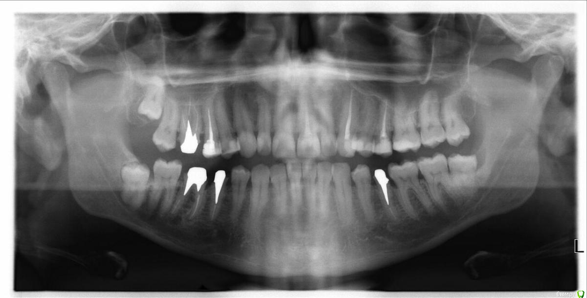
solsystem Опубликовано 30 августа, 2018 Поделиться Опубликовано 30 августа, 2018 Добрый день! Решил плотно заняться зубами (пришло время заменить все временные коронки на постоянные) и побывал у двух врачей, которые предлагают разные варианты:1) Необходимо удалить восьмерку слева внизу, чтобы потом постепенно подвинуть 7,6 с помощью цемента и временной коронки. После уже ставить коронку на 5. 2) 8-ки трогать не надо и все коронки встанут без проблем. Хотелось бы услышать Ваше независимое мнение, чтобы определиться какой из вариантов оптимальней. https://www.dropbox.com/s/89uxyb2aqkfq42x/%D1%81%D0%BD%D0%B8%D0%BC%D0%BE%D0%BA.jpeg?dl=0 Ссылка на комментарий
red_butler Опубликовано 6 сентября, 2018 Поделиться Опубликовано 6 сентября, 2018 "ссылка не найдена" Ссылка на комментарий
solsystem Опубликовано 6 сентября, 2018 Автор Поделиться Опубликовано 6 сентября, 2018 Тему можно закрыть.К сожалению, никто не смог ничего посоветовать. Ссылка на комментарий
kramer Опубликовано 6 сентября, 2018 Поделиться Опубликовано 6 сентября, 2018 Тему можно закрыть.К сожалению, никто не смог ничего посоветовать.Так вы же снимок не загрузили) Ссылка на комментарий
solsystem Опубликовано 6 сентября, 2018 Автор Поделиться Опубликовано 6 сентября, 2018 Так вы же снимок не загрузили) Загружал и снимок был доступен по ссылке до вчерашнего вечера) Вот новая ссылка на снимок - https://www.dropbox.com/s/ahq26u9sf3rsav0/%D0%A1%D0%BD%D0%B8%D0%BC%D0%BE%D0%BA.jpeg?dl=0 Должна быть рабочей. Ссылка на комментарий
red_butler Опубликовано 6 сентября, 2018 Поделиться Опубликовано 6 сентября, 2018 У меня не открывается Ссылка на комментарий
red_butler Опубликовано 6 сентября, 2018 Поделиться Опубликовано 6 сентября, 2018 Восьмой зуб я бы удалил, по поводу перемещения зубов временной коронкой не понял Ссылка на комментарий
solsystem Опубликовано 6 сентября, 2018 Автор Поделиться Опубликовано 6 сентября, 2018 Врач говорит, что после удаления восьмерки нужно будет постепенно двигать 6 и 7. Аргументирует это он тем, что если этого не сделать, то коронка скорее всего не встанет правильно на вкладку и под неё будут попадать остатки пищи. Для этого он планирует периодически наращивать слой цемента между временной коронкой и 6 зубом. Честно говоря я и сам не понял как это будет выглядеть. И у меня тут сразу еще одна проблема назрела, которую я для себя открыл во время прочтения форума. Оказалось, мне поставили серебряные вкладки и при этом оба доктора предлагают мне установить металлокерамику. Но насколько я понял, это может в дальнейшем мне доставить много проблем. Поскольку удалить вкладки будет проблематично, то лучшим вариантом будет установить цельноциркониевые коронки?(Или для этого вопроса лучше создать отдельную тему в другой категории?) Ссылка на комментарий
Рекомендуемые сообщения
Для публикации сообщений создайте учётную запись или авторизуйтесь
Вы должны быть пользователем, чтобы оставить комментарий
Создать аккаунт
Зарегистрируйте новый аккаунт в нашем сообществе. Это очень просто!
Регистрация нового пользователяВойти
Уже есть аккаунт? Войти в систему.
Войти