Перейти к содержанию
Стоматология для всех

Какую конструкцию придумать на фронт, чтобы простояла 6 мес


lazzal

Рекомендуемые сообщения

добрый вечер, уважаемые стоматологи!


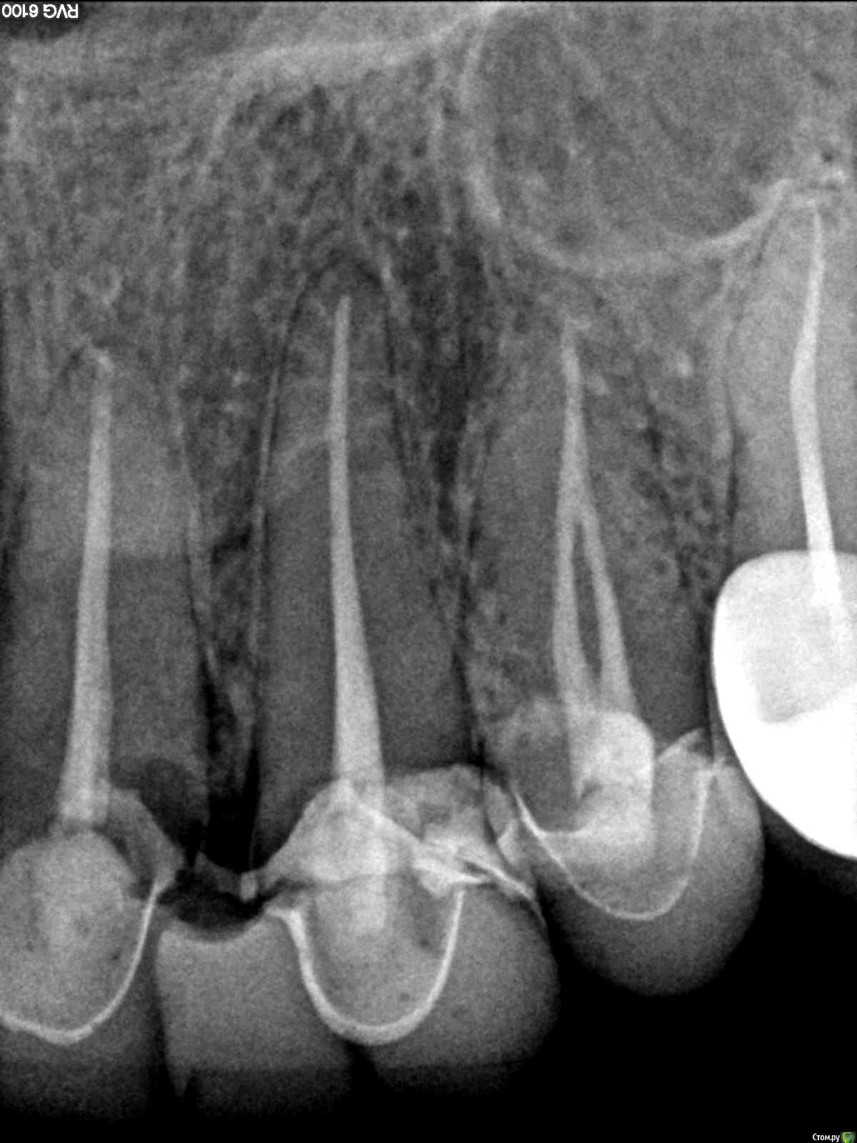
помогите пожалуйста определиться с конструкцией на фронт. обломились до уровня десны 11 и 13 зубы (на фото 1 и 2). на них стоял безмет мост с замещением 2-к. можно ли в такие условия - у десен виден кариес корня, хотя на самих корнях воспаления нет, запломбированы хорошо до верхушки, поставить кхс вкладки и повесить на них мост. если да - то какой материал выбрать для этого моста, чтобы конструкция выглядела эстетично и простояла 6-9 мес.  (до момента удаления фронтальных зубов и замещения их имплантами. ) удалить эти корешки я сейчас не могу, т.к. они "держат кость" для последующей одномоментной имплантации. ортопед в районной поликлинике предложил поставить вкладки, в те условия что есть, разработал канал под вкладки, снял слепки для вкладок, и запечатал зубы. но я вижу черные ободки кариеса вокруг запечатанных каналов. счищать по всей видимости мне его не будут, или это не возможно. мне в принципе пофигу, что там будет с небной стороны, чернота, так чернота. главное чтоб фасад был закрыт, эстетичен, не заболел и простоял минимум пол года. 


посмотрите пожалуйста снимок и фото внутриротовое. так делать можно?


- зубы эти потом не разболяться внезапно, чтоб их экстренно не пришло удалять (этого допустить нельзя),


- какие коронки можно повесить, чтобы они выдержали нагрузку и эстетично выглядели (мой ортопед предлагает простую пластмассу, но она же чернеет - что с ней будет через пол года). 


- может нужна какая-то другая конструкция? например снять все оставшиеся коронки с ВЧ и повесить мост на 14.15-24.25 и скрыть под ним все корешки? но смогу ли я им жевать-кусать? (боковых пока нет и весь прикус на фронтальных зубах висит).


 


помогите придумать что-то наиболее рациональное. весь фронт будет убираться ч/з пол года. надо чтоб пока ничего не удалять и чтоб я могла работать и норм жить все это время. буду Вам очень благодарна за советы


post-45223-0-12073400-1535659334_thumb.jpg

post-45223-0-80364300-1535659339_thumb.jpg

post-45223-0-24067900-1535659347_thumb.jpg

post-45223-0-47637000-1535659370_thumb.jpg

Изменено пользователем lazzal
Ссылка на комментарий

На счёт заболят - не заболят это никто гарантировать не может. А так я бы сделал вкладки кхс + временные фрезерованные коронки

Ссылка на комментарий

На счёт заболят - не заболят это никто гарантировать не может. А так я бы сделал вкладки кхс + временные фрезерованные коронки

 

Спасибо большое за ответ. смущают черные ободки кариеса вокруг запечатанных каналов. счищать по всей видимости мне его не будут, или это не возможно.  это ничего страшного? можно ставить туда вкладки с учетом того, что в будущем зубы на удаление идут?

 

временные фрезерованные коронки и обычные пластмассовые коронки (которые предлагает мне ортопед)- это одно и то же? есть в прайсе еще металлопластмассовые и композитные. мне важно чтобы они длительно внешний вид сохраняли приемлемый, а не потемнели через неделю

Ссылка на комментарий

Для публикации сообщений создайте учётную запись или авторизуйтесь

Вы должны быть пользователем, чтобы оставить комментарий

Создать аккаунт

Зарегистрируйте новый аккаунт в нашем сообществе. Это очень просто!

Регистрация нового пользователя

Войти

Уже есть аккаунт? Войти в систему.

Войти
×
×
  • Создать...
Вверх