или снимок сделать новый? коронку снимать или новый снимок сделать? Ссылка на комментарий
saintdim Опубликовано 4 сентября, 2018 Автор Поделиться Опубликовано 4 сентября, 2018 не помогло... Нет у Вас перелома... что делать, снимать мост или новый снимок Ссылка на комментарий
red_butler Опубликовано 4 сентября, 2018 Поделиться Опубликовано 4 сентября, 2018 Сделайте новый снимок на визиографе, и/или проконсультируйтесь у другого врача Ссылка на комментарий
saintdim Опубликовано 4 сентября, 2018 Автор Поделиться Опубликовано 4 сентября, 2018 (изменено) Сделайте новый снимок на визиографе, и/или проконсультируйтесь у другого врача сказали воспаление попить Нимесил и можно антибиотики и все ок будет. Главное , чтобы от боли не сдохнуть. Изменено 4 сентября, 2018 пользователем saintdim Ссылка на комментарий
сирена Опубликовано 4 сентября, 2018 Поделиться Опубликовано 4 сентября, 2018 Снимайте коронки и удаляйте шестой зуб.Перелечить его вряд ли получится.Попробовать можно,конечно,но это будет дорого.И без гарантии. Ссылка на комментарий
DrNice Опубликовано 4 сентября, 2018 Поделиться Опубликовано 4 сентября, 2018 не помогло...Нет у Вас перелома...Фраза сделала мой вечер 1 Ссылка на комментарий
red_butler Опубликовано 5 сентября, 2018 Поделиться Опубликовано 5 сентября, 2018 Снимайте коронки и удаляйте шестой зуб.Перелечить его вряд ли получится.Попробовать можно,конечно,но это будет дорого.И без гарантии.Очно нужно смотреть Боль, если по баллам, то 10 из 10 это больше на пульпит похоже 8 зуб запломбированный, но с нервами Ссылка на комментарий
saintdim Опубликовано 6 сентября, 2018 Автор Поделиться Опубликовано 6 сентября, 2018 Очно нужно смотреть это больше на пульпит похоже сходил в поликлинику с острой болью. Снял мост, врач сказала, что 6 зуб можно попробовать сохранить. Разрезала десну, убрала гной. Пью антибиотики и обезболивающее. Немного опухла щека, но врач сказала такое возможно. Единственное что беспокоит как будто ещё заморозка не прошла на щеке и нижней губе онимение. Боль гараздо меньше, но отдает в висок и голову со стороны зуба.полощу содой. Ссылка на комментарий
Рекомендуемые сообщения
Для публикации сообщений создайте учётную запись или авторизуйтесь
Вы должны быть пользователем, чтобы оставить комментарий
Создать аккаунт
Зарегистрируйте новый аккаунт в нашем сообществе. Это очень просто!
Регистрация нового пользователяВойти
Уже есть аккаунт? Войти в систему.
Войти