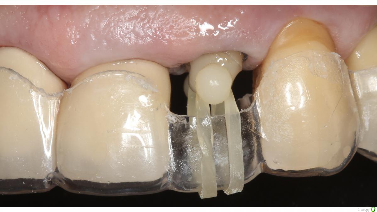
UnI Опубликовано 1 сентября, 2018 Поделиться Опубликовано 1 сентября, 2018 (изменено) Добрый день, коллеги!У меня возник вопрос относительно экструзии для обеспечения феррул-эффекта. Как Вы выбираете размер эластической тяги (лось, баран, антилопа)? Существуют ли рекомендации к выбору размера относительно расстояния от балки до точки опоры (в моем случае это расстояние АВ)? На что Вы ориентируетесь выбирай тот или иной размер эластика? Изменено 1 сентября, 2018 пользователем UnI 3 Ссылка на комментарий
Евгений Ходыкин Опубликовано 1 сентября, 2018 Поделиться Опубликовано 1 сентября, 2018 Честно, делаю на глаз. Обычно это бурундуки, либо вообще лигатурной цепочкой тяну) Ссылка на комментарий
UnI Опубликовано 1 сентября, 2018 Автор Поделиться Опубликовано 1 сентября, 2018 Я тоже на глаз, но хочется стандартизировать )))) Ссылка на комментарий
Aquarius Опубликовано 1 сентября, 2018 Поделиться Опубликовано 1 сентября, 2018 (изменено) Честно, делаю на глаз. Обычно это бурундуки, либо вообще лигатурной цепочкой тяну)Женя , 100 грамм достаточно? Связку иссекаешь? Изменено 1 сентября, 2018 пользователем Aquarius Ссылка на комментарий
Podarev Опубликовано 1 сентября, 2018 Поделиться Опубликовано 1 сентября, 2018 (лось, баран, антилопа) экструзия.001.jpeg экструзия.002.jpeg экструзия.003.jpeg экструзия.004.jpeg экструзия.006.jpeg Расскажите , что за понятия такие? ))) Лось, Баран и прочие существа ))) Ссылка на комментарий
Aquarius Опубликовано 1 сентября, 2018 Поделиться Опубликовано 1 сентября, 2018 Это резинки. Ортодонтические. Каждый зверь имеет свою эластичность. Лось - 170 гр, бурундук - 100 и т.д. 1 Ссылка на комментарий
Podarev Опубликовано 1 сентября, 2018 Поделиться Опубликовано 1 сентября, 2018 Это резинки. Ортодонтические. Каждый зверь имеет свою эластичность. Лось - 170 гр, бурундук - 100 и т.д. Благодарю! Ссылка на комментарий
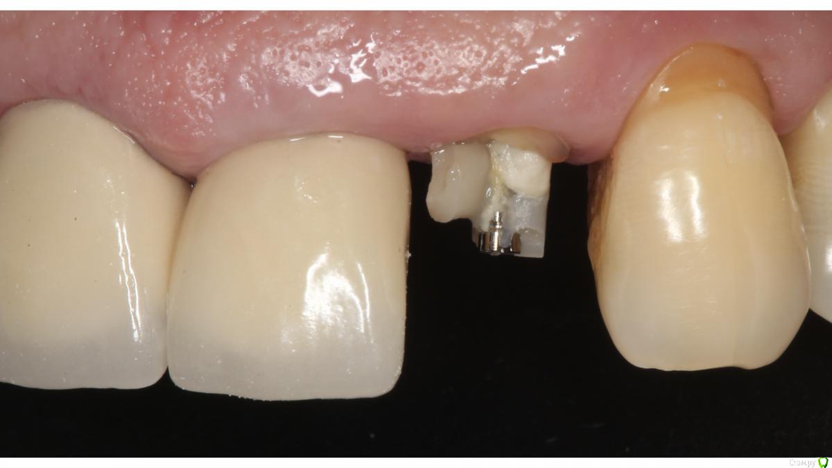
Евгений Ходыкин Опубликовано 2 сентября, 2018 Поделиться Опубликовано 2 сентября, 2018 Женя , 100 грамм достаточно? Связку иссекаешь?Связку секу, если мне нужно вытянуть чисто корень без перемещения уровня мягких тканей, конечно. Бурундуков же можно намотать и 3, и 4. Про граммы вообще вот от тебя узнал . Нравится, когда зуп "выстреливает", упираясь в балку))) Ссылка на комментарий
Kazankov.Egor Опубликовано 2 сентября, 2018 Поделиться Опубликовано 2 сентября, 2018 Конструкцию делаете из стекловолокна? То есть не на стандартных заготовках? Ссылка на комментарий
Евгений Ходыкин Опубликовано 2 сентября, 2018 Поделиться Опубликовано 2 сентября, 2018 СВШ, да Ссылка на комментарий
M@estro Опубликовано 2 сентября, 2018 Поделиться Опубликовано 2 сентября, 2018 тож на глаз Ссылка на комментарий
Bier Опубликовано 3 сентября, 2018 Поделиться Опубликовано 3 сентября, 2018 по автору - надо сразу ставить максимально сильную тягу. Ссылка на комментарий
UnI Опубликовано 4 сентября, 2018 Автор Поделиться Опубликовано 4 сентября, 2018 по автору - надо сразу ставить максимально сильную тягу. Вешаю 170 гр, но во всех случаях тянет с трудом, не было ни разу, чтобы выстрелило) Использовать 230-400 гр? Ссылка на комментарий
Bier Опубликовано 4 сентября, 2018 Поделиться Опубликовано 4 сентября, 2018 Вешаю 170 гр, но во всех случаях тянет с трудом, не было ни разу, чтобы выстрелило) Использовать 230-400 гр?да Ссылка на комментарий
UnI Опубликовано 4 сентября, 2018 Автор Поделиться Опубликовано 4 сентября, 2018 даОлег, спасибо! Ссылка на комментарий
Bier Опубликовано 4 сентября, 2018 Поделиться Опубликовано 4 сентября, 2018 там еще в зависимости от расположения балки или балок сила увеличивается многократно Ссылка на комментарий
Audutor Опубликовано 5 сентября, 2018 Поделиться Опубликовано 5 сентября, 2018 по автору - надо сразу ставить максимально сильную тягу.Кто автор, где посмотреть? Ссылка на комментарий
UnI Опубликовано 5 сентября, 2018 Автор Поделиться Опубликовано 5 сентября, 2018 там еще в зависимости от расположения балки или балок сила увеличивается многократноОлег, где-нибудь есть в литературе информация или в основном на курсе у Ноймайера? Ссылка на комментарий
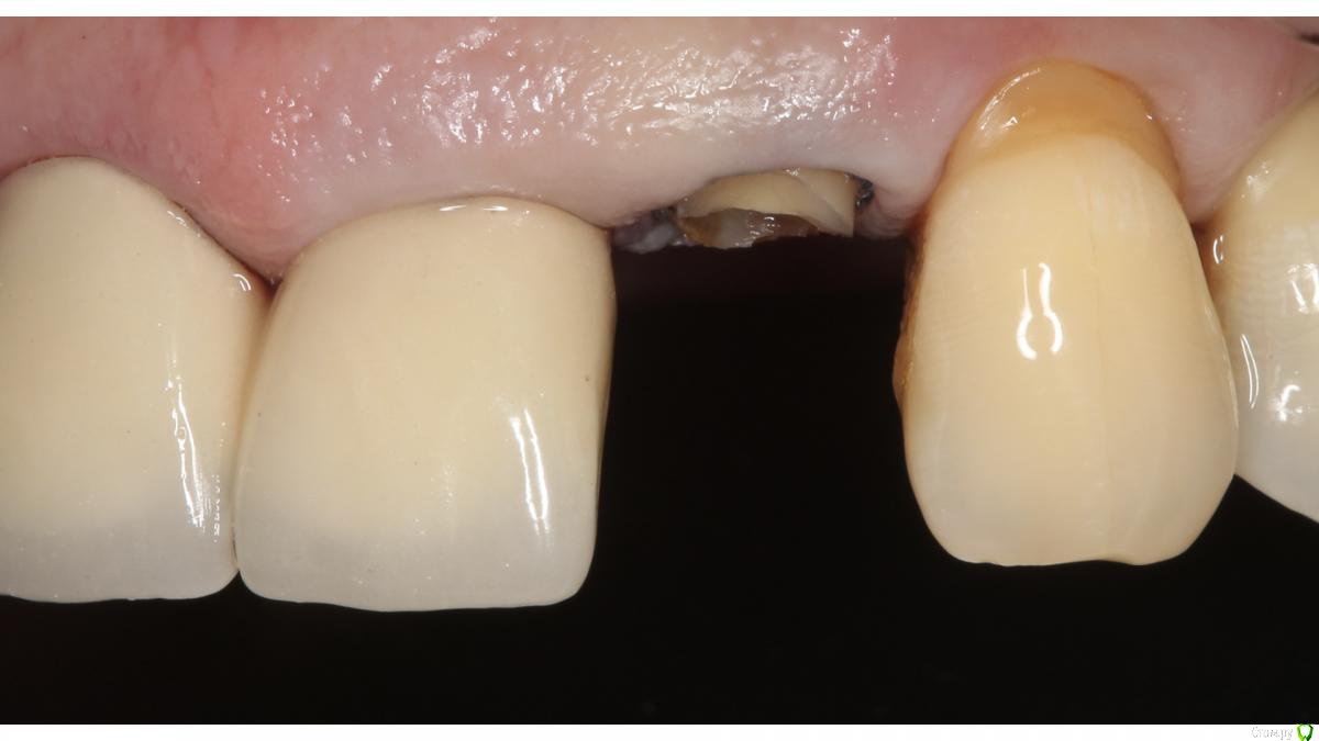
zubovolok Опубликовано 5 сентября, 2018 Поделиться Опубликовано 5 сентября, 2018 А за какой срок происходит экструзия? Ссылка на комментарий
Kazankov.Egor Опубликовано 6 сентября, 2018 Поделиться Опубликовано 6 сентября, 2018 Чем держите корень при распиле? Мой первенец улетел) Пытался держать руками сначала, потом пинцетом хирургическим. Боялся раздавить связки зуба (вышли на корне). Тяга «Бурундук» 2 штуки. Ещё такой ньюанс: тяга ослабевает через сутки до 50% и более. Ссылка на комментарий
Dman Опубликовано 7 сентября, 2018 Поделиться Опубликовано 7 сентября, 2018 "- На что обратить внимание! Не использовать цепочку! Использовать только Elastics Heavy 3.2 или 4.6 в диаметре, что соответствует силе 170,1 г. Менять эластики каждые 12-24 часа. Не сдавайтесь на 3-5 сутки активации! Тщательно продумывайте конструкцию для экструзии. " цитата с мордобука доктора Фролова Ссылка на комментарий
Рекомендуемые сообщения
Для публикации сообщений создайте учётную запись или авторизуйтесь
Вы должны быть пользователем, чтобы оставить комментарий
Создать аккаунт
Зарегистрируйте новый аккаунт в нашем сообществе. Это очень просто!
Регистрация нового пользователяВойти
Уже есть аккаунт? Войти в систему.
Войти