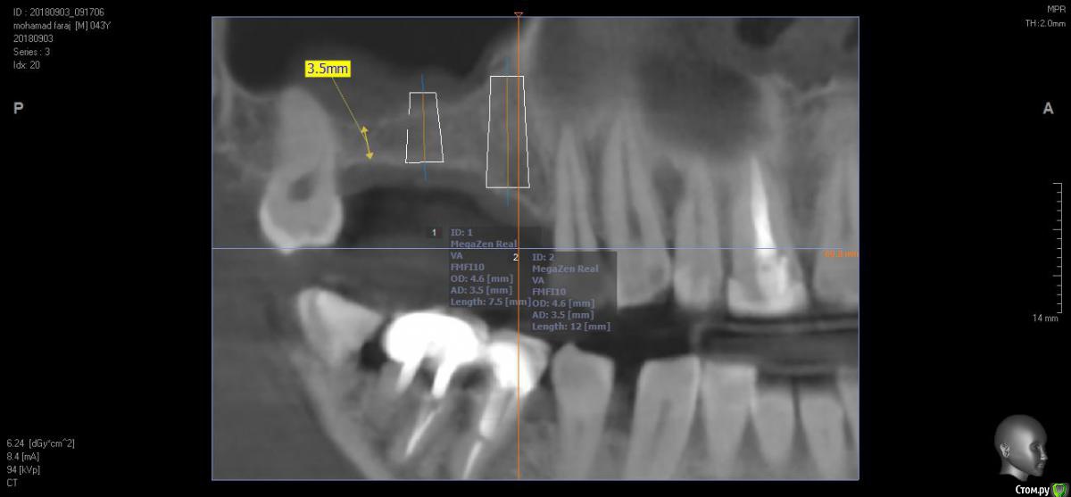
bilal Опубликовано 3 сентября, 2018 Поделиться Опубликовано 3 сентября, 2018 добрый вечер.как вы думате в данной ситуации возможно ли ставить 2 импланта вместо 15 и 16 и соединить одным мостом с зубом 48...пациент против синуслифта.Знаю про все отрицательные моменты соединения зубов и имплантов . Ссылка на комментарий
егорджан Опубликовано 4 сентября, 2018 Поделиться Опубликовано 4 сентября, 2018 просто между собой соединить!без 8 Ссылка на комментарий
егорджан Опубликовано 4 сентября, 2018 Поделиться Опубликовано 4 сентября, 2018 закрытый чуть на 16 Ссылка на комментарий
bilal Опубликовано 4 сентября, 2018 Автор Поделиться Опубликовано 4 сентября, 2018 закрытый чуть на 16 закрытый на 16 будет по любому, а вот 17 как консоль оставить? Ссылка на комментарий
red_butler Опубликовано 4 сентября, 2018 Поделиться Опубликовано 4 сентября, 2018 закрытый на 16 будет по любому, а вот 17 как консоль оставить?Да, так сказать "скандинавский вариант", а вообще я бы уговорил пациента на синуслифт Ссылка на комментарий
bilal Опубликовано 4 сентября, 2018 Автор Поделиться Опубликовано 4 сентября, 2018 Да, так сказать "скандинавский вариант", а вообще я бы уговорил пациента на синуслифтс другой стороны был у него не удачный синуслифт и поэтому он категорически против открытого Ссылка на комментарий
bilal Опубликовано 4 сентября, 2018 Автор Поделиться Опубликовано 4 сентября, 2018 может у кого есть наблюдения по соединению зубы и импланты... Ссылка на комментарий
Bier Опубликовано 4 сентября, 2018 Поделиться Опубликовано 4 сентября, 2018 сделайте закрытый, с двух точек элементарно. Ссылка на комментарий
bilal Опубликовано 4 сентября, 2018 Автор Поделиться Опубликовано 4 сентября, 2018 сделайте закрытый, с двух точек l элементарно. а что вы имеете ввиду "с двух точек"? Ссылка на комментарий
Bier Опубликовано 4 сентября, 2018 Поделиться Опубликовано 4 сентября, 2018 а что вы имеете ввиду "с двух точек"?из области 17 и 16 попеременно поднимать, натяжение мембраны значительно меньше, когда поднимается слизистая сразу из 2х мест. Ссылка на комментарий
bilal Опубликовано 5 сентября, 2018 Автор Поделиться Опубликовано 5 сентября, 2018 из области 17 и 16 попеременно поднимать, натяжение мембраны значительно меньше, когда поднимается слизистая сразу из 2х мест. https://www.youtube.com/watch?v=W7qUGVi3CkIогромное спасибо Ссылка на комментарий
Рекомендуемые сообщения
Для публикации сообщений создайте учётную запись или авторизуйтесь
Вы должны быть пользователем, чтобы оставить комментарий
Создать аккаунт
Зарегистрируйте новый аккаунт в нашем сообществе. Это очень просто!
Регистрация нового пользователяВойти
Уже есть аккаунт? Войти в систему.
Войти